



Abstract:With the rapid development of artificial intelligence, large language models (LLMs) have shown promising capabilities in mimicking human-level language comprehension and reasoning. This has sparked significant interest in applying LLMs to enhance various aspects of healthcare, ranging from medical education to clinical decision support. However, medicine involves multifaceted data modalities and nuanced reasoning skills, presenting challenges for integrating LLMs. This paper provides a comprehensive review on the applications and implications of LLMs in medicine. It begins by examining the fundamental applications of general-purpose and specialized LLMs, demonstrating their utilities in knowledge retrieval, research support, clinical workflow automation, and diagnostic assistance. Recognizing the inherent multimodality of medicine, the review then focuses on multimodal LLMs, investigating their ability to process diverse data types like medical imaging and EHRs to augment diagnostic accuracy. To address LLMs' limitations regarding personalization and complex clinical reasoning, the paper explores the emerging development of LLM-powered autonomous agents for healthcare. Furthermore, it summarizes the evaluation methodologies for assessing LLMs' reliability and safety in medical contexts. Overall, this review offers an extensive analysis on the transformative potential of LLMs in modern medicine. It also highlights the pivotal need for continuous optimizations and ethical oversight before these models can be effectively integrated into clinical practice. Visit https://github.com/mingze-yuan/Awesome-LLM-Healthcare for an accompanying GitHub repository containing latest papers.




Abstract:Accurate trajectory prediction of vehicles is essential for reliable autonomous driving. To maintain consistent performance as a vehicle driving around different cities, it is crucial to adapt to changing traffic circumstances and achieve lifelong trajectory prediction model. To realize it, catastrophic forgetting is a main problem to be addressed. In this paper, a divergence measurement method based on conditional Kullback-Leibler divergence is proposed first to evaluate spatiotemporal dependency difference among varied driving circumstances. Then based on generative replay, a novel lifelong vehicle trajectory prediction framework is developed. The framework consists of a conditional generation model and a vehicle trajectory prediction model. The conditional generation model is a generative adversarial network conditioned on position configuration of vehicles. After learning and merging trajectory distribution of vehicles across different cities, the generation model replays trajectories with prior samplings as inputs, which alleviates catastrophic forgetting. The vehicle trajectory prediction model is trained by the replayed trajectories and achieves consistent prediction performance on visited cities. A lifelong experiment setup is established on four open datasets including five tasks. Spatiotemporal dependency divergence is calculated for different tasks. Even though these divergence, the proposed framework exhibits lifelong learning ability and achieves consistent performance on all tasks.




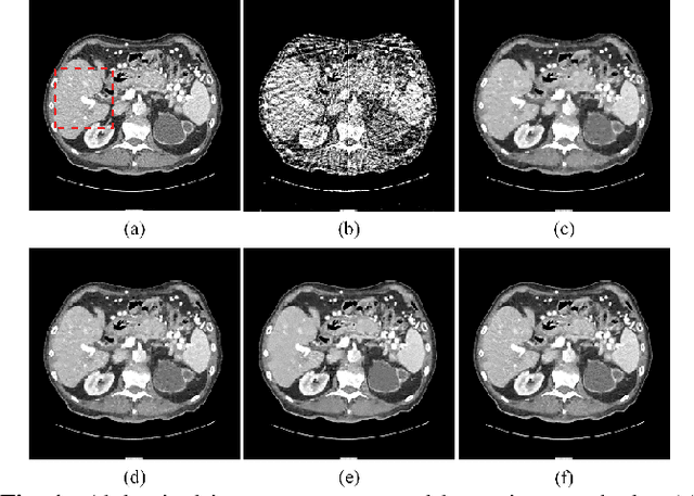
Abstract:Over the past few years, dictionary learning (DL)-based methods have been successfully used in various image reconstruction problems. However, traditional DL-based computed tomography (CT) reconstruction methods are patch-based and ignore the consistency of pixels in overlapped patches. In addition, the features learned by these methods always contain shifted versions of the same features. In recent years, convolutional sparse coding (CSC) has been developed to address these problems. In this paper, inspired by several successful applications of CSC in the field of signal processing, we explore the potential of CSC in sparse-view CT reconstruction. By directly working on the whole image, without the necessity of dividing the image into overlapped patches in DL-based methods, the proposed methods can maintain more details and avoid artifacts caused by patch aggregation. With predetermined filters, an alternating scheme is developed to optimize the objective function. Extensive experiments with simulated and real CT data were performed to validate the effectiveness of the proposed methods. Qualitative and quantitative results demonstrate that the proposed methods achieve better performance than several existing state-of-the-art methods.




Abstract:Traditional dictionary learning based CT reconstruction methods are patch-based and the features learned with these methods often contain shifted versions of the same features. To deal with these problems, the convolutional sparse coding (CSC) has been proposed and introduced into various applications. In this paper, inspired by the successful applications of CSC in the field of signal processing, we propose a novel sparse-view CT reconstruction method based on CSC with gradient regularization on feature maps. By directly working on whole image, which need not to divide the image into overlapped patches like dictionary learning based methods, the proposed method can maintain more details and avoid the artifacts caused by patch aggregation. Experimental results demonstrate that the proposed method has better performance than several existing algorithms in both qualitative and quantitative aspects.