



Abstract:This paper introduces a novel multimodal framework for hate speech detection in deepfake audio, excelling even in zero-shot scenarios. Unlike previous approaches, our method uses contrastive learning to jointly align audio and text representations across languages. We present the first benchmark dataset with 127,290 paired text and synthesized speech samples in six languages: English and five low-resource Indian languages (Hindi, Bengali, Marathi, Tamil, Telugu). Our model learns a shared semantic embedding space, enabling robust cross-lingual and cross-modal classification. Experiments on two multilingual test sets show our approach outperforms baselines, achieving accuracies of 0.819 and 0.701, and generalizes well to unseen languages. This demonstrates the advantage of combining modalities for hate speech detection in synthetic media, especially in low-resource settings where unimodal models falter. The Dataset is available at https://www.iab-rubric.org/resources.
Abstract:The rise of deepfake audio and hate speech, powered by advanced text-to-speech, threatens online safety. We present SynHate, the first multilingual dataset for detecting hate speech in synthetic audio, spanning 37 languages. SynHate uses a novel four-class scheme: Real-normal, Real-hate, Fake-normal, and Fake-hate. Built from MuTox and ADIMA datasets, it captures diverse hate speech patterns globally and in India. We evaluate five leading self-supervised models (Whisper-small/medium, XLS-R, AST, mHuBERT), finding notable performance differences by language, with Whisper-small performing best overall. Cross-dataset generalization remains a challenge. By releasing SynHate and baseline code, we aim to advance robust, culturally sensitive, and multilingual solutions against synthetic hate speech. The dataset is available at https://www.iab-rubric.org/resources.
Abstract:Biometric authentication systems are increasingly being deployed in critical applications, but they remain susceptible to spoofing. Since most of the research efforts focus on modality-specific anti-spoofing techniques, building a unified, resource-efficient solution across multiple biometric modalities remains a challenge. To address this, we propose LitMAS, a $\textbf{Li}$gh$\textbf{t}$ weight and generalizable $\textbf{M}$ulti-modal $\textbf{A}$nti-$\textbf{S}$poofing framework designed to detect spoofing attacks in speech, face, iris, and fingerprint-based biometric systems. At the core of LitMAS is a Modality-Aligned Concentration Loss, which enhances inter-class separability while preserving cross-modal consistency and enabling robust spoof detection across diverse biometric traits. With just 6M parameters, LitMAS surpasses state-of-the-art methods by $1.36\%$ in average EER across seven datasets, demonstrating high efficiency, strong generalizability, and suitability for edge deployment. Code and trained models are available at https://github.com/IAB-IITJ/LitMAS.
Abstract:Quantization is essential for deploying large audio language models (LALMs) efficiently in resource-constrained environments. However, its impact on complex tasks, such as zero-shot audio spoofing detection, remains underexplored. This study evaluates the zero-shot capabilities of five LALMs, GAMA, LTU-AS, MERaLiON, Qwen-Audio, and SALMONN, across three distinct datasets: ASVspoof2019, In-the-Wild, and WaveFake, and investigates their robustness to quantization (FP32, FP16, INT8). Despite high initial spoof detection accuracy, our analysis demonstrates severe predictive biases toward spoof classification across all models, rendering their practical performance equivalent to random classification. Interestingly, quantization to FP16 precision resulted in negligible performance degradation compared to FP32, effectively halving memory and computational requirements without materially impacting accuracy. However, INT8 quantization intensified model biases, significantly degrading balanced accuracy. These findings highlight critical architectural limitations and emphasize FP16 quantization as an optimal trade-off, providing guidelines for practical deployment and future model refinement.




Abstract:We present RelBench, a public benchmark for solving predictive tasks over relational databases with graph neural networks. RelBench provides databases and tasks spanning diverse domains and scales, and is intended to be a foundational infrastructure for future research. We use RelBench to conduct the first comprehensive study of Relational Deep Learning (RDL) (Fey et al., 2024), which combines graph neural network predictive models with (deep) tabular models that extract initial entity-level representations from raw tables. End-to-end learned RDL models fully exploit the predictive signal encoded in primary-foreign key links, marking a significant shift away from the dominant paradigm of manual feature engineering combined with tabular models. To thoroughly evaluate RDL against this prior gold-standard, we conduct an in-depth user study where an experienced data scientist manually engineers features for each task. In this study, RDL learns better models whilst reducing human work needed by more than an order of magnitude. This demonstrates the power of deep learning for solving predictive tasks over relational databases, opening up many new research opportunities enabled by RelBench.




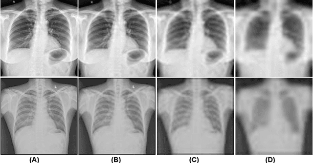
Abstract:This research addresses the challenges of diagnosing chest X-rays (CXRs) at low resolutions, a common limitation in resource-constrained healthcare settings. High-resolution CXR imaging is crucial for identifying small but critical anomalies, such as nodules or opacities. However, when images are downsized for processing in Computer-Aided Diagnosis (CAD) systems, vital spatial details and receptive fields are lost, hampering diagnosis accuracy. To address this, this paper presents the Multilevel Collaborative Attention Knowledge (MLCAK) method. This approach leverages the self-attention mechanism of Vision Transformers (ViT) to transfer critical diagnostic knowledge from high-resolution images to enhance the diagnostic efficacy of low-resolution CXRs. MLCAK incorporates local pathological findings to boost model explainability, enabling more accurate global predictions in a multi-task framework tailored for low-resolution CXR analysis. Our research, utilizing the Vindr CXR dataset, shows a considerable enhancement in the ability to diagnose diseases from low-resolution images (e.g. 28 x 28), suggesting a critical transition from the traditional reliance on high-resolution imaging (e.g. 224 x 224).




Abstract:Trained models are often composed with post-hoc transforms such as temperature scaling (TS), ensembling and stochastic weight averaging (SWA) to improve performance, robustness, uncertainty estimation, etc. However, such transforms are typically applied only after the base models have already been finalized by standard means. In this paper, we challenge this practice with an extensive empirical study. In particular, we demonstrate a phenomenon that we call post-hoc reversal, where performance trends are reversed after applying these post-hoc transforms. This phenomenon is especially prominent in high-noise settings. For example, while base models overfit badly early in training, both conventional ensembling and SWA favor base models trained for more epochs. Post-hoc reversal can also suppress the appearance of double descent and mitigate mismatches between test loss and test error seen in base models. Based on our findings, we propose post-hoc selection, a simple technique whereby post-hoc metrics inform model development decisions such as early stopping, checkpointing, and broader hyperparameter choices. Our experimental analyses span real-world vision, language, tabular and graph datasets from domains like satellite imaging, language modeling, census prediction and social network analysis. On an LLM instruction tuning dataset, post-hoc selection results in > 1.5x MMLU improvement compared to naive selection. Code is available at https://github.com/rishabh-ranjan/post-hoc-reversal.




Abstract:Much of the world's most valued data is stored in relational databases and data warehouses, where the data is organized into many tables connected by primary-foreign key relations. However, building machine learning models using this data is both challenging and time consuming. The core problem is that no machine learning method is capable of learning on multiple tables interconnected by primary-foreign key relations. Current methods can only learn from a single table, so the data must first be manually joined and aggregated into a single training table, the process known as feature engineering. Feature engineering is slow, error prone and leads to suboptimal models. Here we introduce an end-to-end deep representation learning approach to directly learn on data laid out across multiple tables. We name our approach Relational Deep Learning (RDL). The core idea is to view relational databases as a temporal, heterogeneous graph, with a node for each row in each table, and edges specified by primary-foreign key links. Message Passing Graph Neural Networks can then automatically learn across the graph to extract representations that leverage all input data, without any manual feature engineering. Relational Deep Learning leads to more accurate models that can be built much faster. To facilitate research in this area, we develop RelBench, a set of benchmark datasets and an implementation of Relational Deep Learning. The data covers a wide spectrum, from discussions on Stack Exchange to book reviews on the Amazon Product Catalog. Overall, we define a new research area that generalizes graph machine learning and broadens its applicability to a wide set of AI use cases.




Abstract:We propose SelfVC, a training strategy to iteratively improve a voice conversion model with self-synthesized examples. Previous efforts on voice conversion focus on explicitly disentangling speech representations to separately encode speaker characteristics and linguistic content. However, disentangling speech representations to capture such attributes using task-specific loss terms can lead to information loss by discarding finer nuances of the original signal. In this work, instead of explicitly disentangling attributes with loss terms, we present a framework to train a controllable voice conversion model on entangled speech representations derived from self-supervised learning and speaker verification models. First, we develop techniques to derive prosodic information from the audio signal and SSL representations to train predictive submodules in the synthesis model. Next, we propose a training strategy to iteratively improve the synthesis model for voice conversion, by creating a challenging training objective using self-synthesized examples. In this training approach, the current state of the synthesis model is used to generate voice-converted variations of an utterance, which serve as inputs for the reconstruction task, ensuring a continuous and purposeful refinement of the model. We demonstrate that incorporating such self-synthesized examples during training improves the speaker similarity of generated speech as compared to a baseline voice conversion model trained solely on heuristically perturbed inputs. SelfVC is trained without any text and is applicable to a range of tasks such as zero-shot voice conversion, cross-lingual voice conversion, and controllable speech synthesis with pitch and pace modifications. SelfVC achieves state-of-the-art results in zero-shot voice conversion on metrics evaluating naturalness, speaker similarity, and intelligibility of synthesized audio.




Abstract:Audio has become an increasingly crucial biometric modality due to its ability to provide an intuitive way for humans to interact with machines. It is currently being used for a range of applications, including person authentication to banking to virtual assistants. Research has shown that these systems are also susceptible to spoofing and attacks. Therefore, protecting audio processing systems against fraudulent activities, such as identity theft, financial fraud, and spreading misinformation, is of paramount importance. This paper reviews the current state-of-the-art techniques for detecting audio spoofing and discusses the current challenges along with open research problems. The paper further highlights the importance of considering the ethical and privacy implications of audio spoofing detection systems. Lastly, the work aims to accentuate the need for building more robust and generalizable methods, the integration of automatic speaker verification and countermeasure systems, and better evaluation protocols.