University of Waterloo
Abstract:Automated 3D CT diagnosis empowers clinicians to make timely, evidence-based decisions by enhancing diagnostic accuracy and workflow efficiency. While multimodal large language models (MLLMs) exhibit promising performance in visual-language understanding, existing methods mainly focus on 2D medical images, which fundamentally limits their ability to capture complex 3D anatomical structures. This limitation often leads to misinterpretation of subtle pathologies and causes diagnostic hallucinations. In this paper, we present Hybrid Spatial Encoding Network (HSENet), a framework that exploits enriched 3D medical visual cues by effective visual perception and projection for accurate and robust vision-language understanding. Specifically, HSENet employs dual-3D vision encoders to perceive both global volumetric contexts and fine-grained anatomical details, which are pre-trained by dual-stage alignment with diagnostic reports. Furthermore, we propose Spatial Packer, an efficient multimodal projector that condenses high-resolution 3D spatial regions into a compact set of informative visual tokens via centroid-based compression. By assigning spatial packers with dual-3D vision encoders, HSENet can seamlessly perceive and transfer hybrid visual representations to LLM's semantic space, facilitating accurate diagnostic text generation. Experimental results demonstrate that our method achieves state-of-the-art performance in 3D language-visual retrieval (39.85% of R@100, +5.96% gain), 3D medical report generation (24.01% of BLEU-4, +8.01% gain), and 3D visual question answering (73.60% of Major Class Accuracy, +1.99% gain), confirming its effectiveness. Our code is available at https://github.com/YanzhaoShi/HSENet.




Abstract:The widespread success of deep learning models today is owed to the curation of extensive datasets significant in size and complexity. However, such models frequently pick up inherent biases in the data during the training process, leading to unreliable predictions. Diagnosing and debiasing datasets is thus a necessity to ensure reliable model performance. In this paper, we present CONBIAS, a novel framework for diagnosing and mitigating Concept co-occurrence Biases in visual datasets. CONBIAS represents visual datasets as knowledge graphs of concepts, enabling meticulous analysis of spurious concept co-occurrences to uncover concept imbalances across the whole dataset. Moreover, we show that by employing a novel clique-based concept balancing strategy, we can mitigate these imbalances, leading to enhanced performance on downstream tasks. Extensive experiments show that data augmentation based on a balanced concept distribution augmented by CONBIAS improves generalization performance across multiple datasets compared to state-of-the-art methods. We will make our code and data publicly available.




Abstract:Current diffusion-based image restoration methods feed degraded input images as conditions into the noise estimation network. However, interpreting this diffusion process is challenging since it essentially generates the target image from the noise. To establish a unified and more interpretable model for image generation and restoration, we propose residual denoising diffusion models (RDDM). In contrast to existing diffusion models (e.g., DDPM or DDIM) that focus solely on noise estimation, our RDDM predicts residuals to represent directional diffusion from the target domain to the input domain, while concurrently estimating noise to account for random perturbations in the diffusion process. The introduction of residuals allows us to redefine the forward diffusion process, wherein the target image progressively diffuses into a purely noisy image or a noise-carrying input image, thus unifying image generation and restoration. We demonstrate that our sampling process is consistent with that of DDPM and DDIM through coefficient transformation, and propose a partially path-independent generation process to better understand the reverse process. Notably, with native support for conditional inputs, our RDDM enables a generic UNet, trained with only an $\ell _1$ loss and a batch size of 1, to compete with state-of-the-art image restoration methods. We provide code and pre-trained models to encourage further exploration, application, and development of our innovative framework (https://github.com/nachifur/RDDM).




Abstract:Despite recent monumental advances in the field, many Natural Language Processing (NLP) models still struggle to perform adequately on noisy domains. We propose a novel probabilistic embedding-level method to improve the robustness of NLP models. Our method, Robust Embeddings via Distributions (RED), incorporates information from both noisy tokens and surrounding context to obtain distributions over embedding vectors that can express uncertainty in semantic space more fully than any deterministic method. We evaluate our method on a number of downstream tasks using existing state-of-the-art models in the presence of both natural and synthetic noise, and demonstrate a clear improvement over other embedding approaches to robustness from the literature.
Abstract:Accurate spine segmentation allows for improved identification and quantitative characterization of abnormalities of the vertebra, such as vertebral fractures. However, in existing automated vertebra segmentation methods on computed tomography (CT) images, leakage into nearby bones such as ribs occurs due to the close proximity of these visibly intense structures in a 3D CT volume. To reduce this error, we propose the use of joint vertebra-rib atlases to improve the segmentation of vertebrae via multi-atlas joint label fusion. Segmentation was performed and evaluated on CTs containing 106 thoracic and lumbar vertebrae from 10 pathological and traumatic spine patients on an individual vertebra level basis. Vertebra atlases produced errors where the segmentation leaked into the ribs. The use of joint vertebra-rib atlases produced a statistically significant increase in the Dice coefficient from 92.5 $\pm$ 3.1% to 93.8 $\pm$ 2.1% for the left and right transverse processes and a decrease in the mean and max surface distance from 0.75 $\pm$ 0.60mm and 8.63 $\pm$ 4.44mm to 0.30 $\pm$ 0.27mm and 3.65 $\pm$ 2.87mm, respectively.
Abstract:Injuries of the spine, and its posterior elements in particular, are a common occurrence in trauma patients, with potentially devastating consequences. Computer-aided detection (CADe) could assist in the detection and classification of spine fractures. Furthermore, CAD could help assess the stability and chronicity of fractures, as well as facilitate research into optimization of treatment paradigms. In this work, we apply deep convolutional networks (ConvNets) for the automated detection of posterior element fractures of the spine. First, the vertebra bodies of the spine with its posterior elements are segmented in spine CT using multi-atlas label fusion. Then, edge maps of the posterior elements are computed. These edge maps serve as candidate regions for predicting a set of probabilities for fractures along the image edges using ConvNets in a 2.5D fashion (three orthogonal patches in axial, coronal and sagittal planes). We explore three different methods for training the ConvNet using 2.5D patches along the edge maps of 'positive', i.e. fractured posterior-elements and 'negative', i.e. non-fractured elements. An experienced radiologist retrospectively marked the location of 55 displaced posterior-element fractures in 18 trauma patients. We randomly split the data into training and testing cases. In testing, we achieve an area-under-the-curve of 0.857. This corresponds to 71% or 81% sensitivities at 5 or 10 false-positives per patient, respectively. Analysis of our set of trauma patients demonstrates the feasibility of detecting posterior-element fractures in spine CT images using computer vision techniques such as deep convolutional networks.




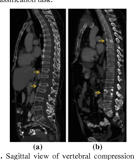
Abstract:Classification of vertebral compression fractures (VCF) having osteoporotic or neoplastic origin is fundamental to the planning of treatment. We developed a fracture classification system by acquiring quantitative morphologic and bone density determinants of fracture progression through the use of automated measurements from longitudinal studies. A total of 250 CT studies were acquired for the task, each having previously identified VCFs with osteoporosis or neoplasm. Thirty-six features or each identified VCF were computed and classified using a committee of support vector machines. Ten-fold cross validation on 695 identified fractured vertebrae showed classification accuracies of 0.812, 0.665, and 0.820 for the measured, longitudinal, and combined feature sets respectively.




Abstract:The precise and accurate segmentation of the vertebral column is essential in the diagnosis and treatment of various orthopedic, neurological, and oncological traumas and pathologies. Segmentation is especially challenging in the presence of pathology such as vertebral compression fractures. In this paper, we propose a method to produce segmentations for osteoporotic compression fractured vertebrae by applying a multi-atlas joint label fusion technique for clinical CT images. A total of 170 thoracic and lumbar vertebrae were evaluated using atlases from five patients with varying degrees of spinal degeneration. In an osteoporotic cohort of bundled atlases, registration provided an average Dice coefficient and mean absolute surface distance of 2.7$\pm$4.5% and 0.32$\pm$0.13mm for osteoporotic vertebrae, respectively, and 90.9$\pm$3.0% and 0.36$\pm$0.11mm for compression fractured vertebrae.