Abstract:Tool learning has emerged as a promising paradigm for large language models (LLMs) to address real-world challenges. Due to the extensive and irregularly updated number of tools, tool retrieval for selecting the desired tool subset is essential. However, current tool retrieval methods are usually based on academic benchmarks containing overly detailed instructions (e.g., specific API names and parameters), while real-world instructions are more vague. Such a discrepancy would hinder the tool retrieval in real-world applications. In this paper, we first construct a new benchmark, VGToolBench, to simulate human vague instructions. Based on this, we conduct a series of preliminary analyses and find that vague instructions indeed damage the performance of tool retrieval. To this end, we propose a simple-yet-effective Tool Retrieval Bridge (TRB) approach to boost the performance of tool retrieval for vague instructions. The principle of TRB is to introduce a bridge model to rewrite the vague instructions into more specific ones and alleviate the gap between vague instructions and retriever preferences.We conduct extensive experiments under multiple commonly used retrieval settings, and the results show that TRB effectively mitigates the ambiguity of vague instructions while delivering consistent and substantial improvements across all baseline retrievers. For example, with the help of TRB, BM25 achieves a relative improvement of up to 111.51%, i.e., increasing the average NDCG score from 9.73 to 19.59. The source code and models are publicly available at https://github.com/kfchenhn/TRB.
Abstract:Humans achieve complex manipulation through coordinated whole-body control, whereas most Vision-Language-Action (VLA) models treat robot body parts largely independently, making high-DoF humanoid control challenging and often unstable. We present HEX, a state-centric framework for coordinated manipulation on full-sized bipedal humanoid robots. HEX introduces a humanoid-aligned universal state representation for scalable learning across heterogeneous embodiments, and incorporates a Mixture-of-Experts Unified Proprioceptive Predictor to model whole-body coordination and temporal motion dynamics from large-scale multi-embodiment trajectory data. To efficiently capture temporal visual context, HEX uses lightweight history tokens to summarize past observations, avoiding repeated encoding of historical images during inference. It further employs a residual-gated fusion mechanism with a flow-matching action head to adaptively integrate visual-language cues with proprioceptive dynamics for action generation. Experiments on real-world humanoid manipulation tasks show that HEX achieves state-of-the-art performance in task success rate and generalization, particularly in fast-reaction and long-horizon scenarios.
Abstract:The pursuit of general-purpose robotic manipulation is hindered by the scarcity of diverse, real-world interaction data. Unlike data collection from web in vision or language, robotic data collection is an active process incurring prohibitive physical costs. Consequently, automated task curation to maximize data value remains a critical yet under-explored challenge. Existing manual methods are unscalable and biased toward common tasks, while off-the-shelf foundation models often hallucinate physically infeasible instructions. To address this, we introduce RoboGene, an agentic framework designed to automate the generation of diverse, physically plausible manipulation tasks across single-arm, dual-arm, and mobile robots. RoboGene integrates three core components: diversity-driven sampling for broad task coverage, self-reflection mechanisms to enforce physical constraints, and human-in-the-loop refinement for continuous improvement. We conduct extensive quantitative analysis and large-scale real-world experiments, collecting datasets of 18k trajectories and introducing novel metrics to assess task quality, feasibility, and diversity. Results demonstrate that RoboGene significantly outperforms state-of-the-art foundation models (e.g., GPT-4o, Gemini 2.5 Pro). Furthermore, real-world experiments show that VLA models pre-trained with RoboGene achieve higher success rates and superior generalization, underscoring the importance of high-quality task generation. Our project is available at https://robogene-boost-vla.github.io.
Abstract:While data-driven imitation learning has revolutionized robotic manipulation, current approaches remain constrained by the scarcity of large-scale, diverse real-world demonstrations. Consequently, the ability of existing models to generalize across long-horizon bimanual tasks and mobile manipulation in unstructured environments remains limited. To bridge this gap, we present RoboMIND 2.0, a comprehensive real-world dataset comprising over 310K dual-arm manipulation trajectories collected across six distinct robot embodiments and 739 complex tasks. Crucially, to support research in contact-rich and spatially extended tasks, the dataset incorporates 12K tactile-enhanced episodes and 20K mobile manipulation trajectories. Complementing this physical data, we construct high-fidelity digital twins of our real-world environments, releasing an additional 20K-trajectory simulated dataset to facilitate robust sim-to-real transfer. To fully exploit the potential of RoboMIND 2.0, we propose MIND-2 system, a hierarchical dual-system frame-work optimized via offline reinforcement learning. MIND-2 integrates a high-level semantic planner (MIND-2-VLM) to decompose abstract natural language instructions into grounded subgoals, coupled with a low-level Vision-Language-Action executor (MIND-2-VLA), which generates precise, proprioception-aware motor actions.




Abstract:Domain-specific instruction-tuning has become the defacto standard for improving the performance of large language models (LLMs) in specialized applications, e.g., medical question answering. Since the instruction-tuning dataset might contain redundant or low-quality data, data selection (DS) is usually required to maximize the data efficiency. Despite the successes in the general domain, current DS methods often struggle to select the desired data for domain-specific instruction-tuning. One of the main reasons is that they neglect the impact of knowledge conflicts, i.e., the discrepancy between LLMs' pretrained knowledge and context knowledge of instruction data, which could damage LLMs' prior abilities and lead to hallucination. To this end, we propose a simple-yet-effective Knowledge-aware Data Selection (namely KDS) framework to select the domain-specific instruction-tuning data that meets LLMs' actual needs. The core of KDS is to leverage two knowledge-aware metrics for quantitatively measuring knowledge conflicts from two aspects: context-memory knowledge alignment and intra-memory knowledge consistency. By filtering the data with large knowledge conflicts and sampling the high-quality and diverse data, KDS can effectively stimulate the LLMs' abilities and achieve better domain-specific performance. Taking the medical domain as the testbed, we conduct extensive experiments and empirically prove that KDS surpasses the other baselines and brings significant and consistent performance gains among all LLMs. More encouragingly, KDS effectively improves the model generalization and alleviates the hallucination problem.




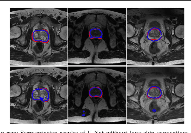
Abstract:Automated medical image segmentation plays an important role in many clinical applications, which however is a very challenging task, due to complex background texture, lack of clear boundary and significant shape and texture variation between images. Many researchers proposed an encoder-decoder architecture with skip connections to combine low-level feature maps from the encoder path with high-level feature maps from the decoder path for automatically segmenting medical images. The skip connections have been shown to be effective in recovering fine-grained details of the target objects and may facilitate the gradient back-propagation. However, not all the feature maps transmitted by those connections contribute positively to the network performance. In this paper, to adaptively select useful information to pass through those skip connections, we propose a novel 3D network with self-supervised function, named selective information passing network (SIP-Net). We evaluate our proposed model on the MICCAI Prostate MR Image Segmentation 2012 Grant Challenge dataset, TCIA Pancreas CT-82 and MICCAI 2017 Liver Tumor Segmentation (LiTS) Challenge dataset. The experimental results across these data sets show that our model achieved improved segmentation results and outperformed other state-of-the-art methods. The source code of this work is available at https://github.com/ahukui/SIPNet.