



Abstract:Synthesizing a subject-specific pathology-free image from a pathological image is valuable for algorithm development and clinical practice. In recent years, several approaches based on the Generative Adversarial Network (GAN) have achieved promising results in pseudo-healthy synthesis. However, the discriminator (i.e., a classifier) in the GAN cannot accurately identify lesions and further hampers from generating admirable pseudo-healthy images. To address this problem, we present a new type of discriminator, the segmentor, to accurately locate the lesions and improve the visual quality of pseudo-healthy images. Then, we apply the generated images into medical image enhancement and utilize the enhanced results to cope with the low contrast problem existing in medical image segmentation. Furthermore, a reliable metric is proposed by utilizing two attributes of label noise to measure the health of synthetic images. Comprehensive experiments on the T2 modality of BraTS demonstrate that the proposed method substantially outperforms the state-of-the-art methods. The method achieves better performance than the existing methods with only 30\% of the training data. The effectiveness of the proposed method is also demonstrated on the LiTS and the T1 modality of BraTS. The code and the pre-trained model of this study are publicly available at https://github.com/Au3C2/Generator-Versus-Segmentor.




Abstract:The analysis of organ vessels is essential for computer-aided diagnosis and surgical planning. But it is not a easy task since the fine-detailed connected regions of organ vessel bring a lot of ambiguity in vessel segmentation and sub-type recognition, especially for the low-contrast capillary regions. Furthermore, recent two-staged approaches would accumulate and even amplify these inaccuracies from the first-stage whole vessel segmentation into the second-stage sub-type vessel pixel-wise classification. Moreover, the scarcity of manual annotation in organ vessels poses another challenge. In this paper, to address the above issues, we propose a hierarchical deep network where an attention mechanism localizes the low-contrast capillary regions guided by the whole vessels, and enhance the spatial activation in those areas for the sub-type vessels. In addition, we propose an uncertainty-aware semi-supervised training framework to alleviate the annotation-hungry limitation of deep models. The proposed method achieves the state-of-the-art performance in the benchmarks of both retinal artery/vein segmentation in fundus images and liver portal/hepatic vessel segmentation in CT images.




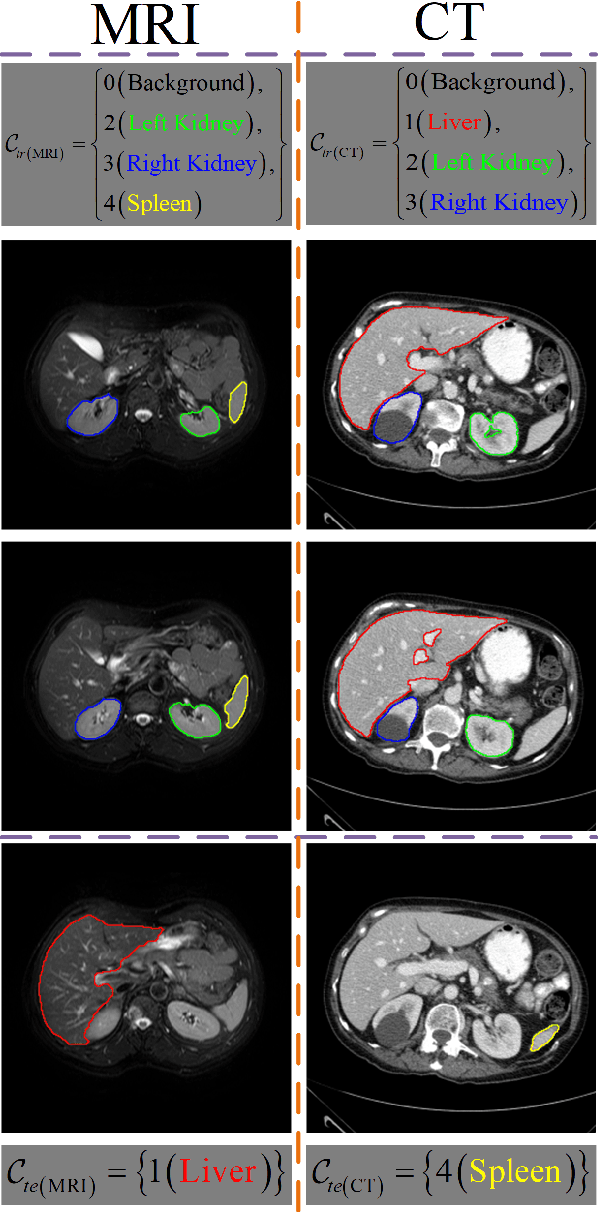
Abstract:Despite deep convolutional neural networks achieved impressive progress in medical image computing and analysis, its paradigm of supervised learning demands a large number of annotations for training to avoid overfitting and achieving promising results. In clinical practices, massive semantic annotations are difficult to acquire in some conditions where specialized biomedical expert knowledge is required, and it is also a common condition where only few annotated classes are available. In this work, we proposed a novel method for few-shot medical image segmentation, which enables a segmentation model to fast generalize to an unseen class with few training images. We construct our few-shot image segmentor using a deep convolutional network trained episodically. Motivated by the spatial consistency and regularity in medical images, we developed an efficient global correlation module to capture the correlation between a support and query image and incorporate it into the deep network called global correlation network. Moreover, we enhance discriminability of deep embedding to encourage clustering of the feature domains of the same class while keep the feature domains of different organs far apart. Ablation Study proved the effectiveness of the proposed global correlation module and discriminative embedding loss. Extensive experiments on anatomical abdomen images on both CT and MRI modalities are performed to demonstrate the state-of-the-art performance of our proposed model.




Abstract:Standard segmentation of medical images based on full-supervised convolutional networks demands accurate dense annotations. Such learning framework is built on laborious manual annotation with restrict demands for expertise, leading to insufficient high-quality labels. To overcome such limitation and exploit massive weakly labeled data, we relaxed the rigid labeling requirement and developed a semi-supervised learning framework based on a teacher-student fashion for organ and lesion segmentation with partial dense-labeled supervision and supplementary loose bounding-box supervision which are easier to acquire. Observing the geometrical relation of an organ and its inner lesions in most cases, we propose a hierarchical organ-to-lesion (O2L) attention module in a teacher segmentor to produce pseudo-labels. Then a student segmentor is trained with combinations of manual-labeled and pseudo-labeled annotations. We further proposed a localization branch realized via an aggregation of high-level features in a deep decoder to predict locations of organ and lesion, which enriches student segmentor with precise localization information. We validated each design in our model on LiTS challenge datasets by ablation study and showed its state-of-the-art performance compared with recent methods. We show our model is robust to the quality of bounding box and achieves comparable performance compared with full-supervised learning methods.