



Abstract:Non-Cartesian sampling with subspace-constrained image reconstruction is a popular approach to dynamic MRI, but slow iterative reconstruction limits its clinical application. Data-consistent (DC) deep learning can accelerate reconstruction with good image quality, but has not been formulated for non-Cartesian subspace imaging. In this study, we propose a DC non-Cartesian deep subspace learning framework for fast, accurate dynamic MR image reconstruction. Four novel DC formulations are developed and evaluated: two gradient decent approaches, a directly solved approach, and a conjugate gradient approach. We applied a U-Net model with and without DC layers to reconstruct T1-weighted images for cardiac MR Multitasking (an advanced multidimensional imaging method), comparing our results to the iteratively reconstructed reference. Experimental results show that the proposed framework significantly improves reconstruction accuracy over the U-Net model without DC, while significantly accelerating the reconstruction over conventional iterative reconstruction.





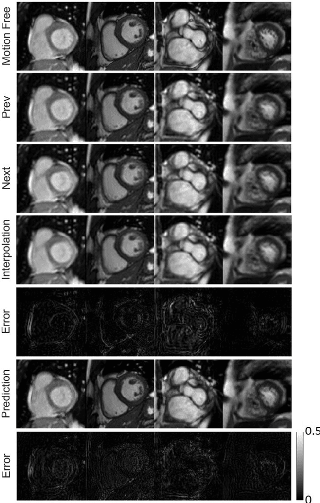
Abstract:Cine cardiac magnetic resonance imaging (MRI) is widely used for diagnosis of cardiac diseases thanks to its ability to present cardiovascular features in excellent contrast. As compared to computed tomography (CT), MRI, however, requires a long scan time, which inevitably induces motion artifacts and causes patients' discomfort. Thus, there has been a strong clinical motivation to develop techniques to reduce both the scan time and motion artifacts. Given its successful applications in other medical imaging tasks such as MRI super-resolution and CT metal artifact reduction, deep learning is a promising approach for cardiac MRI motion artifact reduction. In this paper, we propose a recurrent neural network to simultaneously extract both spatial and temporal features from under-sampled, motion-blurred cine cardiac images for improved image quality. The experimental results demonstrate substantially improved image quality on two clinical test datasets. Also, our method enables data-driven frame interpolation at an enhanced temporal resolution. Compared with existing methods, our deep learning approach gives a superior performance in terms of structural similarity (SSIM) and peak signal-to-noise ratio (PSNR).





Abstract:High-resolution (HR) magnetic resonance imaging (MRI) provides detailed anatomical information that is critical for diagnosis in the clinical application. However, HR MRI typically comes at the cost of long scan time, small spatial coverage, and low signal-to-noise ratio (SNR). Recent studies showed that with a deep convolutional neural network (CNN), HR generic images could be recovered from low-resolution (LR) inputs via single image super-resolution (SISR) approaches. Additionally, previous works have shown that a deep 3D CNN can generate high-quality SR MRIs by using learned image priors. However, 3D CNN with deep structures, have a large number of parameters and are computationally expensive. In this paper, we propose a novel 3D CNN architecture, namely a multi-level densely connected super-resolution network (mDCSRN), which is light-weight, fast and accurate. We also show that with the generative adversarial network (GAN)-guided training, the mDCSRN-GAN provides appealing sharp SR images with rich texture details that are highly comparable with the referenced HR images. Our results from experiments on a large public dataset with 1,113 subjects showed that this new architecture outperformed other popular deep learning methods in recovering 4x resolution-downgraded images in both quality and speed.





Abstract:High spatiotemporal resolution dynamic magnetic resonance imaging (MRI) is a powerful clinical tool for imaging moving structures as well as to reveal and quantify other physical and physiological dynamics. The low speed of MRI necessitates acceleration methods such as deep learning reconstruction from under-sampled data. However, the massive size of many dynamic MRI problems prevents deep learning networks from directly exploiting global temporal relationships. In this work, we show that by applying deep neural networks inside a priori calculated temporal feature spaces, we enable deep learning reconstruction with global temporal modeling even for image sequences with >40,000 frames. One proposed variation of our approach using dilated multi-level Densely Connected Network (mDCN) speeds up feature space coordinate calculation by 3000x compared to conventional iterative methods, from 20 minutes to 0.39 seconds. Thus, the combination of low-rank tensor and deep learning models not only makes large-scale dynamic MRI feasible but also practical for routine clinical application.




Abstract:High-resolution (HR) magnetic resonance images (MRI) provide detailed anatomical information important for clinical application and quantitative image analysis. However, HR MRI conventionally comes at the cost of longer scan time, smaller spatial coverage, and lower signal-to-noise ratio (SNR). Recent studies have shown that single image super-resolution (SISR), a technique to recover HR details from one single low-resolution (LR) input image, could provide high-quality image details with the help of advanced deep convolutional neural networks (CNN). However, deep neural networks consume memory heavily and run slowly, especially in 3D settings. In this paper, we propose a novel 3D neural network design, namely a multi-level densely connected super-resolution network (mDCSRN) with generative adversarial network (GAN)-guided training. The mDCSRN quickly trains and inferences and the GAN promotes realistic output hardly distinguishable from original HR images. Our results from experiments on a dataset with 1,113 subjects show that our new architecture beats other popular deep learning methods in recovering 4x resolution-downgraded im-ages and runs 6x faster.





Abstract:Coronary calcium causes beam hardening and blooming artifacts on cardiac computed tomography angiography (CTA) images, which lead to overestimation of lumen stenosis and reduction of diagnostic specificity. To properly remove coronary calcification and restore arterial lumen precisely, we propose a machine learning-based method with a multi-step inpainting process. We developed a new network configuration, Dense-Unet, to achieve optimal performance with low computational cost. Results after the calcium removal process were validated by comparing with gold-standard X-ray angiography. Our results demonstrated that removing coronary calcification from images with the proposed approach was feasible, and may potentially improve the diagnostic accuracy of CTA.





Abstract:Magnetic resonance image (MRI) in high spatial resolution provides detailed anatomical information and is often necessary for accurate quantitative analysis. However, high spatial resolution typically comes at the expense of longer scan time, less spatial coverage, and lower signal to noise ratio (SNR). Single Image Super-Resolution (SISR), a technique aimed to restore high-resolution (HR) details from one single low-resolution (LR) input image, has been improved dramatically by recent breakthroughs in deep learning. In this paper, we introduce a new neural network architecture, 3D Densely Connected Super-Resolution Networks (DCSRN) to restore HR features of structural brain MR images. Through experiments on a dataset with 1,113 subjects, we demonstrate that our network outperforms bicubic interpolation as well as other deep learning methods in restoring 4x resolution-reduced images.
