



Abstract:For efficient and safe autonomous driving, it is essential that autonomous vehicles can predict the motion of other traffic agents. While highly accurate, current motion prediction models often impose significant challenges in terms of training resource requirements and deployment on embedded hardware. We propose a new efficient motion prediction model, which achieves highly competitive benchmark results while training only a few hours on a single GPU. Due to our lightweight architectural choices and the focus on reducing the required training resources, our model can easily be applied to custom datasets. Furthermore, its low inference latency makes it particularly suitable for deployment in autonomous applications with limited computing resources.





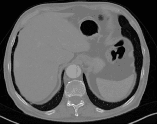
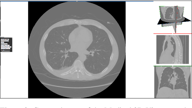
Abstract:Medical imaging is an important tool for the diagnosis and the evaluation of an aortic dissection (AD); a serious condition of the aorta, which could lead to a life-threatening aortic rupture. AD patients need life-long medical monitoring of the aortic enlargement and of the disease progression, subsequent to the diagnosis of the aortic dissection. Since there is a lack of 'healthy-dissected' image pairs from medical studies, the application of inpainting techniques offers an alternative source for generating them by doing a virtual regression from dissected aortae to healthy aortae; an indirect way to study the origin of the disease. The proposed inpainting tool combines a neural network, which was trained on the task of inpainting aortic dissections, with an easy-to-use user interface. To achieve this goal, the inpainting tool has been integrated within the 3D medical image viewer of StudierFenster (www.studierfenster.at). By designing the tool as a web application, we simplify the usage of the neural network and reduce the initial learning curve.
