



Abstract:Regression that predicts continuous quantity is a central part of applications using computational imaging and computer vision technologies. Yet, studying and understanding self-supervised learning for regression tasks - except for a particular regression task, image denoising - have lagged behind. This paper proposes a general self-supervised regression learning (SSRL) framework that enables learning regression neural networks with only input data (but without ground-truth target data), by using a designable pseudo-predictor that encapsulates domain knowledge of a specific application. The paper underlines the importance of using domain knowledge by showing that under different settings, the better pseudo-predictor can lead properties of SSRL closer to those of ordinary supervised learning. Numerical experiments for low-dose computational tomography denoising and camera image denoising demonstrate that proposed SSRL significantly improves the denoising quality over several existing self-supervised denoising methods.



Abstract:Signal models based on sparse representation have received considerable attention in recent years. Compared to synthesis dictionary learning, sparsifying transform learning involves highly efficient sparse coding and operator update steps. In this work, we propose a Multi-layer Residual Sparsifying Transform (MRST) learning model wherein the transform domain residuals are jointly sparsified over layers. In particular, the transforms for the deeper layers exploit the more intricate properties of the residual maps. We investigate the application of the learned MRST model for low-dose CT reconstruction using Penalized Weighted Least Squares (PWLS) optimization. Experimental results on Mayo Clinic data show that the MRST model outperforms conventional methods such as FBP and PWLS methods based on edge-preserving (EP) regularizer and single-layer transform (ST) model, especially for maintaining some subtle details.



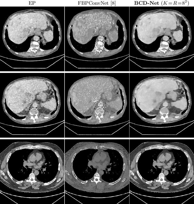
Abstract:Obtaining accurate and reliable images from low-dose computed tomography (CT) is challenging. Regression convolutional neural network (CNN) models that are learned from training data are increasingly gaining attention in low-dose CT reconstruction. This paper modifies the architecture of an iterative regression CNN, BCD-Net, for fast, stable, and accurate low-dose CT reconstruction, and presents the convergence property of the modified BCD-Net. Numerical results with phantom data show that applying faster numerical solvers to model-based image reconstruction (MBIR) modules of BCD-Net leads to faster and more accurate BCD-Net; BCD-Net significantly improves the reconstruction accuracy, compared to the state-of-the-art MBIR method using learned transforms; BCD-Net achieves better image quality, compared to a state-of-the-art iterative NN architecture, ADMM-Net. Numerical results with clinical data show that BCD-Net generalizes significantly better than a state-of-the-art deep (non-iterative) regression NN, FBPConvNet, that lacks MBIR modules.




Abstract:Signal models based on sparsity, low-rank and other properties have been exploited for image reconstruction from limited and corrupted data in medical imaging and other computational imaging applications. In particular, sparsifying transform models have shown promise in various applications, and offer numerous advantages such as efficiencies in sparse coding and learning. This work investigates pre-learning a multi-layer extension of the transform model for image reconstruction, wherein the transform domain or filtering residuals of the image are further sparsified over the layers. The residuals from multiple layers are jointly minimized during learning, and in the regularizer for reconstruction. The proposed block coordinate descent optimization algorithms involve highly efficient updates. Preliminary numerical experiments demonstrate the usefulness of a two-layer model over the previous related schemes for CT image reconstruction from low-dose measurements.




Abstract:The development of computed tomography (CT) image reconstruction methods that significantly reduce patient radiation exposure while maintaining high image quality is an important area of research in low-dose CT (LDCT) imaging. We propose a new penalized weighted least squares (PWLS) reconstruction method that exploits regularization based on an efficient Union of Learned TRAnsforms (PWLS-ULTRA). The union of square transforms is pre-learned from numerous image patches extracted from a dataset of CT images or volumes. The proposed PWLS-based cost function is optimized by alternating between a CT image reconstruction step, and a sparse coding and clustering step. The CT image reconstruction step is accelerated by a relaxed linearized augmented Lagrangian method with ordered-subsets that reduces the number of forward and back projections. Simulations with 2-D and 3-D axial CT scans of the extended cardiac-torso phantom and 3D helical chest and abdomen scans show that for both normal-dose and low-dose levels, the proposed method significantly improves the quality of reconstructed images compared to PWLS reconstruction with a nonadaptive edge-preserving regularizer (PWLS-EP). PWLS with regularization based on a union of learned transforms leads to better image reconstructions than using a single learned square transform. We also incorporate patch-based weights in PWLS-ULTRA that enhance image quality and help improve image resolution uniformity. The proposed approach achieves comparable or better image quality compared to learned overcomplete synthesis dictionaries, but importantly, is much faster (computationally more efficient).




Abstract:A major challenge in X-ray computed tomography (CT) is reducing radiation dose while maintaining high quality of reconstructed images. To reduce the radiation dose, one can reduce the number of projection views (sparse-view CT); however, it becomes difficult to achieve high quality image reconstruction as the number of projection views decreases. Researchers have applied the concept of learning sparse representations from (high-quality) CT image dataset to the sparse-view CT reconstruction. We propose a new statistical CT reconstruction model that combines penalized weighted-least squares (PWLS) and $\ell_1$ regularization with learned sparsifying transform (PWLS-ST-$\ell_1$), and an algorithm for PWLS-ST-$\ell_1$. Numerical experiments for sparse-view 2D fan-beam CT and 3D axial cone-beam CT show that the $\ell_1$ regularizer significantly improves the sharpness of edges of reconstructed images compared to the CT reconstruction methods using edge-preserving regularizer and $\ell_2$ regularization with learned ST.



Abstract:A major challenge in computed tomography (CT) is to reduce X-ray dose to a low or even ultra-low level while maintaining the high quality of reconstructed images. We propose a new method for CT reconstruction that combines penalized weighted-least squares reconstruction (PWLS) with regularization based on a sparsifying transform (PWLS-ST) learned from a dataset of numerous CT images. We adopt an alternating algorithm to optimize the PWLS-ST cost function that alternates between a CT image update step and a sparse coding step. We adopt a relaxed linearized augmented Lagrangian method with ordered-subsets (relaxed OS-LALM) to accelerate the CT image update step by reducing the number of forward and backward projections. Numerical experiments on the XCAT phantom show that for low dose levels, the proposed PWLS-ST method dramatically improves the quality of reconstructed images compared to PWLS reconstruction with a nonadaptive edge-preserving regularizer (PWLS-EP).