



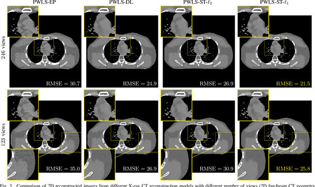
A major challenge in X-ray computed tomography (CT) is reducing radiation dose while maintaining high quality of reconstructed images. To reduce the radiation dose, one can reduce the number of projection views (sparse-view CT); however, it becomes difficult to achieve high quality image reconstruction as the number of projection views decreases. Researchers have applied the concept of learning sparse representations from (high-quality) CT image dataset to the sparse-view CT reconstruction. We propose a new statistical CT reconstruction model that combines penalized weighted-least squares (PWLS) and $\ell_1$ regularization with learned sparsifying transform (PWLS-ST-$\ell_1$), and an algorithm for PWLS-ST-$\ell_1$. Numerical experiments for sparse-view 2D fan-beam CT and 3D axial cone-beam CT show that the $\ell_1$ regularizer significantly improves the sharpness of edges of reconstructed images compared to the CT reconstruction methods using edge-preserving regularizer and $\ell_2$ regularization with learned ST.