



Abstract:The recovery of magnetic resonance (MR) images from undersampled measurements is a key problem that has seen extensive research in recent years. Unrolled approaches, which rely on end-to-end training of convolutional neural network (CNN) blocks within iterative reconstruction algorithms, offer state-of-the-art performance. These algorithms require a large amount of memory during training, making them difficult to employ in high-dimensional applications. Deep equilibrium (DEQ) models and the recent monotone operator learning (MOL) approach were introduced to eliminate the need for unrolling, thus reducing the memory demand during training. Both approaches require a Lipschitz constraint on the network to ensure that the forward and backpropagation iterations converge. Unfortunately, the constraint often results in reduced performance compared to unrolled methods. The main focus of this work is to relax the constraint on the CNN block in two different ways. Inspired by convex-non-convex regularization strategies, we now impose the monotone constraint on the sum of the gradient of the data term and the CNN block, rather than constrain the CNN itself to be a monotone operator. This approach enables the CNN to learn possibly non-monotone score functions, which can translate to improved performance. In addition, we only restrict the operator to be monotone in a local neighborhood around the image manifold. Our theoretical results show that the proposed algorithm is guaranteed to converge to the fixed point and that the solution is robust to input perturbations, provided that it is initialized close to the true solution. Our empirical results show that the relaxed constraints translate to improved performance and that the approach enjoys robustness to input perturbations similar to MOL.



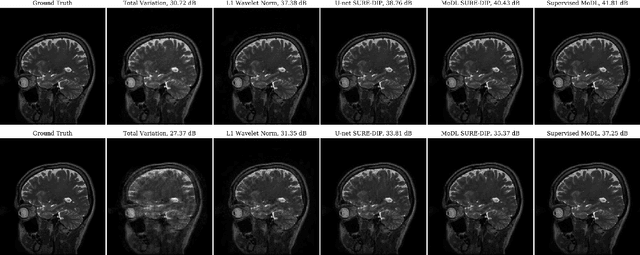
Abstract:Deep learning algorithms that rely on extensive training data are revolutionizing image recovery from ill-posed measurements. Training data is scarce in many imaging applications, including ultra-high-resolution imaging. The deep image prior (DIP) algorithm was introduced for single-shot image recovery, completely eliminating the need for training data. A challenge with this scheme is the need for early stopping to minimize the overfitting of the CNN parameters to the noise in the measurements. We introduce a generalized Stein's unbiased risk estimate (GSURE) loss metric to minimize the overfitting. Our experiments show that the SURE-DIP approach minimizes the overfitting issues, thus offering significantly improved performance over classical DIP schemes. We also use the SURE-DIP approach with model-based unrolling architectures, which offers improved performance over direct inversion schemes.