



Abstract:Carbon intensity (CI) measures the average carbon emissions generated per unit of electricity, making it a crucial metric for quantifying and managing the environmental impact. Accurate CI predictions are vital for minimizing carbon footprints, yet the state-of-the-art method (CarbonCast) falls short due to its inability to address regional variability and lack of adaptability. To address these limitations, we introduce EnsembleCI, an adaptive, end-to-end ensemble learning-based approach for CI forecasting. EnsembleCI combines weighted predictions from multiple sublearners, offering enhanced flexibility and regional adaptability. In evaluations across 11 regional grids, EnsembleCI consistently surpasses CarbonCast, achieving the lowest mean absolute percentage error (MAPE) in almost all grids and improving prediction accuracy by an average of 19.58%. While performance still varies across grids due to inherent regional diversity, EnsembleCI reduces variability and exhibits greater robustness in long-term forecasting compared to CarbonCast and identifies region-specific key features, underscoring its interpretability and practical relevance. These findings position EnsembleCI as a more accurate and reliable solution for CI forecasting. EnsembleCI source code and data used in this paper are available at https://github.com/emmayly/EnsembleCI.




Abstract:In autonomous driving, there has been an explosion in the use of deep neural networks for perception, prediction and planning tasks. As autonomous vehicles (AVs) move closer to production, multi-modal sensor inputs and heterogeneous vehicle fleets with different sets of sensor platforms are becoming increasingly common in the industry. However, neural network architectures typically target specific sensor platforms and are not robust to changes in input, making the problem of scaling and model deployment particularly difficult. Furthermore, most players still treat the problem of optimizing software and hardware as entirely independent problems. We propose a new end to end architecture, Generalized Sensor Fusion (GSF), which is designed in such a way that both sensor inputs and target tasks are modular and modifiable. This enables AV system designers to easily experiment with different sensor configurations and methods and opens up the ability to deploy on heterogeneous fleets using the same models that are shared across a large engineering organization. Using this system, we report experimental results where we demonstrate near-parity of an expensive high-density (HD) LiDAR sensor with a cheap low-density (LD) LiDAR plus camera setup in the 3D object detection task. This paves the way for the industry to jointly design hardware and software architectures as well as large fleets with heterogeneous configurations.




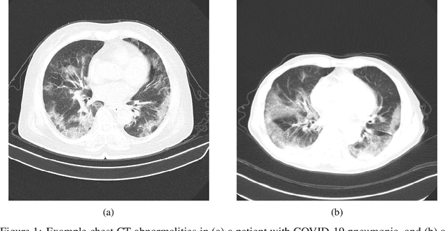
Abstract:The coronavirus disease 2019 (COVID-19) pandemic continues to have a tremendous impact on patients and healthcare systems around the world. In the fight against this novel disease, there is a pressing need for rapid and effective screening tools to identify patients infected with COVID-19, and to this end CT imaging has been proposed as one of the key screening methods which may be used as a complement to RT-PCR testing, particularly in situations where patients undergo routine CT scans for non-COVID-19 related reasons, patients with worsening respiratory status or developing complications that require expedited care, and patients suspected to be COVID-19-positive but have negative RT-PCR test results. Motivated by this, in this study we introduce COVIDNet-CT, a deep convolutional neural network architecture that is tailored for detection of COVID-19 cases from chest CT images via a machine-driven design exploration approach. Additionally, we introduce COVIDx-CT, a benchmark CT image dataset derived from CT imaging data collected by the China National Center for Bioinformation comprising 104,009 images across 1,489 patient cases. Furthermore, in the interest of reliability and transparency, we leverage an explainability-driven performance validation strategy to investigate the decision-making behaviour of COVIDNet-CT, and in doing so ensure that COVIDNet-CT makes predictions based on relevant indicators in CT images. Both COVIDNet-CT and the COVIDx-CT dataset are available to the general public in an open-source and open access manner as part of the COVID-Net initiative. While COVIDNet-CT is not yet a production-ready screening solution, we hope that releasing the model and dataset will encourage researchers, clinicians, and citizen data scientists alike to leverage and build upon them.




Abstract:While recent advances in deep learning have led to significant improvements in facial expression classification (FEC), a major challenge that remains a bottleneck for the widespread deployment of such systems is their high architectural and computational complexities. This is especially challenging given the operational requirements of various FEC applications, such as safety, marketing, learning, and assistive living, where real-time requirements on low-cost embedded devices is desired. Motivated by this need for a compact, low latency, yet accurate system capable of performing FEC in real-time on low-cost embedded devices, this study proposes EmotionNet Nano, an efficient deep convolutional neural network created through a human-machine collaborative design strategy, where human experience is combined with machine meticulousness and speed in order to craft a deep neural network design catered towards real-time embedded usage. Two different variants of EmotionNet Nano are presented, each with a different trade-off between architectural and computational complexity and accuracy. Experimental results using the CK+ facial expression benchmark dataset demonstrate that the proposed EmotionNet Nano networks demonstrated accuracies comparable to state-of-the-art in FEC networks, while requiring significantly fewer parameters (e.g., 23$\times$ fewer at a higher accuracy). Furthermore, we demonstrate that the proposed EmotionNet Nano networks achieved real-time inference speeds (e.g. $>25$ FPS and $>70$ FPS at 15W and 30W, respectively) and high energy efficiency (e.g. $>1.7$ images/sec/watt at 15W) on an ARM embedded processor, thus further illustrating the efficacy of EmotionNet Nano for deployment on embedded devices.


Abstract:Background: A critical step in effective care and treatment planning for severe acute respiratory syndrome coronavirus 2 (SARS-CoV-2) is the assessment of the severity of disease progression. Chest x-rays (CXRs) are often used to assess SARS-CoV-2 severity, with two important assessment metrics being extent of lung involvement and degree of opacity. In this proof-of-concept study, we assess the feasibility of computer-aided scoring of CXRs of SARS-CoV-2 lung disease severity using a deep learning system. Materials and Methods: Data consisted of 130 CXRs from SARS-CoV-2 positive patient cases from the Cohen study. Geographic extent and opacity extent were scored by two board-certified expert chest radiologists (with 20+ years of experience) and a 2nd-year radiology resident. The deep neural networks used in this study are based on a COVID-Net network architecture. 100 versions of the network were independently learned (50 to perform geographic extent scoring and 50 to perform opacity extent scoring) using random subsets of CXRs from the Cohen study, and evaluated the networks using stratified Monte Carlo cross-validation experiments. Findings: The deep neural networks yielded R$^2$ of 0.673 $\pm$ 0.004 and 0.636 $\pm$ 0.002 between predicted scores and radiologist scores for geographic extent and opacity extent, respectively, in stratified Monte Carlo cross-validation experiments. The best performing networks achieved R$^2$ of 0.865 and 0.746 between predicted scores and radiologist scores for geographic extent and opacity extent, respectively. Interpretation: The results are promising and suggest that the use of deep neural networks on CXRs could be an effective tool for computer-aided assessment of SARS-CoV-2 lung disease severity, although additional studies are needed before adoption for routine clinical use.




Abstract:Depth estimation is an active area of research in the field of computer vision, and has garnered significant interest due to its rising demand in a large number of applications ranging from robotics and unmanned aerial vehicles to autonomous vehicles. A particularly challenging problem in this area is monocular depth estimation, where the goal is to infer depth from a single image. An effective strategy that has shown considerable promise in recent years for tackling this problem is the utilization of deep convolutional neural networks. Despite these successes, the memory and computational requirements of such networks have made widespread deployment in embedded scenarios very challenging. In this study, we introduce DepthNet Nano, a highly compact self normalizing network for monocular depth estimation designed using a human machine collaborative design strategy, where principled network design prototyping based on encoder-decoder design principles are coupled with machine-driven design exploration. The result is a compact deep neural network with highly customized macroarchitecture and microarchitecture designs, as well as self-normalizing characteristics, that are highly tailored for the task of embedded depth estimation. The proposed DepthNet Nano possesses a highly efficient network architecture (e.g., 24X smaller and 42X fewer MAC operations than Alhashim et al. on KITTI), while still achieving comparable performance with state-of-the-art networks on the NYU-Depth V2 and KITTI datasets. Furthermore, experiments on inference speed and energy efficiency on a Jetson AGX Xavier embedded module further illustrate the efficacy of DepthNet Nano at different resolutions and power budgets (e.g., ~14 FPS and >0.46 images/sec/watt at 384 X 1280 at a 30W power budget on KITTI).




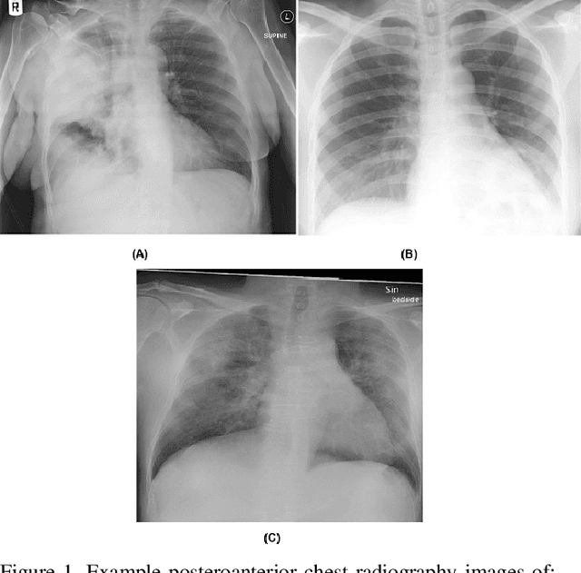
Abstract:The COVID-19 pandemic continues to have a devastating effect on the health and well-being of the global population. A critical step in the fight against COVID-19 is effective screening of infected patients, with one of the key screening approaches being radiological imaging using chest radiography. Motivated by this, a number of artificial intelligence (AI) systems based on deep learning have been proposed and results have been shown to be quite promising in terms of accuracy in detecting patients infected with COVID-19 using chest radiography images. However, to the best of the authors' knowledge, these developed AI systems have been closed source and unavailable to the research community for deeper understanding and extension, and unavailable for public access and use. Therefore, in this study we introduce COVID-Net, a deep convolutional neural network design tailored for the detection of COVID-19 cases from chest X-ray (CXR) images that is open source and available to the general public. We also describe the CXR dataset leveraged to train COVID-Net, which we will refer to as COVIDx and is comprised of 13,800 chest radiography images across 13,725 patient patient cases from three open access data repositories, one of which we introduced. Furthermore, we investigate how COVID-Net makes predictions using an explainability method in an attempt to gain deeper insights into critical factors associated with COVID cases, which can aid clinicians in improved screening. By no means a production-ready solution, the hope is that the open access COVID-Net, along with the description on constructing the open source COVIDx dataset, will be leveraged and build upon by both researchers and citizen data scientists alike to accelerate the development of highly accurate yet practical deep learning solutions for detecting COVID-19 cases and accelerate treatment of those who need it the most.



Abstract:Computer vision based technology is becoming ubiquitous in society. One application area that has seen an increase in computer vision is assistive technologies, specifically for those with visual impairment. Research has shown the ability of computer vision models to achieve tasks such provide scene captions, detect objects and recognize faces. Although assisting individuals with visual impairment with these tasks increases their independence and autonomy, concerns over bias, privacy and potential usefulness arise. This paper addresses the positive and negative implications computer vision based assistive technologies have on individuals with visual impairment, as well as considerations for computer vision researchers and developers in order to mitigate the amount of negative implications.


Abstract:Recent improvements in object detection have shown potential to aid in tasks where previous solutions were not able to achieve. A particular area is assistive devices for individuals with visual impairment. While state-of-the-art deep neural networks have been shown to achieve superior object detection performance, their high computational and memory requirements make them cost prohibitive for on-device operation. Alternatively, cloud-based operation leads to privacy concerns, both not attractive to potential users. To address these challenges, this study investigates creating an efficient object detection network specifically for OLIV, an AI-powered assistant for object localization for the visually impaired, via micro-architecture design exploration. In particular, we formulate the problem of finding an optimal network micro-architecture as an numerical optimization problem, where we find the set of hyperparameters controlling the MobileNetV2-SSD network micro-architecture that maximizes a modified NetScore objective function for the MSCOCO-OLIV dataset of indoor objects. Experimental results show that such a micro-architecture design exploration strategy leads to a compact deep neural network with a balanced trade-off between accuracy, size, and speed, making it well-suited for enabling on-device computer vision driven assistive devices for the visually impaired.




Abstract:The primary visual cortex processes a large amount of visual information, however, due to its large receptive fields, when multiple stimuli fall within one receptive field, there are computational problems. To solve this problem, the visual system uses selective attention, which allocates resources to a specific spatial location, to attend to one of the stimuli in the receptive field. During this process, the center and width of the attending receptive field change. The model presented in the paper, which is extended and altered from Bobier et al., simulates the selective attention between the primary visual cortex, V1, and middle temporal (MT) area. The responses of the MT columns, which encode the target stimulus, are compared to the results of an experiment conducted by Womelsdorf et al. on the receptive field shift and shrinkage in macaque MT area from selective attention. Based on the results, the responses in the MT area are similar to the Gaussian shaped receptive fields found in the experiment. As well, the responses of the MT columns are also measured for accuracy of representing the target visual stimulus and is found to represent the stimulus with a root mean squared error around 0.17 to 0.18. The paper also explores varying model parameters, such as the membrane time constant and maximum firing rates, and how those affect the measurement. This model is a start to modeling the responses of selective attention, however there are still improvements that can be made to better compare with the experiment, produce more accurate responses and incorporate more biologically plausible features.