



Abstract:Hematoxylin and Eosin (H&E) staining is a widely used sample preparation procedure for enhancing the saturation of tissue sections and the contrast between nuclei and cytoplasm in histology images for medical diagnostics. However, various factors, such as the differences in the reagents used, result in high variability in the colors of the stains actually recorded. This variability poses a challenge in achieving generalization for machine-learning based computer-aided diagnostic tools. To desensitize the learned models to stain variations, we propose the Generative Stain Augmentation Network (G-SAN) -- a GAN-based framework that augments a collection of cell images with simulated yet realistic stain variations. At its core, G-SAN uses a novel and highly computationally efficient Laplacian Pyramid (LP) based generator architecture, that is capable of disentangling stain from cell morphology. Through the task of patch classification and nucleus segmentation, we show that using G-SAN-augmented training data provides on average 15.7% improvement in F1 score and 7.3% improvement in panoptic quality, respectively. Our code is available at https://github.com/lifangda01/GSAN-Demo.




Abstract:For invasive breast cancer, immunohistochemical (IHC) techniques are often used to detect the expression level of human epidermal growth factor receptor-2 (HER2) in breast tissue to formulate a precise treatment plan. From the perspective of saving manpower, material and time costs, directly generating IHC-stained images from hematoxylin and eosin (H&E) stained images is a valuable research direction. Therefore, we held the breast cancer immunohistochemical image generation challenge, aiming to explore novel ideas of deep learning technology in pathological image generation and promote research in this field. The challenge provided registered H&E and IHC-stained image pairs, and participants were required to use these images to train a model that can directly generate IHC-stained images from corresponding H&E-stained images. We selected and reviewed the five highest-ranking methods based on their PSNR and SSIM metrics, while also providing overviews of the corresponding pipelines and implementations. In this paper, we further analyze the current limitations in the field of breast cancer immunohistochemical image generation and forecast the future development of this field. We hope that the released dataset and the challenge will inspire more scholars to jointly study higher-quality IHC-stained image generation.




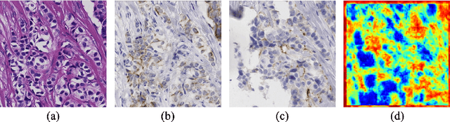
Abstract:Immunohistochemical (IHC) staining highlights the molecular information critical to diagnostics in tissue samples. However, compared to H&E staining, IHC staining can be much more expensive in terms of both labor and the laboratory equipment required. This motivates recent research that demonstrates that the correlations between the morphological information present in the H&E-stained slides and the molecular information in the IHC-stained slides can be used for H&E-to-IHC stain translation. However, due to a lack of pixel-perfect H&E-IHC groundtruth pairs, most existing methods have resorted to relying on expert annotations. To remedy this situation, we present a new loss function, Adaptive Supervised PatchNCE (ASP), to directly deal with the input to target inconsistencies in a proposed H&E-to-IHC image-to-image translation framework. The ASP loss is built upon a patch-based contrastive learning criterion, named Supervised PatchNCE (SP), and augments it further with weight scheduling to mitigate the negative impact of noisy supervision. Lastly, we introduce the Multi-IHC Stain Translation (MIST) dataset, which contains aligned H&E-IHC patches for 4 different IHC stains critical to breast cancer diagnosis. In our experiment, we demonstrate that our proposed method outperforms existing image-to-image translation methods for stain translation to multiple IHC stains. All of our code and datasets are available at https://github.com/lifangda01/AdaptiveSupervisedPatchNCE.



Abstract:When dealing with material classification in baggage at airports, Dual-Energy Computed Tomography (DECT) allows characterization of any given material with coefficients based on two attenuative effects: Compton scattering and photoelectric absorption. However, straightforward projection-domain decomposition methods for this characterization often yield poor reconstructions due to the high dynamic range of material properties encountered in an actual luggage scan. Hence, for better reconstruction quality under a timing constraint, we propose a splitting-based, GPU-accelerated, statistical DECT reconstruction algorithm. Compared to prior art, our main contribution lies in the significant acceleration made possible by separating reconstruction and decomposition within an ADMM framework. Experimental results, on both synthetic and real-world baggage phantoms, demonstrate a significant reduction in time required for convergence.




Abstract:Motivated by what is required for real-time path planning, the paper starts out by presenting sRMPD, a new recursive "local" planner founded on the key notion that, unless made necessary by an obstacle, there must be no deviation from the shortest path between any two points, which would normally be a straight line path in the configuration space. Subsequently, we increase the power of sRMPD by using it as a "connect" subroutine call in a higher-level sampling-based algorithm mRMPD that is inspired by multi-RRT. As a consequence, mRMPD spawns a larger number of space exploring trees in regions of the configuration space that are characterized by a higher density of obstacles. The overall effect is a hybrid tree growing strategy with a trade-off between random exploration as made possible by multi-RRT based logic and immediate exploitation of opportunities to connect two states as made possible by sRMPD. The mRMPD planner can be biased with regard to this trade-off for solving different kinds of planning problems efficiently. Based on the test cases we have run, our experiments show that mRMPD can reduce planning time by up to 80% compared to basic RRT.