



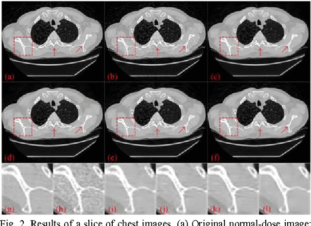
To reduce the potential radiation risk, low-dose CT has attracted much attention. However, simply lowering the radiation dose will lead to significant deterioration of the image quality. In this paper, we propose a noise reduction method for low-dose CT via deep neural network without accessing original projection data. A deep convolutional neural network is trained to transform low-dose CT images towards normal-dose CT images, patch by patch. Visual and quantitative evaluation demonstrates a competing performance of the proposed method.