Allan
Abstract:Reconfigurable Intelligent Surfaces (RIS) has a potential to engineer smart radio environments for next-generation millimeter-wave (mmWave) networks. However, the prohibitive computational overhead of Channel State Information (CSI) estimation and the dimensionality explosion inherent in centralized optimization severely hinder practical large-scale deployments. To overcome these bottlenecks, we introduce a ``CSI-free" paradigm powered by a Hierarchical Multi-Agent Reinforcement Learning (HMARL) architecture to control mechanically reconfigurable reflective surfaces. By substituting pilot-based channel estimation with accessible user localization data, our framework leverages spatial intelligence for macro-scale wave propagation management. The control problem is decomposed into a two-tier neural architecture: a high-level controller executes temporally extended, discrete user-to-reflector allocations, while low-level controllers autonomously optimize continuous focal points utilizing Multi-Agent Proximal Policy Optimization (MAPPO) under a Centralized Training with Decentralized Execution (CTDE) scheme. Comprehensive deterministic ray-tracing evaluations demonstrate that this hierarchical framework achieves massive RSSI improvements of up to 7.79 dB over centralized baselines. Furthermore, the system exhibits robust multi-user scalability and maintains highly resilient beam-focusing performance under practical sub-meter localization tracking errors. By eliminating CSI overhead while maintaining high-fidelity signal redirection, this work establishes a scalable and cost-effective blueprint for intelligent wireless environments.
Abstract:Reconfigurable Intelligent Surfaces (RIS) are pivotal for next-generation smart radio environments, yet their practical deployment is severely bottlenecked by the intractable computational overhead of Channel State Information (CSI) estimation. To bypass this fundamental physical-layer barrier, we propose an AI-native, data-driven paradigm that replaces complex channel modeling with spatial intelligence. This paper presents a fully autonomous Multi-Agent Reinforcement Learning (MARL) framework to control mechanically adjustable metallic reflector arrays. By mapping high-dimensional mechanical constraints to a reduced-order virtual focal point space, we deploy a Centralized Training with Decentralized Execution (CTDE) architecture. Using Multi-Agent Proximal Policy Optimization (MAPPO), our decentralized agents learn cooperative beam-focusing strategies relying on user coordinates, achieving CSI-free operation. High-fidelity ray-tracing simulations in dynamic non-line-of-sight (NLOS) environments demonstrate that this multi-agent approach rapidly adapts to user mobility, yielding up to a 26.86 dB enhancement over static flat reflectors and outperforming single-agent and hardware-constrained DRL baselines in both spatial selectivity and temporal stability. Crucially, the learned policies exhibit good deployment resilience, sustaining stable signal coverage even under 1.0-meter localization noise. These results validate the efficacy of MARL-driven spatial abstractions as a scalable, highly practical pathway toward AI-empowered wireless networks.
Abstract:Skeletal muscle-based biohybrid actuators have proved to be a promising component in soft robotics, offering efficient movement. However, their intrinsic biological variability and nonlinearity pose significant challenges for controllability and predictability. To address these issues, this study investigates the application of supervised learning, a form of machine learning, to model and predict the behavior of biohybrid machines (BHMs), focusing on a muscle ring anchored on flexible polymer pillars. First, static prediction models (i.e., random forest and neural network regressors) are trained to estimate the maximum exerted force achieved from input variables such as muscle sample, electrical stimulation parameters, and baseline exerted force. Second, a dynamic modeling framework, based on Long Short-Term Memory networks, is developed to serve as a digital twin, replicating the time series of exerted forces observed in response to electrical stimulation. Both modeling approaches demonstrate high predictive accuracy. The best performance of the static models is characterized by R2 of 0.9425, whereas the dynamic model achieves R2 of 0.9956. The static models can enable optimization of muscle actuator performance for targeted applications and required force outcomes, while the dynamic model provides a foundation for developing robustly adaptive control strategies in future biohybrid robotic systems.




Abstract:This paper presents a novel approach for enhancing wireless signal reception through self-adjustable metallic surfaces, termed reflectors, which are guided by deep reinforcement learning (DRL). The designed reflector system aims to improve signal quality for multiple users in scenarios where a direct line-of-sight (LOS) from the access point (AP) and reflector to users is not guaranteed. Utilizing DRL techniques, the reflector autonomously modifies its configuration to optimize beam allocation from the AP to user equipment (UE), thereby maximizing path gain. Simulation results indicate substantial improvements in the average path gain for all UEs compared to baseline configurations, highlighting the potential of DRL-driven reflectors in creating adaptive communication environments.
Abstract:This study introduces a Block Phase Tracking Reference Signal (PTRS) allocation approach for Discrete Fourier Transform-spread-Orthogonal Frequency Division Multiplexing (DFT-s-OFDM) systems to enhance phase noise tracking and compensation. Our proposed block allocation methodology leverages the concepts of multiresolution time-frequency tiling for more effective sampling, thereby mitigating aliasing effects and improving phase noise resilience. A key contribution of our approach is a novel modulation and demodulation scheme, incorporating a dedicated DFT-s-OFDM symbol, a modulator branch for block PTRS generation, and a dedicated demodulator for accurate phase noise estimation and correction.
Abstract:This study presents a novel mechanical metallic reflector array to guide wireless signals to the point of interest, thereby enhancing received signal quality. Comprised of numerous individual units, this device, which acts as a linear Fresnel reflector (LFR), facilitates the reflection of incoming signals to a desired location. Leveraging geometric principles, we present a systematic approach for redirecting beams from an Access Point (AP) toward User Equipment (UE) positions. This methodology is geared towards optimizing beam allocation, thereby maximizing the number of beams directed towards the UE. Ray tracing simulations conducted for two 3D wireless communication scenarios demonstrate significant increases in path gains and received signal strengths (RSS) by at least 50dB with strategically positioned devices.




Abstract:Propeller modulation, also known as micro-Doppler modulation, presents a significant challenge in radio frequency (RF) inspection operations conducted via drones. This paper investigates the equalization of propeller modulation effects on RF signals, specifically targeting applications in navigation aids such as Instrument Landing Systems (ILS). By employing a continuous reference tone, the propeller-induced Doppler spread can be effectively captured and equalized, improving signal integrity and accuracy. Simulation results demonstrate that the proposed equalization method significantly reduces DDM deviation caused by propeller modulation, even under various propeller speeds. The findings suggest that incorporating such equalization techniques can enhance the reliability and efficiency of drone-based RF inspections.




Abstract:The advent of Large Language Models (LLMs) has revolutionized language understanding and human-like text generation, drawing interest from many other fields with this question in mind: What else are the LLMs capable of? Despite their widespread adoption, ongoing research continues to explore new ways to integrate LLMs into diverse systems. This paper explores new techniques to harness the power of LLMs for 6G (6th Generation) wireless communication technologies, a domain where automation and intelligent systems are pivotal. The inherent adaptability of LLMs to domain-specific tasks positions them as prime candidates for enhancing wireless systems in the 6G landscape. We introduce a novel Reinforcement Learning (RL) based framework that leverages LLMs for network deployment in wireless communications. Our approach involves training an RL agent, utilizing LLMs as its core, in an urban setting to maximize coverage. The agent's objective is to navigate the complexities of urban environments and identify the network parameters for optimal area coverage. Additionally, we integrate LLMs with Convolutional Neural Networks (CNNs) to capitalize on their strengths while mitigating their limitations. The Deep Deterministic Policy Gradient (DDPG) algorithm is employed for training purposes. The results suggest that LLM-assisted models can outperform CNN-based models in some cases while performing at least as well in others.
Abstract:This paper proposes a novel time-frequency warped waveform for short symbols, massive machine-type communication (mMTC), and internet of things (IoT) applications. The waveform is composed of asymmetric raised cosine (RC) pulses to increase the signal containment in time and frequency domains. The waveform has low power tails in the time domain, hence better performance in the presence of delay spread and time offsets. The time-axis warping unitary transform is applied to control the waveform occupancy in time-frequency space and to compensate for the usage of high roll-off factor pulses at the symbol edges. The paper explains a step-by-step analysis for determining the roll-off factors profile and the warping functions. Gains are presented over the conventional Zero-tail Discrete Fourier Transform-spread-Orthogonal Frequency Division Multiplexing (ZT-DFT-s-OFDM), and Cyclic prefix (CP) DFT-s-OFDM schemes in the simulations section.




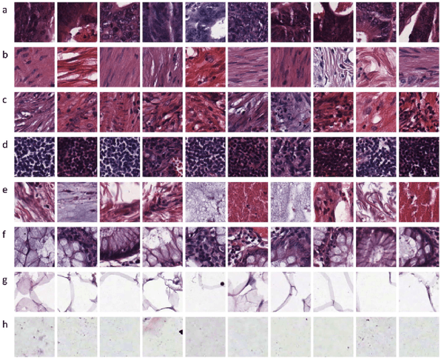
Abstract:This project aims to break down large pathology images into small tiles and then cluster those tiles into distinct groups without the knowledge of true labels, our analysis shows how difficult certain aspects of clustering tumorous and non-tumorous cells can be and also shows that comparing the results of different unsupervised approaches is not a trivial task. The project also provides a software package to be used by the digital pathology community, that uses some of the approaches developed to perform unsupervised unsupervised tile classification, which could then be easily manually labelled. The project uses a mixture of techniques ranging from classical clustering algorithms such as K-Means and Gaussian Mixture Models to more complicated feature extraction techniques such as deep Autoencoders and Multi-loss learning. Throughout the project, we attempt to set a benchmark for evaluation using a few measures such as completeness scores and cluster plots. Throughout our results we show that Convolutional Autoencoders manages to slightly outperform the rest of the approaches due to its powerful internal representation learning abilities. Moreover, we show that Gaussian Mixture models produce better results than K-Means on average due to its flexibility in capturing different clusters. We also show the huge difference in the difficulties of classifying different types of pathology textures.