



Abstract:The growth of the data science field requires better tools to understand such a fast-paced growing domain. Moreover, individuals from different backgrounds became interested in following a career as data scientists. Therefore, providing a quantitative guide for individuals and organizations to understand the skills required in the job market would be crucial. This paper introduces a framework to analyze the job market for data science-related jobs within the US while providing an interface to access insights in this market. The proposed framework includes three sub-modules allowing continuous data collection, information extraction, and a web-based dashboard visualization to investigate the spatial and temporal distribution of data science-related jobs and skills. The result of this work shows important skills for the main branches of data science jobs and attempts to provide a skill-based definition of these data science branches. The current version of this application is deployed on the web and allows individuals and institutes to investigate skills required for data science positions through the industry lens.




Abstract:Activity recognition using built-in sensors in smart and wearable devices provides great opportunities to understand and detect human behavior in the wild and gives a more holistic view of individuals' health and well being. Numerous computational methods have been applied to sensor streams to recognize different daily activities. However, most methods are unable to capture different layers of activities concealed in human behavior. Also, the performance of the models starts to decrease with increasing the number of activities. This research aims at building a hierarchical classification with Neural Networks to recognize human activities based on different levels of abstraction. We evaluate our model on the Extrasensory dataset; a dataset collected in the wild and containing data from smartphones and smartwatches. We use a two-level hierarchy with a total of six mutually exclusive labels namely, "lying down", "sitting", "standing in place", "walking", "running", and "bicycling" divided into "stationary" and "non-stationary". The results show that our model can recognize low-level activities (stationary/non-stationary) with 95.8% accuracy and overall accuracy of 92.8% over six labels. This is 3% above our best performing baseline.




Abstract:Chronic kidney disease (CKD) is a gradual loss of renal function over time, and it increases the risk of mortality, decreased quality of life, as well as serious complications. The prevalence of CKD has been increasing in the last couple of decades, which is partly due to the increased prevalence of diabetes and hypertension. To accurately detect CKD in diabetic patients, we propose a novel framework to learn sparse longitudinal representations of patients' medical records. The proposed method is also compared with widely used baselines such as Aggregated Frequency Vector and Bag-of-Pattern in Sequences on real EHR data, and the experimental results indicate that the proposed model achieves higher predictive performance. Additionally, the learned representations are interpreted and visualized to bring clinical insights.




Abstract:Image classification is central to the big data revolution in medicine. Improved information processing methods for diagnosis and classification of digital medical images have shown to be successful via deep learning approaches. As this field is explored, there are limitations to the performance of traditional supervised classifiers. This paper outlines an approach that is different from the current medical image classification tasks that view the issue as multi-class classification. We performed a hierarchical classification using our Hierarchical Medical Image classification (HMIC) approach. HMIC uses stacks of deep learning models to give particular comprehension at each level of the clinical picture hierarchy. For testing our performance, we use biopsy of the small bowel images that contain three categories in the parent level (Celiac Disease, Environmental Enteropathy, and histologically normal controls). For the child level, Celiac Disease Severity is classified into 4 classes (I, IIIa, IIIb, and IIIC).




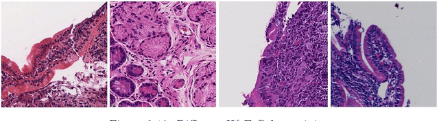
Abstract:Celiac Disease (CD) and Environmental Enteropathy (EE) are common causes of malnutrition and adversely impact normal childhood development. Both conditions require a tissue biopsy for diagnosis and a major challenge of interpreting clinical biopsy images to differentiate between these gastrointestinal diseases is striking histopathologic overlap between them. In the current study, we propose four diagnosis techniques for these diseases and address their limitations and advantages. First, the diagnosis between CD, EE, and Normal biopsies is considered, but the main challenge with this diagnosis technique is the staining problem. The dataset used in this research is collected from different centers with different staining standards. To solve this problem, we use color balancing in order to train our model with a varying range of colors. Random Multimodel Deep Learning (RMDL) architecture has been used as another approach to mitigate the effects of the staining problem. RMDL combines different architectures and structures of deep learning and the final output of the model is based on the majority vote. CD is a chronic autoimmune disease that affects the small intestine genetically predisposed children and adults. Typically, CD rapidly progress from Marsh I to IIIa. Marsh III is sub-divided into IIIa (partial villus atrophy), Marsh IIIb (subtotal villous atrophy), and Marsh IIIc (total villus atrophy) to explain the spectrum of villus atrophy along with crypt hypertrophy and increased intraepithelial lymphocytes. In the second part of this study, we proposed two ways for diagnosing different stages of CD. Finally, in the third part of this study, these two steps are combined as Hierarchical Medical Image Classification (HMIC) to have a model to diagnose the disease data hierarchically.




Abstract:Analyzing the ever-increasing volume of posts on social media sites such as Facebook and Twitter requires improved information processing methods for profiling authorship. Document classification is central to this task, but the performance of traditional supervised classifiers has degraded as the volume of social media has increased. This paper addresses this problem in the context of gender detection through ensemble classification that employs multi-model deep learning architectures to generate specialized understanding from different feature spaces.




Abstract:Online propaganda is central to the recruitment strategies of extremist groups and in recent years these efforts have increasingly extended to women. To investigate ISIS' approach to targeting women in their online propaganda and uncover implications for counterterrorism, we rely on text mining and natural language processing (NLP). Specifically, we extract articles published in Dabiq and Rumiyah (ISIS's online English language publications) to identify prominent topics. To identify similarities or differences between these texts and those produced by non-violent religious groups, we extend the analysis to articles from a Catholic forum dedicated to women. We also perform an emotional analysis of both of these resources to better understand the emotional components of propaganda. We rely on Depechemood (a lexical-base emotion analysis method) to detect emotions most likely to be evoked in readers of these materials. The findings indicate that the emotional appeal of ISIS and Catholic materials are similar




Abstract:Celiac Disease (CD) is a chronic autoimmune disease that affects the small intestine in genetically predisposed children and adults. Gluten exposure triggers an inflammatory cascade which leads to compromised intestinal barrier function. If this enteropathy is unrecognized, this can lead to anemia, decreased bone density, and, in longstanding cases, intestinal cancer. The prevalence of the disorder is 1% in the United States. An intestinal (duodenal) biopsy is considered the "gold standard" for diagnosis. The mild CD might go unnoticed due to non-specific clinical symptoms or mild histologic features. In our current work, we trained a model based on deep residual networks to diagnose CD severity using a histological scoring system called the modified Marsh score. The proposed model was evaluated using an independent set of 120 whole slide images from 15 CD patients and achieved an AUC greater than 0.96 in all classes. These results demonstrate the diagnostic power of the proposed model for CD severity classification using histological images.




Abstract:In recent years, there has been an exponential growth in the number of complex documents and texts that require a deeper understanding of machine learning methods to be able to accurately classify texts in many applications. Many machine learning approaches have achieved surpassing results in natural language processing. The success of these learning algorithms relies on their capacity to understand complex models and non-linear relationships within data. However, finding suitable structures, architectures, and techniques for text classification is a challenge for researchers. In this paper, a brief overview of text classification algorithms is discussed. This overview covers different text feature extractions, dimensionality reduction methods, existing algorithms and techniques, and evaluations methods. Finally, the limitations of each technique and their application in the real-world problem are discussed.




Abstract:Celiac Disease (CD) and Environmental Enteropathy (EE) are common causes of malnutrition and adversely impact normal childhood development. CD is an autoimmune disorder that is prevalent worldwide and is caused by an increased sensitivity to gluten. Gluten exposure destructs the small intestinal epithelial barrier, resulting in nutrient mal-absorption and childhood under-nutrition. EE also results in barrier dysfunction but is thought to be caused by an increased vulnerability to infections. EE has been implicated as the predominant cause of under-nutrition, oral vaccine failure, and impaired cognitive development in low-and-middle-income countries. Both conditions require a tissue biopsy for diagnosis, and a major challenge of interpreting clinical biopsy images to differentiate between these gastrointestinal diseases is striking histopathologic overlap between them. In the current study, we propose a convolutional neural network (CNN) to classify duodenal biopsy images from subjects with CD, EE, and healthy controls. We evaluated the performance of our proposed model using a large cohort containing 1000 biopsy images. Our evaluations show that the proposed model achieves an area under ROC of 0.99, 1.00, and 0.97 for CD, EE, and healthy controls, respectively. These results demonstrate the discriminative power of the proposed model in duodenal biopsies classification.