



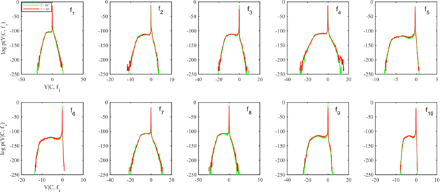
This paper proposes a principled information theoretic analysis of classification for deep neural network structures, e.g. convolutional neural networks (CNN). The output of convolutional filters is modeled as a random variable Y conditioned on the object class C and network filter bank F. The conditional entropy (CENT) H(Y |C,F) is shown in theory and experiments to be a highly compact and class-informative code, that can be computed from the filter outputs throughout an existing CNN and used to obtain higher classification results than the original CNN itself. Experiments demonstrate the effectiveness of CENT feature analysis in two separate CNN classification contexts. 1) In the classification of neurodegeneration due to Alzheimer's disease (AD) and natural aging from 3D magnetic resonance image (MRI) volumes, 3 CENT features result in an AUC=94.6% for whole-brain AD classification, the highest reported accuracy on the public OASIS dataset used and 12% higher than the softmax output of the original CNN trained for the task. 2) In the context of visual object classification from 2D photographs, transfer learning based on a small set of CENT features identified throughout an existing CNN leads to AUC values comparable to the 1000-feature softmax output of the original network when classifying previously unseen object categories. The general information theoretical analysis explains various recent CNN design successes, e.g. densely connected CNN architectures, and provides insights for future research directions in deep learning.