



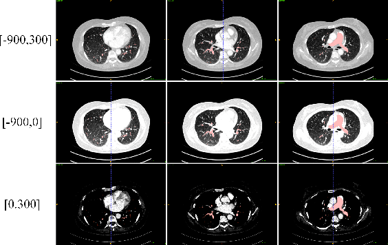
This is the technical report of the 9th place in the final result of PARSE2022 Challenge. We solve the segmentation problem of the pulmonary artery by using a two-stage method based on a 3D CNN network. The coarse model is used to locate the ROI, and the fine model is used to refine the segmentation result. In addition, in order to improve the segmentation performance, we adopt multi-view and multi-window level method, at the same time we employ a fine-tune strategy to mitigate the impact of inconsistent labeling.