



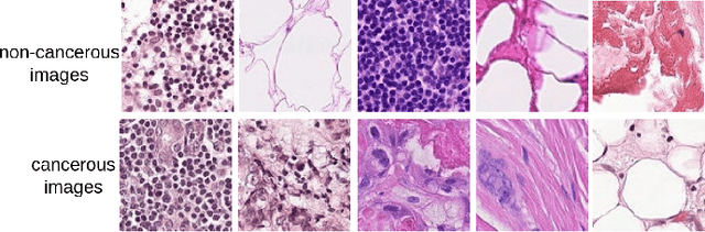
Abstract:We present an effective application of quantum machine learning in histopathological cancer detection. The study here emphasizes two primary applications of hybrid classical-quantum Deep Learning models. The first application is to build a classification model for histopathological cancer detection using the quantum transfer learning strategy. The second application is to test the performance of this model for various adversarial attacks. Rather than using a single transfer learning model, the hybrid classical-quantum models are tested using multiple transfer learning models, especially ResNet18, VGG-16, Inception-v3, and AlexNet as feature extractors and integrate it with several quantum circuit-based variational quantum circuits (VQC) with high expressibility. As a result, we provide a comparative analysis of classical models and hybrid classical-quantum transfer learning models for histopathological cancer detection under several adversarial attacks. We compared the performance accuracy of the classical model with the hybrid classical-quantum model using pennylane default quantum simulator. We also observed that for histopathological cancer detection under several adversarial attacks, Hybrid Classical-Quantum (HCQ) models provided better accuracy than classical image classification models.




Abstract:We present an effective application of quantum machine learning in the field of healthcare. The study here emphasizes on a classification problem of a histopathological cancer detection using quantum transfer learning. Rather than using single transfer learning model, the work model presented here consists of multiple transfer learning models especially ResNet18, VGG-16, Inception-v3, AlexNet and several variational quantum circuits (VQC) with high expressibility. As a result, we provide a comparative analysis of the models and the best performing transfer learning model with the prediction AUC of approximately 93 percent for histopathological cancer detection. We also observed that for 1000 images with Resnet18, Hybrid Quantum and Classical (HQC) provided a slightly better accuracy of 88.5 percent than classical of 88.0 percent.




Abstract:The efficiency and reliability of real-time incident detection models directly impact the affected corridors' traffic safety and operational conditions. The recent emergence of cloud-based quantum computing infrastructure and innovations in noisy intermediate-scale quantum devices have revealed a new era of quantum-enhanced algorithms that can be leveraged to improve real-time incident detection accuracy. In this research, a hybrid machine learning model, which includes classical and quantum machine learning (ML) models, is developed to identify incidents using the connected vehicle (CV) data. The incident detection performance of the hybrid model is evaluated against baseline classical ML models. The framework is evaluated using data from a microsimulation tool for different incident scenarios. The results indicate that a hybrid neural network containing a 4-qubit quantum layer outperforms all other baseline models when there is a lack of training data. We have created three datasets; DS-1 with sufficient training data, and DS-2 and DS-3 with insufficient training data. The hybrid model achieves a recall of 98.9%, 98.3%, and 96.6% for DS-1, DS-2, and DS-3, respectively. For DS-2 and DS-3, the average improvement in F2-score (measures model's performance to correctly identify incidents) achieved by the hybrid model is 1.9% and 7.8%, respectively, compared to the classical models. It shows that with insufficient data, which may be common for CVs, the hybrid ML model will perform better than the classical models. With the continuing improvements of quantum computing infrastructure, the quantum ML models could be a promising alternative for CV-related applications when the available data is insufficient.