



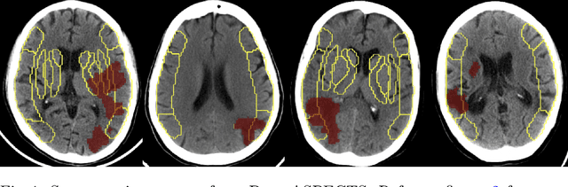
Abstract:A stroke occurs when an artery in the brain ruptures and bleeds or when the blood supply to the brain is cut off. Blood and oxygen cannot reach the brain's tissues due to the rupture or obstruction resulting in tissue death. The Middle cerebral artery (MCA) is the largest cerebral artery and the most commonly damaged vessel in stroke. The quick onset of a focused neurological deficit caused by interruption of blood flow in the territory supplied by the MCA is known as an MCA stroke. Alberta stroke programme early CT score (ASPECTS) is used to estimate the extent of early ischemic changes in patients with MCA stroke. This study proposes a deep learning-based method to score the CT scan for ASPECTS. Our work has three highlights. First, we propose a novel method for medical image segmentation for stroke detection. Second, we show the effectiveness of AI solution for fully-automated ASPECT scoring with reduced diagnosis time for a given non-contrast CT (NCCT) Scan. Our algorithms show a dice similarity coefficient of 0.64 for the MCA anatomy segmentation and 0.72 for the infarcts segmentation. Lastly, we show that our model's performance is inline with inter-reader variability between radiologists.