



Abstract:Tinnitus is a prevalent hearing disorder that can be caused by various factors such as age, hearing loss, exposure to loud noises, ear infections or tumors, certain medications, head or neck injuries, and psychological conditions like anxiety and depression. While not every patient requires medical attention, about 20% of sufferers seek clinical intervention. Early diagnosis is crucial for effective treatment. New developments have been made in tinnitus detection to aid in early detection of this illness. Over the past few years, there has been a notable growth in the usage of electroencephalography (EEG) to study variations in oscillatory brain activity related to tinnitus. However, the results obtained from numerous studies vary greatly, leading to conflicting conclusions. Currently, clinicians rely solely on their expertise to identify individuals with tinnitus. Researchers in this field have incorporated various data modalities and machine-learning techniques to aid clinicians in identifying tinnitus characteristics and classifying people with tinnitus. The purpose of writing this article is to review articles that focus on using machine learning (ML) to identify or predict tinnitus patients using EEG signals as input data. We have evaluated 11 articles published between 2016 and 2023 using a systematic literature review (SLR) method. This article arranges perfect summaries of all the research reviewed and compares the significant aspects of each. Additionally, we performed statistical analyses to gain a deeper comprehension of the most recent research in this area. Almost all of the reviewed articles followed a five-step procedure to achieve the goal of tinnitus. Disclosure. Finally, we discuss the open affairs and challenges in this method of tinnitus recognition or prediction and suggest future directions for research.
Abstract:The most frequent kind of dementia of the nervous system, Alzheimer's disease, weakens several brain processes (such as memory) and eventually results in death. The clinical study uses magnetic resonance imaging to diagnose AD. Deep learning algorithms are capable of pattern recognition and feature extraction from the inputted raw data. As early diagnosis and stage detection are the most crucial elements in enhancing patient care and treatment outcomes, deep learning algorithms for MRI images have recently allowed for diagnosing a medical condition at the beginning stage and identifying particular symptoms of Alzheimer's disease. As a result, we aimed to analyze five specific studies focused on AD diagnosis using MRI-based deep learning algorithms between 2021 and 2023 in this study. To completely illustrate the differences between these techniques and comprehend how deep learning algorithms function, we attempted to explore selected approaches in depth.
Abstract:Cervical cancer is a prevalent disease affecting millions of women worldwide every year. It requires significant attention, as early detection during the precancerous stage provides an opportunity for a cure. The screening and diagnosis of cervical cancer rely on cytology and colposcopy methods. Deep learning, a promising technology in computer vision, has emerged as a potential solution to improve the accuracy and efficiency of cervical cancer screening compared to traditional clinical inspection methods that are prone to human error. This review article discusses cervical cancer and its screening processes, followed by the Deep Learning training process and the classification, segmentation, and detection tasks for cervical cancer diagnosis. Additionally, we explored the most common public datasets used in both cytology and colposcopy and highlighted the popular and most utilized architectures that researchers have applied to both cytology and colposcopy. We reviewed 24 selected practical papers in this study and summarized them. This article highlights the remarkable efficiency in enhancing the precision and speed of cervical cancer analysis by Deep Learning, bringing us closer to early diagnosis and saving lives.




Abstract:Colorectal Cancer (CRC) is the second most common cause of cancer death in the world, ad can be identified by the location of the primary tumor in the large intestine: right and left colon, and rectum. Based on the location, CRC shows differences in chromosomal and molecular characteristics, microbiomes incidence, pathogenesis, and outcome. It has been shown that tumors on left and right sides also have different immune landscape, so the prognosis may be different based on the primary tumor locations. It is widely accepted that immune components of the tumor microenvironment (TME) plays a critical role in tumor development. One of the critical regulatory molecules in the TME is immune checkpoints that as the gatekeepers of immune responses regulate the infiltrated immune cell functions. Inhibitory immune checkpoints such as PD-1, Tim3, and LAG3, as the main mechanism of immune suppression in TME overexpressed and result in further development of the tumor. The images of this dataset have been taken from colon tissues of patients with CRC, stained with specific antibodies for CD3, CD8, CD45RO, PD-1, LAG3 and Tim3. The name of this dataset is CRC-ICM and contains 1756 images related to 136 patients. The initial version of CRC-ICM is published on Elsevier Mendeley dataset portal, and the latest version is accessible via: https://databiox.com
Abstract:Gastrointestinal mucosal changes can cause cancers after some years and early diagnosing them can be very useful to prevent cancers and early treatment. In this article, 8 classes of mucosal changes and anatomical landmarks including Polyps, Ulcerative Colitis, Esophagitis, Normal Z-Line, Normal Pylorus, Normal Cecum, Dyed Lifted Polyps, and Dyed Lifted Margin were predicted by deep learning. We used neural networks in this article. It is a black box artificial intelligence algorithm that works like a human neural system. In this article, Transfer Learning (TL) based on the Convolutional Neural Networks (CNNs), which is one of the well-known types of neural networks in image processing is used. We compared some famous CNN architecture including VGG, Inception, Xception, and ResNet. Our best model got 93% accuracy in test images. At last, we used our model in some real endoscopy and colonoscopy movies to classify problems.




Abstract:In the recent years, artificial intelligence (AI) and its leading subtypes, machine learning (ML) and deep learning (DL) and their applications are spreading very fast in various aspects such as medicine. Today the most important challenge of developing accurate algorithms for medical prediction, detection, diagnosis, treatment and prognosis is data. ERCPMP is an Endoscopic Image and Video Dataset for Recognition of Colorectal Polyps Morphology and Pathology. This dataset contains demographic, morphological and pathological data, endoscopic images and videos of 191 patients with colorectal polyps. Morphological data is included based on the latest international gastroenterology classification references such as Paris, Pit and JNET classification. Pathological data includes the diagnosis of the polyps including Tubular, Villous, Tubulovillous, Hyperplastic, Serrated, Inflammatory and Adenocarcinoma with Dysplasia Grade & Differentiation. The current version of this dataset is published and available on Elsevier Mendeley Dataverse and since it is under development, the latest version is accessible via: https://databiox.com.
Abstract:Machine learning is employed in healthcare to draw approximate conclusions regarding human diseases and mental health problems. Compared to older traditional methods, it can help to analyze data more efficiently and produce better and more dependable results. Millions of people are affected by schizophrenia, which is a chronic mental disorder that can significantly impact their lives. Many machine learning algorithms have been developed to predict and prevent this disease, and they can potentially be implemented in the diagnosis of individuals who have it. This survey aims to review papers that have focused on the use of deep learning to detect and predict schizophrenia using EEG signals, functional magnetic resonance imaging (fMRI), and diffusion magnetic resonance imaging (dMRI). With our chosen search strategy, we assessed ten publications from 2019 to 2022. All studies achieved successful predictions of more than 80%. This review provides summaries of the studies and compares their notable aspects. In the field of artificial intelligence (AI) and machine learning (ML) for schizophrenia, significant advances have been made due to the availability of ML tools, and we are optimistic that this field will continue to grow.
Abstract:Owing to the invasiveness and low accuracy of other tests, including biopsy and ferritin levels, magnetic resonance imaging (T2 and T2*-MRI) has been considered the standard test for patients with thalassemia (THM). Regarding deep learning networks in medical sciences for improving diagnosis and treatment purposes and the existence of minimal resources for them, we decided to provide a set of magnetic resonance images of the cardiac and hepatic organs. The dataset included 124 patients (67 women and 57 men) with a THM age range of (5-52) years. In addition, patients were divided into two groups: with follow-up (1-5 times) at time intervals of about (5-6) months and without follow-up. Also, T2* and, R2* values, the results of the cardiac and hepatic report (normal, mild, moderate, severe, and very severe), and laboratory tests including Ferritin, Bilirubin (D, and T), AST, ALT, and ALP levels were provided as an Excel file. This dataset CHMMOTv1) has been published in Mendeley Dataverse and is accessible through the web at: http://databiox.com.
Abstract:It has long been known that photonic science and especially photonic communications can raise the speed of technologies and producing manufacturing. More recently, photonic science has also been interested in its capabilities to implement low-precision linear operations, such as matrix multiplications, fast and effciently. For a long time most scientists taught that Electronics is the end of science but after many years and about 35 years ago had been understood that electronics do not answer alone and should have a new science. Today we face modern ways and instruments for doing tasks as soon as possible in proportion to many decays before. The velocity of progress in science is very fast. All our progress in science area is dependent on modern knowledge about new methods. In this research, we want to review the concept of a photonic neural network. For this research was selected 18 main articles were among the main 30 articles on this subject from 2015 to the 2022 year. These articles noticed three principles: 1- Experimental concepts, 2- Theoretical concepts, and, finally 3- Mathematic concepts. We should be careful with this research because mathematics has a very important and constructive role in our topics! One of the topics that are very valid and also new, is simulation. We used to work with simulation in some parts of this research. First, briefly, we start by introducing photonics and neural networks. In the second we explain the advantages and disadvantages of a combination of both in the science world and industries and technologies about them. Also, we are talking about the achievements of a thin modern science. Third, we try to introduce some important and valid parameters in neural networks. In this manner, we use many mathematic tools in some portions of this article.


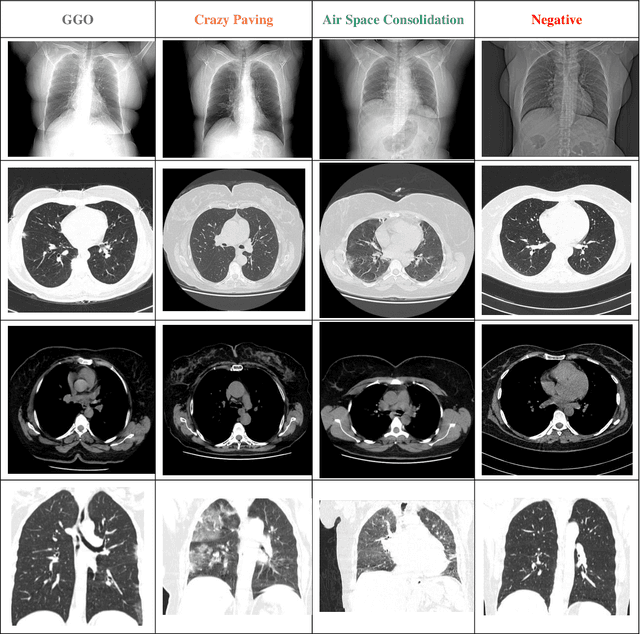
Abstract:During the COVID-19 pandemic, computed tomography (CT) is a good way to diagnose COVID-19 patients. HRCT (High-Resolution Computed Tomography) is a form of computed tomography that uses advanced methods to improve image resolution. Publicly accessible COVID-19 CT image datasets are very difficult to come by due to privacy concerns, which impedes the study and development of AI-powered COVID-19 diagnostic algorithms based on CT images. To address this problem, we have introduced HRCTv1-COVID-19, a new COVID-19 high resolution chest CT Scan image dataset that includes not only COVID-19 cases of Ground Glass Opacity (GGO), Crazy Paving, and Air Space Consolidation, but also CT images of cases with negative COVID-19. The HRCTv1-COVID-19 dataset, which includes slice-level, and patient-level labels, has the potential to aid COVID-19 research, especially for diagnosis and differentiation using artificial intelligence algorithms, machine learning and deep learning methods. This dataset is accessible through web at: http://databiox.com and includes 181,106 chest HRCT images from 395 patients with four labels: GGO, Crazy Paving, Air Space Consolidation and Negative. Keywords- Dataset, COVID-19, CT-Scan, Computed Tomography, Medical Imaging, Chest Image.