



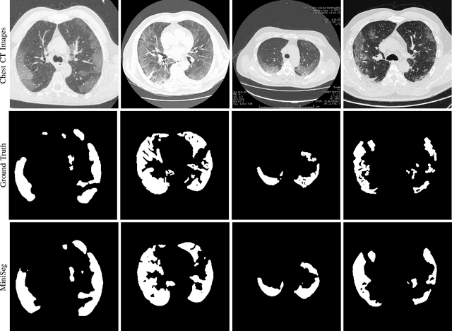
The rapid spread of the new pandemic, coronavirus disease 2019 (COVID-19), has seriously threatened global health. The gold standard for COVID-19 diagnosis is the tried-and-true polymerase chain reaction (PCR), but PCR is a laborious, time-consuming and complicated manual process that is in short supply. Deep learning based computer-aided screening, e.g., infection segmentation, is thus viewed as an alternative due to its great successes in medical imaging. However, the publicly available COVID-19 training data are limited, which would easily cause overfitting of traditional deep learning methods that are usually data-hungry with millions of parameters. On the other hand, fast training/testing and low computational cost are also important for quick deployment and development of computer-aided COVID-19 screening systems, but traditional deep learning methods, especially for image segmentation, are usually computationally intensive. To address the above problems, we propose MiniSeg, a lightweight deep learning model for efficient COVID-19 segmentation. Compared with traditional segmentation methods, MiniSeg has several significant strengths: i) it only has 472K parameters and is thus not easy to overfit; ii) it has high computational efficiency and is thus convenient for practical deployment; iii) it can be fast retrained by other users using their private COVID-19 data for further improving performance. In addition, we build a comprehensive COVID-19 segmentation benchmark for comparing MiniSeg with traditional methods. Code and models will be released to promote the research and practical deployment for computer-aided COVID-19 screening.