



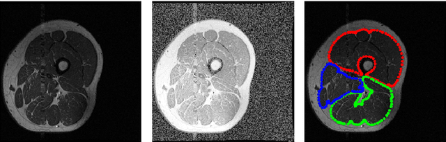
Image segmentation is a crucial but challenging task that has many applications. In medical imaging for instance, intensity inhomogeneity and noise are common. In thigh muscle images, different muscles are closed packed together and there are often no clear boundaries between them. Intensity based segmentation models cannot separate one muscle from another. To solve such problems, in this work we present a segmentation model with adaptive spatial priors from joint registration. This model combines segmentation and registration in a unified framework to leverage their positive mutual influence. The segmentation is based on a modified Gaussian mixture model (GMM), which integrates intensity inhomogeneity and spacial smoothness. The registration plays the role of providing a shape prior. We adopt a modified sum of squared difference (SSD) fidelity term and Tikhonov regularity term for registration, and also utilize Gaussian pyramid and parametric method for robustness. The connection between segmentation and registration is guaranteed by the cross entropy metric that aims to make the segmentation map (from segmentation) and deformed atlas (from registration) as similar as possible. This joint framework is implemented within a constraint optimization framework, which leads to an efficient algorithm. We evaluate our proposed model on synthetic and thigh muscle MR images. Numerical results show the improvement as compared to segmentation and registration performed separately and other joint models.