



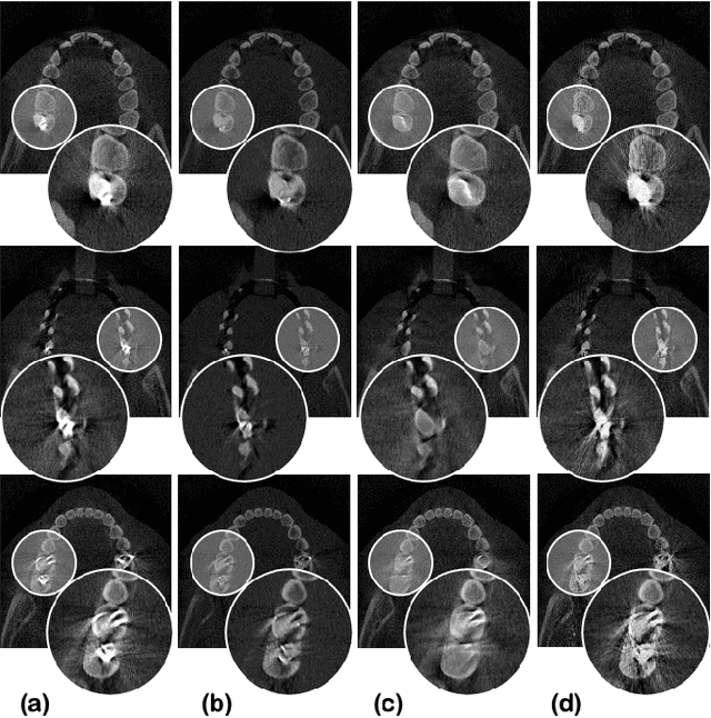
Metal artifact reduction (MAR) is one of the most important research topics in computed tomography (CT). With the advance of deep learning technology for image reconstruction,various deep learning methods have been also suggested for metal artifact removal, among which supervised learning methods are most popular. However, matched non-metal and metal image pairs are difficult to obtain in real CT acquisition. Recently, a promising unsupervised learning for MAR was proposed using feature disentanglement, but the resulting network architecture is complication and difficult to handle large size clinical images. To address this, here we propose a much simpler and much effective unsupervised MAR method for CT. The proposed method is based on a novel beta-cycleGAN architecture derived from the optimal transport theory for appropriate feature space disentanglement. Another important contribution is to show that attention mechanism is the key element to effectively remove the metal artifacts. Specifically, by adding the convolutional block attention module (CBAM) layers with a proper disentanglement parameter, experimental results confirm that we can get more improved MAR that preserves the detailed texture of the original image.