



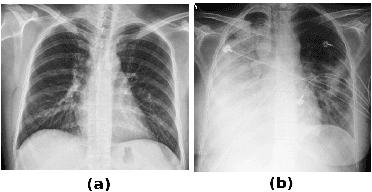
Pulmonary opacification is the inflammation in the lungs caused by many respiratory ailments, including the novel corona virus disease 2019 (COVID-19). Chest X-rays (CXRs) with such opacifications render regions of lungs imperceptible, making it difficult to perform automated image analysis on them. In this work, we focus on segmenting lungs from such abnormal CXRs as part of a pipeline aimed at automated risk scoring of COVID-19 from CXRs. We treat the high opacity regions as missing data and present a modified CNN-based image segmentation network that utilizes a deep generative model for data imputation. We train this model on normal CXRs with extensive data augmentation and demonstrate the usefulness of this model to extend to cases with extreme abnormalities.