Abstract:Scientific articles play a crucial role in advancing knowledge and informing research directions. One key aspect of evaluating scientific articles is the analysis of citations, which provides insights into the impact and reception of the cited works. This article introduces the innovative use of large language models, particularly ChatGPT, for comprehensive sentiment analysis of citations within scientific articles. By leveraging advanced natural language processing (NLP) techniques, ChatGPT can discern the nuanced positivity or negativity of citations, offering insights into the reception and impact of cited works. Furthermore, ChatGPT's capabilities extend to detecting potential biases and conflicts of interest in citations, enhancing the objectivity and reliability of scientific literature evaluation. This study showcases the transformative potential of artificial intelligence (AI)-powered tools in enhancing citation analysis and promoting integrity in scholarly research.




Abstract:Hypertension (HPT) refers to a condition where the pressure exerted on the walls of arteries by blood pumped from the heart to the body reaches levels that can lead to various ailments. Annually, a significant number of lives are lost globally due to diseases linked to HPT. Therefore, the early and accurate diagnosis of HPT is of utmost importance. This study aimed to automatically and with minimal error detect patients suffering from HPT by utilizing electrocardiogram (ECG) signals. The research involved the collection of ECG signals from two distinct groups. These groups consisted of ECG data of both five thousand and ten thousand data points in length, respectively. The performance in HPT detection was evaluated using entropy measurements derived from the 5-layer Intrinsic Mode Function(IMF) signals through the application of the Empirical Mode Decomposition method. The resulting performances were compared based on the nine features extracted from each IMF. To summarize, employing the 5-fold cross-validation technique, the most exceptional accuracy rates achieved were 99.9991% and 99.9989% for ECG data of lengths five thousand and ten thousand,respectively, using decision tree algorithms. These remarkable performance results indicate the potential usefulness of this method in assisting medical professionals to identify individuals with HPT.
Abstract:Large language models have revolutionized the field of artificial intelligence and have been used in various applications. Among these models, ChatGPT (Chat Generative Pre-trained Transformer) has been developed by OpenAI, it stands out as a powerful tool that has been widely adopted. ChatGPT has been successfully applied in numerous areas, including chatbots, content generation, language translation, personalized recommendations, and even medical diagnosis and treatment. Its success in these applications can be attributed to its ability to generate human-like responses, understand natural language, and adapt to different contexts. Its versatility and accuracy make it a powerful tool for natural language processing (NLP). However, there are also limitations to ChatGPT, such as its tendency to produce biased responses and its potential to perpetuate harmful language patterns. This article provides a comprehensive overview of ChatGPT, its applications, advantages, and limitations. Additionally, the paper emphasizes the importance of ethical considerations when using this robust tool in real-world scenarios. Finally, This paper contributes to ongoing discussions surrounding artificial intelligence and its impact on vision and NLP domains by providing insights into prompt engineering techniques.




Abstract:Facial expressions recognition (FER) of 3D face scans has received a significant amount of attention in recent years. Most of the facial expression recognition methods have been proposed using mainly 2D images. These methods suffer from several issues like illumination changes and pose variations. Moreover, 2D mapping from 3D images may lack some geometric and topological characteristics of the face. Hence, to overcome this problem, a multi-modal 2D + 3D feature-based method is proposed. We extract shallow features from the 3D images, and deep features using Convolutional Neural Networks (CNN) from the transformed 2D images. Combining these features into a compact representation uses covariance matrices as descriptors for both features instead of single-handedly descriptors. A covariance matrix learning is used as a manifold layer to reduce the deep covariance matrices size and enhance their discrimination power while preserving their manifold structure. We then use the Bag-of-Features (BoF) paradigm to quantize the covariance matrices after flattening. Accordingly, we obtained two codebooks using shallow and deep features. The global codebook is then used to feed an SVM classifier. High classification performances have been achieved on the BU-3DFE and Bosphorus datasets compared to the state-of-the-art methods.




Abstract:The coronavirus disease (COVID-19) is an unparalleled crisis leading to a huge number of casualties and security problems. In order to reduce the spread of coronavirus, people often wear masks to protect themselves. This makes face recognition a very difficult task since certain parts of the face are hidden. A primary focus of researchers during the ongoing coronavirus pandemic is to come up with suggestions to handle this problem through rapid and efficient solutions. In this paper, we propose a reliable method based on occlusion removal and deep learning-based features in order to address the problem of the masked face recognition process. The first step is to remove the masked face region. Next, we apply three pre-trained deep Convolutional Neural Networks (CNN) namely, VGG-16, AlexNet, and ResNet-50, and use them to extract deep features from the obtained regions (mostly eyes and forehead regions). The Bag-of-features paradigm is then applied to the feature maps of the last convolutional layer in order to quantize them and to get a slight representation comparing to the fully connected layer of classical CNN. Finally, Multilayer Perceptron (MLP) is applied for the classification process. Experimental results on Real-World-Masked-Face-Dataset show high recognition performance compared to other state-of-the-art methods.




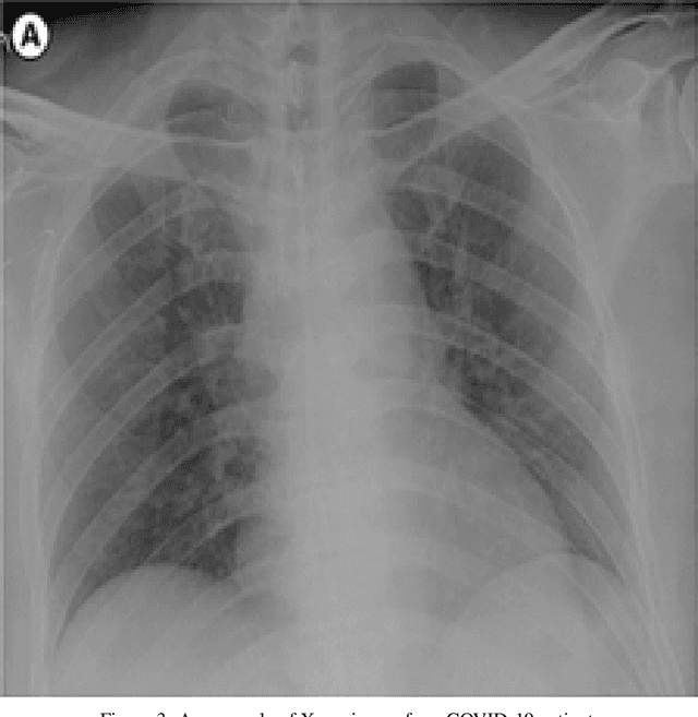
Abstract:The new coronavirus disease (COVID-19) has been declared a pandemic since March 2020 by the World Health Organization. It consists of an emerging viral infection with respiratory tropism that could develop atypical pneumonia. Experts emphasize the importance of early detection of those who have the COVID-19 virus. In this way, patients will be isolated from other people and the spread of the virus can be prevented. For this reason, it has become an area of interest to develop early diagnosis and detection methods to ensure a rapid treatment process and prevent the virus from spreading. Since the standard testing system is time-consuming and not available for everyone, alternative early-screening techniques have become an urgent need. In this study, the approaches used in the detection of COVID-19 based on deep learning (DL) algorithms, which have been popular in recent years, have been comprehensively discussed. The advantages and disadvantages of different approaches used in literature are examined in detail. The Computed Tomography of the chest and X-ray images give a rich representation of the patient's lung that is less time-consuming and allows an efficient viral pneumonia detection using the DL algorithms. The first step is the pre-processing of these images to remove noise. Next, deep features are extracted using multiple types of deep models (pre-trained models, generative models, generic neural networks, etc). Finally, the classification is performed using the obtained features to decide whether the patient is infected by coronavirus or it is another lung disease. In this study, we also give a brief review of the latest applications of cough analysis to early screen the COVID-19, and human mobility estimation to limit its spread.