



Abstract:Hypertension (HPT) refers to a condition where the pressure exerted on the walls of arteries by blood pumped from the heart to the body reaches levels that can lead to various ailments. Annually, a significant number of lives are lost globally due to diseases linked to HPT. Therefore, the early and accurate diagnosis of HPT is of utmost importance. This study aimed to automatically and with minimal error detect patients suffering from HPT by utilizing electrocardiogram (ECG) signals. The research involved the collection of ECG signals from two distinct groups. These groups consisted of ECG data of both five thousand and ten thousand data points in length, respectively. The performance in HPT detection was evaluated using entropy measurements derived from the 5-layer Intrinsic Mode Function(IMF) signals through the application of the Empirical Mode Decomposition method. The resulting performances were compared based on the nine features extracted from each IMF. To summarize, employing the 5-fold cross-validation technique, the most exceptional accuracy rates achieved were 99.9991% and 99.9989% for ECG data of lengths five thousand and ten thousand,respectively, using decision tree algorithms. These remarkable performance results indicate the potential usefulness of this method in assisting medical professionals to identify individuals with HPT.



Abstract:The disease called the new coronavirus (COVID19) is a new viral respiratory disease that first appeared on January 13, 2020 in Wuhan, China. Some of the symptoms of this disease are fever, cough, shortness of breath and difficulty in breathing. In more serious cases, death may occur as a result of infection. COVID19 emerged as a pandemic that affected the whole world in a little while. The most important issue in the fight against the epidemic is the early diagnosis and follow-up of COVID19 (+) patients. Therefore, in addition to the RT-PCR test, medical imaging methods are also used when identifying COVID 19 (+) patients. In this study, an alternative approach was proposed using cough data, one of the most prominent symptoms of COVID19 (+) patients. The performances of z-normalization and min-max normalization methods were investigated on these data. All features were obtained using discrete wavelet transform method. Support vector machines (SVM) was used as classifier algorithm. The highest performances of accuracy and F1-score were obtained as 100% and 100% using the min-max normalization, respectively. On the other hand, the highest accuracy and highest F1-score performances were obtained as 99.2 % and 99.0 % using the z-normalization, respectively. In light of the results, it is clear that cough acoustic data will contribute significantly to controlling COVID19 cases.




Abstract:The epidemic disease, called the new coronavirus (COVID19), firstly occurred in Wuhan, China in December 2019. COVID19 was announced as an epidemic by World Health Organization soon after. Some of the symptoms of this disease are fever, cough, shortness of breath and difficulty in breathing. In more severe cases, death may occur as a result of infection. The most significant question in fighting the pandemic and controlling the epidemic is the early diagnosis of COVID19(+) patients and the follow-up of these patients. Therefore, various diagnostic mechanisms are used. Additionally to the RT-PCR test, medical imaging methods have been utilized, especially in the detection of COVID19(+) patients. In this study, an alternative approach was proposed by using cough data, which is one of the most prominent symptoms of COVID19(+) patients. The cough acoustic public dataset on the Virufy website was used. The entire data was normalized using z-normalization technique. The performance of the features obtained via the 5-layer empirical mode decomposition method and the performances of different classifiers has been compared. As the classifier algorithm, 5 different algorithms were used. The highest accuracy and F1-score performances were obtained by using Ensemble-Bagged-Trees algorithm as 90.6% and 90.5%, respectively. On the other hand, other classification algorithms used in the study are Support Vector Machines, Logistic Regression, Linear Discriminant Analysis and k-Nearest Neigbors, respectively. According to the results obtained, choosing the right classifier algorithm provides high results. Thus, it is clear that using cough acoustic data, those with COVID19(+) can be detected easily and effectively.




Abstract:The new coronavirus disease (COVID-19) has been declared a pandemic since March 2020 by the World Health Organization. It consists of an emerging viral infection with respiratory tropism that could develop atypical pneumonia. Experts emphasize the importance of early detection of those who have the COVID-19 virus. In this way, patients will be isolated from other people and the spread of the virus can be prevented. For this reason, it has become an area of interest to develop early diagnosis and detection methods to ensure a rapid treatment process and prevent the virus from spreading. Since the standard testing system is time-consuming and not available for everyone, alternative early-screening techniques have become an urgent need. In this study, the approaches used in the detection of COVID-19 based on deep learning (DL) algorithms, which have been popular in recent years, have been comprehensively discussed. The advantages and disadvantages of different approaches used in literature are examined in detail. The Computed Tomography of the chest and X-ray images give a rich representation of the patient's lung that is less time-consuming and allows an efficient viral pneumonia detection using the DL algorithms. The first step is the pre-processing of these images to remove noise. Next, deep features are extracted using multiple types of deep models (pre-trained models, generative models, generic neural networks, etc). Finally, the classification is performed using the obtained features to decide whether the patient is infected by coronavirus or it is another lung disease. In this study, we also give a brief review of the latest applications of cough analysis to early screen the COVID-19, and human mobility estimation to limit its spread.




Abstract:Cancer disease is one of the leading causes of death all over the world. Breast cancer, which is a common cancer disease especially in women, is quite common. The most important tool used for early detection of this cancer type, which requires a long process to establish a definitive diagnosis, is histopathological images taken by biopsy. These obtained images are examined by pathologists and a definitive diagnosis is made. It is quite common to detect this process with the help of a computer. Detection of benign or malignant tumors, especially by using data with different magnification rates, takes place in the literature. In this study, two different balanced and unbalanced study groups have been formed by using the histopathological data in the BreakHis data set. We have examined how the performances of balanced and unbalanced data sets change in detecting tumor type. In conclusion, in the study performed using the InceptionV3 convolution neural network model, 93.55% accuracy, 99.19% recall and 87.10% specificity values have been obtained for balanced data, while 89.75% accuracy, 82.89% recall and 91.51% specificity values have been obtained for unbalanced data. According to the results obtained in two different studies, the balance of the data increases the overall performance as well as the detection performance of both benign and malignant tumors. It can be said that the model trained with the help of data sets created in a balanced way will give pathology specialists higher and accurate results.




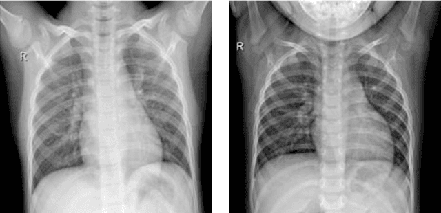
Abstract:The new coronavirus 2019, also known as COVID19, is a very serious epidemic that has killed thousands or even millions of people since December 2019. It was defined as a pandemic by the world health organization in March 2020. It is stated that this virus is usually transmitted by droplets caused by sneezing or coughing, or by touching infected surfaces. The presence of the virus is detected by real-time reverse transcriptase polymerase chain reaction (rRT-PCR) tests with the help of a swab taken from the nose or throat. In addition, X-ray and CT imaging methods are also used to support this method. Since it is known that the accuracy sensitivity in rRT-PCR test is low, auxiliary diagnostic methods have a very important place. Computer-aided diagnosis and detection systems are developed especially with the help of X-ray and CT images. Studies on the detection of COVID19 in the literature are increasing day by day. In this study, the effect of different batch size (BH=3, 10, 20, 30, 40, and 50) parameter values on their performance in detecting COVID19 and other classes was investigated using data belonging to 4 different (Viral Pneumonia, COVID19, Normal, Bacterial Pneumonia) classes. The study was carried out using a pre-trained ResNet50 convolutional neural network. According to the obtained results, they performed closely on the training and test data. However, it was observed that the steady state in the test data was delayed as the batch size value increased. The highest COVID19 detection was 95.17% for BH = 3, while the overall accuracy value was 97.97% with BH = 20. According to the findings, it can be said that the batch size value does not affect the overall performance significantly, but the increase in the batch size value delays obtaining stable results.




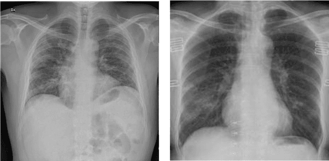
Abstract:Covid-19 is a very serious deadly disease that has been announced as a pandemic by the world health organization (WHO). The whole world is working with all its might to end Covid-19 pandemic, which puts countries in serious health and economic problems, as soon as possible. The most important of these is to correctly identify those who get the Covid-19. Methods and approaches to support the reverse transcription polymerase chain reaction (RT-PCR) test have begun to take place in the literature. In this study, chest X-ray images, which can be accessed easily and quickly, were used because the covid-19 attacked the respiratory systems. Classification performances with support vector machines have been obtained by using the features extracted with residual networks (ResNet-50), one of the convolutional neural network models, from these images. While Covid-19 detection is obtained with support vector machines (SVM)-quadratic with the highest sensitivity value of 96.35% with the 5-fold cross-validation method, the highest overall performance value has been detected with both SVM-quadratic and SVM-cubic above 99%. According to these high results, it is thought that this method, which has been studied, will help radiology specialists and reduce the rate of false detection.




Abstract:The 2019 novel coronavirus (COVID-19), with a starting point in China, has spread rapidly among people living in other countries, and is approaching approximately 305,275 cases worldwide according to the statistics of European Centre for Disease Prevention and Control. There are a limited number of COVID-19 test kits available in hospitals due to the increasing cases daily. Therefore, it is necessary to implement an automatic detection system as a quick alternative diagnosis option to prevent COVID-19 spreading among people. In this study, three different convolutional neural network based models (ResNet50, InceptionV3 and Inception-ResNetV2) have been proposed for the detection of coronavirus pneumonia infected patient using chest X-ray radiographs. ROC analyses and confusion matrices by these three models are given and analyzed using 5-fold cross validation. Considering the performance results obtained, it is seen that the pre-trained ResNet50 model provides the highest classification performance with 98% accuracy among other two proposed models (97% accuracy for InceptionV3 and 87% accuracy for Inception-ResNetV2).