


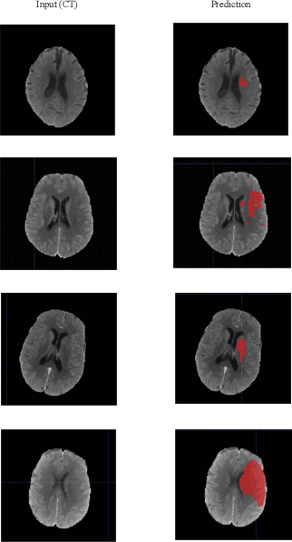
Abstract:Ischemic stroke occurs through a blockage of clogged blood vessels supplying blood to the brain. Segmentation of the stroke lesion is vital to improve diagnosis, outcome assessment and treatment planning. In this work, we propose a segmentation model with adversarial learning for ischemic lesion segmentation. We adopt U-Net with skip connection and dropout as segmentation baseline network and a fully connected network (FCN) as discriminator network. Discriminator network consists of 5 convolution layers followed by leaky-ReLU and an upsampling layer to rescale the output to the size of the input map. Training a segmentation network along with an adversarial network can detect and correct higher order inconsistencies between the segmentation maps produced by ground-truth and the Segmentor. We exploit three modalities (CT, DPWI, CBF) of acute computed tomography (CT) perfusion data provided in ISLES 2018 (Ischemic Stroke Lesion Segmentation) for ischemic lesion segmentation. Our model has achieved dice accuracy of 42.10% with the cross-validation of training and 39% with the testing data.




Abstract:In this work, we develop an attention convolutional neural network (CNN) to segment brain tumors from Magnetic Resonance Images (MRI). Further, we predict the survival rate using various machine learning methods. We adopt a 3D UNet architecture and integrate channel and spatial attention with the decoder network to perform segmentation. For survival prediction, we extract some novel radiomic features based on geometry, location, the shape of the segmented tumor and combine them with clinical information to estimate the survival duration for each patient. We also perform extensive experiments to show the effect of each feature for overall survival (OS) prediction. The experimental results infer that radiomic features such as histogram, location, and shape of the necrosis region and clinical features like age are the most critical parameters to estimate the OS.




Abstract:Segmentation of brain tumor from magnetic resonance imaging (MRI) is a vital process to improve diagnosis, treatment planning and to study the difference between subjects with tumor and healthy subjects. In this paper, we exploit a convolutional neural network (CNN) with hypercolumn technique to segment tumor from healthy brain tissue. Hypercolumn is the concatenation of a set of vectors which form by extracting convolutional features from multiple layers. Proposed model integrates batch normalization (BN) approach with hypercolumn. BN layers help to alleviate the internal covariate shift during stochastic gradient descent (SGD) training by zero-mean and unit variance of each mini-batch. Survival Prediction is done by first extracting features(Geometric, Fractal, and Histogram) from the segmented brain tumor data. Then, the number of days of overall survival is predicted by implementing regression on the extracted features using an artificial neural network (ANN). Our model achieves a mean dice score of 89.78%, 82.53% and 76.54% for the whole tumor, tumor core and enhancing tumor respectively in segmentation task and 67.90% in overall survival prediction task with the validation set of BraTS 2018 challenge. It obtains a mean dice accuracy of 87.315%, 77.04% and 70.22% for the whole tumor, tumor core and enhancing tumor respectively in the segmentation task and a 46.80% in overall survival prediction task in the BraTS 2018 test data set.