



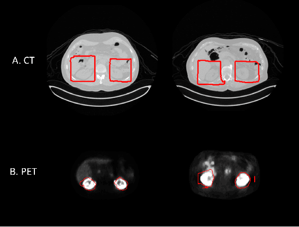
Abstract:Federated learning is increasingly being explored in the field of medical imaging to train deep learning models on large scale datasets distributed across different data centers while preserving privacy by avoiding the need to transfer sensitive patient information. In this manuscript, we explore federated learning in a multi-domain, multi-task setting wherein different participating nodes may contain datasets sourced from different domains and are trained to solve different tasks. We evaluated cross-domain federated learning for the tasks of object detection and segmentation across two different experimental settings: multi-modal and multi-organ. The result from our experiments on cross-domain federated learning framework were very encouraging with an overlap similarity of 0.79 for organ localization and 0.65 for lesion segmentation. Our results demonstrate the potential of federated learning in developing multi-domain, multi-task deep learning models without sharing data from different domains.