Department of Computer Science, University of Abuja, Nigeria




Abstract:This paper explores the current trending research areas in the field of Computer Science (CS) and investigates the factors contributing to their emergence. Leveraging a comprehensive dataset comprising papers, citations, and funding information, we employ advanced machine learning techniques, including Decision Tree and Logistic Regression models, to predict trending research areas. Our analysis reveals that the number of references cited in research papers (Reference Count) plays a pivotal role in determining trending research areas making reference counts the most relevant factor that drives trend in the CS field. Additionally, the influence of NSF grants and patents on trending topics has increased over time. The Logistic Regression model outperforms the Decision Tree model in predicting trends, exhibiting higher accuracy, precision, recall, and F1 score. By surpassing a random guess baseline, our data-driven approach demonstrates higher accuracy and efficacy in identifying trending research areas. The results offer valuable insights into the trending research areas, providing researchers and institutions with a data-driven foundation for decision-making and future research direction.




Abstract:Can we see it all? Do we know it All? These are questions thrown to human beings in our contemporary society to evaluate our tendency to solve problems. Recent studies have explored several models in object detection; however, most have failed to meet the demand for objectiveness and predictive accuracy, especially in developing and under-developed countries. Consequently, several global security threats have necessitated the development of efficient approaches to tackle these issues. This paper proposes an object detection model for cyber-physical systems known as Smart Surveillance Systems (3s). This research proposes a 2-phase approach, highlighting the advantages of YOLO v3 deep learning architecture in real-time and visual object detection. A transfer learning approach was implemented for this research to reduce training time and computing resources. The dataset utilized for training the model is the MS COCO dataset which contains 328,000 annotated image instances. Deep learning techniques such as Pre-processing, Data pipelining, and detection was implemented to improve efficiency. Compared to other novel research models, the proposed model's results performed exceedingly well in detecting WILD objects in surveillance footages. An accuracy of 99.71% was recorded, with an improved mAP of 61.5.




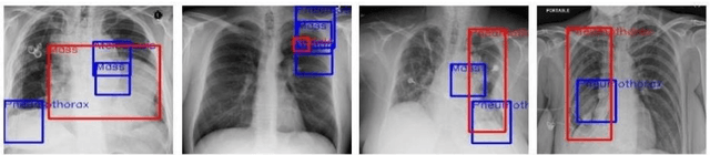
Abstract:Advancements in Telemedicine as an approach to healthcare delivery have heralded a new dawn in modern Medicine. Its fast-paced development in our contemporary society is credence to the advances in Artificial Intelligence and Information Technology. This paper carries out a descriptive study to broadly explore AI's implementations in healthcare delivery with a more holistic view of the usability of various Telemedical Innovations in enhancing Virtual Diagnostic Solutions (VDS). This research further explores notable developments in Deep Learning model optimizations for Virtual Diagnostic Solutions. A further research review on the prospects of Virtual Diagnostic Solutions (VDS) and foreseeable challenges was also highlighted. Conclusively, this research gives a general overview of Artificial Intelligence in Telemedicine with a central focus on Deep Learning-based approaches to Virtual Diagnostic Solutions.




Abstract:The term Big Data has been coined to refer to the gargantuan bulk of data that cannot be dealt with by traditional data-handling techniques. Big Data is still a novel concept, and in the following literature, we intend to elaborate on it in a palpable fashion. It commences with the concept of the subject in itself, along with its properties and the two general approaches to dealing with it. Big Data provides an opportunity for educational Institutions to use their Information Technology resources strategically to improve educational quality, guide students to higher completion rates and improve student persistence and outcomes. This paper explores the attributes of big data that are relevant to educational institutions, investigates the factors influencing the adoption of big data and analytics in learning institutions, and seeks to establish the limiting factors hindering the use of big data in Institutions of higher learning. A survey research design was adopted in conducting this research, and Questionnaires were the instrument employed for data collection.




Abstract:Facial Expression Recognition is a vital research topic in most fields ranging from artificial intelligence and gaming to Human-Computer Interaction (HCI) and Psychology. This paper proposes a hybrid model for Facial Expression recognition, which comprises a Deep Convolutional Neural Network (DCNN) and Haar Cascade deep learning architectures. The objective is to classify real-time and digital facial images into one of the seven facial emotion categories considered. The DCNN employed in this research has more convolutional layers, ReLU Activation functions, and multiple kernels to enhance filtering depth and facial feature extraction. In addition, a haar cascade model was also mutually used to detect facial features in real-time images and video frames. Grayscale images from the Kaggle repository (FER-2013) and then exploited Graphics Processing Unit (GPU) computation to expedite the training and validation process. Pre-processing and data augmentation techniques are applied to improve training efficiency and classification performance. The experimental results show a significantly improved classification performance compared to state-of-the-art (SoTA) experiments and research. Also, compared to other conventional models, this paper validates that the proposed architecture is superior in classification performance with an improvement of up to 6%, totaling up to 70% accuracy, and with less execution time of 2098.8s.