Abstract:Proper segmentation of organs-at-risk is important for radiation therapy, surgical planning, and diagnostic decision-making in medical image analysis. While deep learning-based segmentation architectures have made significant progress, they often fail to balance segmentation accuracy with computational efficiency. Most of the current state-of-the-art methods either prioritize performance at the cost of high computational complexity or compromise accuracy for efficiency. This paper addresses this gap by introducing an efficient dual-line decoder segmentation network (EDLDNet). The proposed method features a noisy decoder, which learns to incorporate structured perturbation at training time for better model robustness, yet at inference time only the noise-free decoder is executed, leading to lower computational cost. Multi-Scale convolutional Attention Modules (MSCAMs), Attention Gates (AGs), and Up-Convolution Blocks (UCBs) are further utilized to optimize feature representation and boost segmentation performance. By leveraging multi-scale segmentation masks from both decoders, we also utilize a mutation-based loss function to enhance the model's generalization. Our approach outperforms SOTA segmentation architectures on four publicly available medical imaging datasets. EDLDNet achieves SOTA performance with an 84.00% Dice score on the Synapse dataset, surpassing baseline model like UNet by 13.89% in Dice score while significantly reducing Multiply-Accumulate Operations (MACs) by 89.7%. Compared to recent approaches like EMCAD, our EDLDNet not only achieves higher Dice score but also maintains comparable computational efficiency. The outstanding performance across diverse datasets establishes EDLDNet's strong generalization, computational efficiency, and robustness. The source code, pre-processed data, and pre-trained weights will be available at https://github.com/riadhassan/EDLDNet .




Abstract:Artificial intelligence (AI) models are increasingly finding applications in the field of medicine. Concerns have been raised about the explainability of the decisions that are made by these AI models. In this article, we give a systematic analysis of explainable artificial intelligence (XAI), with a primary focus on models that are currently being used in the field of healthcare. The literature search is conducted following the preferred reporting items for systematic reviews and meta-analyses (PRISMA) standards for relevant work published from 1 January 2012 to 02 February 2022. The review analyzes the prevailing trends in XAI and lays out the major directions in which research is headed. We investigate the why, how, and when of the uses of these XAI models and their implications. We present a comprehensive examination of XAI methodologies as well as an explanation of how a trustworthy AI can be derived from describing AI models for healthcare fields. The discussion of this work will contribute to the formalization of the XAI field.



Abstract:Federated learning (FL) is a system in which a central aggregator coordinates the efforts of multiple clients to solve machine learning problems. This setting allows training data to be dispersed in order to protect privacy. The purpose of this paper is to provide an overview of FL systems with a focus on healthcare. FL is evaluated here based on its frameworks, architectures, and applications. It is shown here that FL solves the preceding issues with a shared global deep learning (DL) model via a central aggregator server. This paper examines recent developments and provides a comprehensive list of unresolved issues, inspired by the rapid growth of FL research. In the context of FL, several privacy methods are described, including secure multiparty computation, homomorphic encryption, differential privacy, and stochastic gradient descent. Furthermore, a review of various FL classes, such as horizontal and vertical FL and federated transfer learning, is provided. FL has applications in wireless communication, service recommendation, intelligent medical diagnosis systems, and healthcare, all of which are discussed in this paper. We also present a thorough review of existing FL challenges, such as privacy protection, communication cost, system heterogeneity, and unreliable model upload, followed by future research directions.




Abstract:Image registration is a critical component in the applications of various medical image analyses. In recent years, there has been a tremendous surge in the development of deep learning (DL)-based medical image registration models. This paper provides a comprehensive review of medical image registration. Firstly, a discussion is provided for supervised registration categories, for example, fully supervised, dual supervised, and weakly supervised registration. Next, similarity-based as well as generative adversarial network (GAN)-based registration are presented as part of unsupervised registration. Deep iterative registration is then described with emphasis on deep similarity-based and reinforcement learning-based registration. Moreover, the application areas of medical image registration are reviewed. This review focuses on monomodal and multimodal registration and associated imaging, for instance, X-ray, CT scan, ultrasound, and MRI. The existing challenges are highlighted in this review, where it is shown that a major challenge is the absence of a training dataset with known transformations. Finally, a discussion is provided on the promising future research areas in the field of DL-based medical image registration.




Abstract:Background: This paper provides a systematic review of the application of Artificial Intelligence (AI) in the form of Machine Learning (ML) and Deep Learning (DL) techniques in fighting against the effects of novel coronavirus disease (COVID-19). Objective & Methods: The objective is to perform a scoping review on AI for COVID-19 using preferred reporting items of systematic reviews and meta-analysis (PRISMA) guidelines. A literature search was performed for relevant studies published from 1 January 2020 till 27 March 2021. Out of 4050 research papers available in reputed publishers, a full-text review of 440 articles was done based on the keywords of AI, COVID-19, ML, forecasting, DL, X-ray, and Computed Tomography (CT). Finally, 52 articles were included in the result synthesis of this paper. As part of the review, different ML regression methods were reviewed first in predicting the number of confirmed and death cases. Secondly, a comprehensive survey was carried out on the use of ML in classifying COVID-19 patients. Thirdly, different datasets on medical imaging were compared in terms of the number of images, number of positive samples and number of classes in the datasets. The different stages of the diagnosis, including preprocessing, segmentation and feature extraction were also reviewed. Fourthly, the performance results of different research papers were compared to evaluate the effectiveness of DL methods on different datasets. Results: Results show that residual neural network (ResNet-18) and densely connected convolutional network (DenseNet 169) exhibit excellent classification accuracy for X-ray images, while DenseNet-201 has the maximum accuracy in classifying CT scan images. This indicates that ML and DL are useful tools in assisting researchers and medical professionals in predicting, screening and detecting COVID-19.




Abstract:The outbreak of novel coronavirus disease (COVID- 19) has claimed millions of lives and has affected all aspects of human life. This paper focuses on the application of deep learning (DL) models to medical imaging and drug discovery for managing COVID-19 disease. In this article, we detail various medical imaging-based studies such as X-rays and computed tomography (CT) images along with DL methods for classifying COVID-19 affected versus pneumonia. The applications of DL techniques to medical images are further described in terms of image localization, segmentation, registration, and classification leading to COVID-19 detection. The reviews of recent papers indicate that the highest classification accuracy of 99.80% is obtained when InstaCovNet-19 DL method is applied to an X-ray dataset of 361 COVID-19 patients, 362 pneumonia patients and 365 normal people. Furthermore, it can be seen that the best classification accuracy of 99.054% can be achieved when EDL_COVID DL method is applied to a CT image dataset of 7500 samples where COVID-19 patients, lung tumor patients and normal people are equal in number. Moreover, we illustrate the potential DL techniques in drug or vaccine discovery in combating the coronavirus. Finally, we address a number of problems, concerns and future research directions relevant to DL applications for COVID-19.




Abstract:Cybersecurity is a very emerging field that protects systems, networks, and data from digital attacks. With the increase in the scale of the Internet and the evolution of cyber attacks, developing novel cybersecurity tools has become important, particularly for Internet of things (IoT) networks. This paper provides a systematic review of the application of deep learning (DL) approaches for cybersecurity. This paper provides a short description of DL methods which is used in cybersecurity, including deep belief networks, generative adversarial networks, recurrent neural networks, and others. Next, we illustrate the differences between shallow learning and DL. Moreover, a discussion is provided on the currently prevailing cyber-attacks in IoT and other networks, and the effectiveness of DL methods to manage these attacks. Besides, this paper describes studies that highlight the DL technique, cybersecurity applications, and the source of datasets. Next, a discussion is provided on the feasibility of DL systems for malware detection and classification, intrusion detection, and other frequent cyber-attacks, including identifying file type, spam, and network traffic. Our review indicates that high classification accuracy of 99.72% is obtained by restricted Boltzmann machine (RBM) when applied to a custom dataset, while long short-term memory (LSTM) achieves an accuracy of 99.80% for KDD Cup 99 dataset. Finally, this article discusses the importance of cybersecurity for reliable and practicable IoT-driven healthcare systems.




Abstract:Internet of Things (IoT) is being considered as the growth engine for industrial revolution 4.0. The combination of IoT, cloud computing and healthcare can contribute in ensuring well-being of people. One important challenge of IoT network is maintaining privacy and to overcome security threats. This paper provides a systematic review of the security aspects of IoT. Firstly, the application of IoT in industrial and medical service scenarios are described, and the security threats are discussed for the different layers of IoT healthcare architecture. Secondly, different types of existing malware including spyware, viruses, worms, keyloggers, and trojan horses are described in the context of IoT. Thirdly, some of the recent malware attacks such as Mirai, echobot and reaper are discussed. Next, a comparative discussion is presented on the effectiveness of different machine learning algorithms in mitigating the security threats. It is found that the k-nearest neighbor (kNN) machine learning algorithm exhibits excellent accuracy in detecting malware. This paper also reviews different tools for ransomware detection, classification and analysis. Finally, a discussion is presented on the existing security issues, open challenges and possible future scopes in ensuring IoT security.




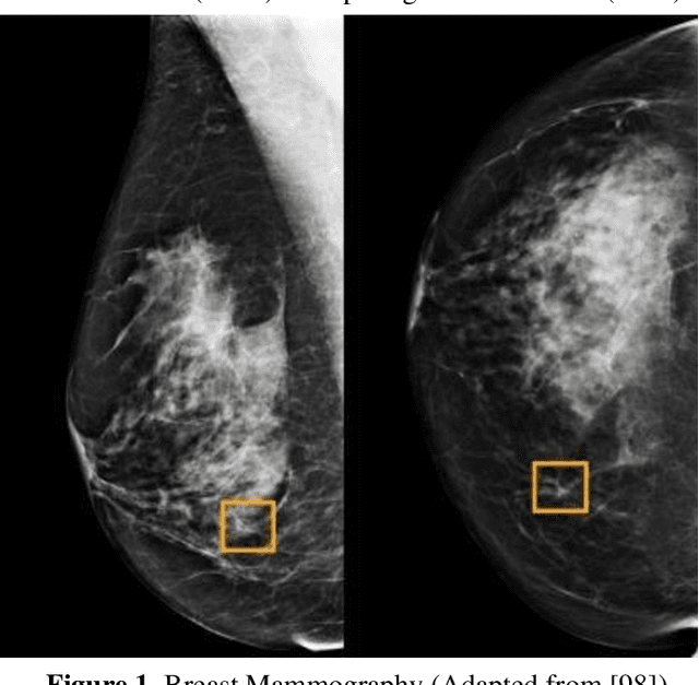
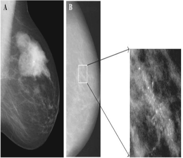
Abstract:Breast cancer is a common fatal disease for women. Early diagnosis and detection is necessary in order to improve the prognosis of breast cancer affected people. For predicting breast cancer, several automated systems are already developed using different medical imaging modalities. This paper provides a systematic review of the literature on artificial neural network (ANN) based models for the diagnosis of breast cancer via mammography. The advantages and limitations of different ANN models including spiking neural network (SNN), deep belief network (DBN), convolutional neural network (CNN), multilayer neural network (MLNN), stacked autoencoders (SAE), and stacked de-noising autoencoders (SDAE) are described in this review. The review also shows that the studies related to breast cancer detection applied different deep learning models to a number of publicly available datasets. For comparing the performance of the models, different metrics such as accuracy, precision, recall, etc. were used in the existing studies. It is found that the best performance was achieved by residual neural network (ResNet)-50 and ResNet-101 models of CNN algorithm.