



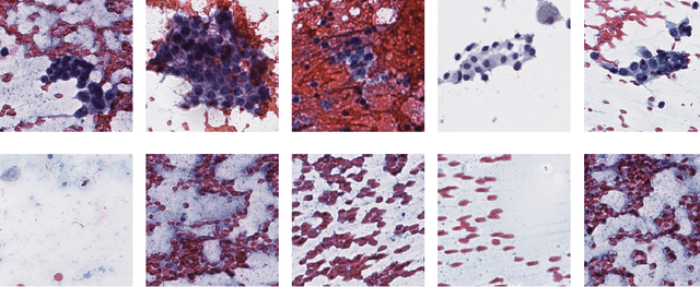
Abstract:We consider preoperative prediction of thyroid cancer based on ultra-high-resolution whole-slide cytopathology images. Inspired by how human experts perform diagnosis, our approach first identifies and classifies diagnostic image regions containing informative thyroid cells, which only comprise a tiny fraction of the entire image. These local estimates are then aggregated into a single prediction of thyroid malignancy. Several unique characteristics of thyroid cytopathology guide our deep-learning-based approach. While our method is closely related to multiple-instance learning, it deviates from these methods by using a supervised procedure to extract diagnostically relevant regions. Moreover, we propose to simultaneously predict thyroid malignancy, as well as a diagnostic score assigned by a human expert, which further allows us to devise an improved training strategy. Experimental results show that the proposed algorithm achieves performance comparable to human experts, and demonstrate the potential of using the algorithm for screening and as an assistive tool for the improved diagnosis of indeterminate cases.