Abstract:Light field technology is a powerful imaging method that captures both the intensity and direction of light rays in a scene, enabling the reconstruction of 3D information and supporting a range of unique applications. However, light fields produce vast amounts of data, making efficient compression essential for their practical use. View synthesis plays a key role in light field technology by enabling the generation of new views, yet its interaction with compression has not been fully explored. In this work, a subjective analysis of the effect of view synthesis on light field compression is conducted. To achieve this, a sparsely sampled light field is created by dropping views from an original light field. Both light fields are then encoded using JPEG Pleno and VVC. View synthesis is then applied to the compressed sampled light field to reconstruct the same number of views as the original. The subjective evaluation follows the proposed JPEG AIC-3 test methodology designed to assess the quality of high-fidelity compressed images. This test consists of two test stimuli displayed side-by-side, each alternating between an original and a coded view, creating a flicker effect on both sides. The user must choose which side has the stronger flicker and, therefore, the lower quality. Using these subjective results, a selection of metrics is validated.
Abstract:Full-reference point cloud objective metrics are currently providing very accurate representations of perceptual quality. These metrics are usually composed of a set of features that are somehow combined, resulting in a final quality value. In this study, the different features of the best-performing metrics are analyzed. For that, different objective quality metrics are compared between them, and the differences in their quality representation are studied. This provided a selection of the set of metrics used in this study, namely the point-to-plane, point-to-attribute, Point Cloud Structural Similarity, Point Cloud Quality Metric and Multiscale Graph Similarity. The features defined in those metrics are examined based on their contribution to the objective estimation using recursive feature elimination. To employ the recursive feature selection algorithm, both the support vector regression and the ridge regression algorithms were employed. For this study, the Broad Quality Assessment of Static Point Clouds in Compression Scenario database was used for both training and validation of the models. According to the recursive feature elimination, several features were selected and then combined using the regression method used to select those features. The best combination models were then evaluated across five different publicly available subjective quality assessment datasets, targeting different point cloud characteristics and distortions. It was concluded that a combination of features selected from the Point Cloud Quality Metric, Multiscale Graph Similarity and PSNR MSE D2, combined with Ridge Regression, results in the best performance. This model leads to the definition of the Feature Selection Model.
Abstract:Typically, point cloud encoders allocate a similar bitrate for geometry and attributes (usually RGB color components) information coding. This paper reports a quality study considering different coding bitrate tradeoff between geometry and attributes. A set of five point clouds, representing different characteristics and types of content was encoded with the MPEG standard Geometry Point Cloud Compression (G-PCC), using octree to encode geometry information, and both the Region Adaptive Hierarchical Transform and the Prediction Lifting transform for attributes. Furthermore, the JPEG Pleno Point Cloud Verification Model was also tested. Five different attributes/geometry bitrate tradeoffs were considered, notably 70%/30%, 60%/40%, 50%/50%, 40%/60%, 30%/70%. Three point cloud objective metrics were selected to assess the quality of the reconstructed point clouds, notably the PSNR YUV, the Point Cloud Quality Metric, and GraphSIM. Furthermore, for each encoder, the Bjonteegaard Deltas were computed for each tradeoff, using the 50%/50% tradeoff as a reference. The reported results indicate that using a higher bitrate allocation for attribute encoding usually yields slightly better results.




Abstract:The quality evaluation of three deep learning-based coding solutions for point cloud geometry, notably ADLPCC, PCC GEO CNNv2, and PCGCv2, is presented. The MPEG G-PCC was used as an anchor. Furthermore, LUT SR, which uses multi-resolution Look-Up tables, was also considered. A set of six point clouds representing landscapes and objects were used. As point cloud texture has a great influence on the perceived quality, two different subjective studies that differ in the texture addition model are reported and statistically compared. In the first experiment, the dataset was first encoded with the identified codecs. Then, the texture of the original point cloud was mapped to the decoded point cloud using the Meshlab software, resulting in a point cloud with both geometry and texture information. Finally, the resulting point cloud was encoded with G-PCC using the lossless-geometry-lossy-atts mode, while in the second experiment the texture was mapped directly onto the distorted geometry. Moreover, both subjective evaluations were used to benchmark a set of objective point cloud quality metrics. The two experiments were shown to be statistically different, and the tested metrics revealed quite different behaviors for the two sets of data. The results reveal that the preferred method of evaluation is the encoding of texture information with G-PCC after mapping the texture of the original point cloud to the distorted point cloud. The results suggest that current objective metrics are not suitable to evaluate distortions created by machine learning-based codecs.
Abstract:This paper reports on a subjective quality evaluation of static point clouds encoded with the MPEG codecs V-PCC and G-PCC, the deep learning-based codec RS-DLPCC, and the popular Draco codec. 18 subjects visualized 3D representations of distorted point clouds using a Head Mounted Display, which allowed for a direct comparison with their reference. The Mean Opinion Scores (MOS) obtained in this subjective evaluation were compared with the MOS from two previous studies, where the same content was visualized either on a 2D display or a 3D stereoscopic display, through the Pearson Correlation, Spearman Rank Order Correlation, Root Mean Square Error, and the Outlier Ratio. The results indicate that the three studies are highly correlated with one another. Moreover, a statistical analysis between all evaluations showed no significant differences between them.
Abstract:Quality assessment is a key element for the evaluation of hardware and software involved in image and video acquisition, processing, and visualization. In the medical field, user-based quality assessment is still considered more reliable than objective methods, which allow the implementation of automated and more efficient solutions. Regardless of increasing research in this topic in the last decade, defining quality standards for medical content remains a non-trivial task, as the focus should be on the diagnostic value assessed from expert viewers rather than the perceived quality from na\"{i}ve viewers, and objective quality metrics should aim at estimating the first rather than the latter. In this paper, we present a survey of methodologies used for the objective quality assessment of medical images and videos, dividing them into visual quality-based and task-based approaches. Visual quality based methods compute a quality index directly from visual attributes, while task-based methods, being increasingly explored, measure the impact of quality impairments on the performance of a specific task. A discussion on the limitations of state-of-the-art research on this topic is also provided, along with future challenges to be addressed.




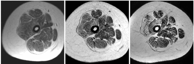
Abstract:Magnetic Resonance Imaging (MRI) is a non-invasive tool for the clinical assessment of low-prevalence neuromuscular disorders. Automated diagnosis methods might reduce the need for biopsies and provide valuable information on disease follow-up. In this paper, three methods are proposed to classify target muscles in Collagen VI-related myopathy cases, based on their degree of involvement, notably a Convolutional Neural Network, a Fully Connected Network to classify texture features, and a hybrid method combining the two feature sets. The proposed methods was evaluated on axial T1-weighted Turbo Spin-Echo MRI from 26 subjects, including Ullrich Congenital Muscular Dystrophy or Bethlem Myopathy patients at different evolution stages. The best results were obtained with the hybrid model, resulting in a global accuracy of 93.8\%, and F-scores of 0.99, 0.82, and 0.95, for healthy, mild and moderate/severe cases, respectively.




Abstract:Segmentation of skeletal muscles in Magnetic Resonance Images (MRI) is essential for the study of muscle physiology and diagnosis of muscular pathologies. However, manual segmentation of large MRI volumes is a time-consuming task. The state-of-the-art on algorithms for muscle segmentation in MRI is still not very extensive and is somewhat database-dependent. In this paper, an automated segmentation method based on AdaBoost classification of local texture features is presented. The texture descriptor consists of the Histogram of Oriented Gradients (HOG), Wavelet-based features, and a set of statistical measures computed from both the original and the Laplacian of Gaussian filtering of the grayscale MRI. The classifier performance suggests that texture analysis may be a helpful tool for designing a generalized and automated MRI muscle segmentation framework. Furthermore, an atlas-based approach to individual muscle segmentation is also described in this paper. The atlas is obtained by overlaying the muscle segmentation ground truth, provided by a radiologist, after image alignment using an appropriate affine transformation. Then, it is used to define the muscle labels upon the AdaBoost binary segmentation. The developed atlas method provides reasonable results when an accurate muscle tissue segmentation was obtained.