



Abstract:State-of-the-art maximum entropy models for texture synthesis are built from statistics relying on image representations defined by convolutional neural networks (CNN). Such representations capture rich structures in texture images, outperforming wavelet-based representations in this regard. However, conversely to neural networks, wavelets offer meaningful representations, as they are known to detect structures at multiple scales (e.g. edges) in images. In this work, we propose a family of statistics built upon non-linear wavelet based representations, that can be viewed as a particular instance of a one-layer CNN, using a generalized rectifier non-linearity. These statistics significantly improve the visual quality of previous classical wavelet-based models, and allow one to produce syntheses of similar quality to state-of-the-art models, on both gray-scale and color textures.




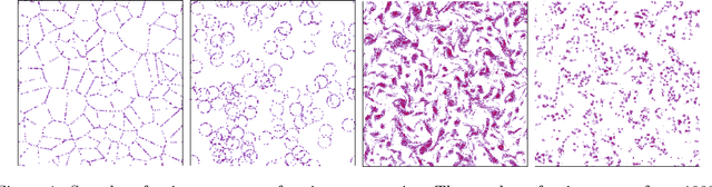
Abstract:This paper introduces a generative model for planar point processes in a square window, built upon a single realization of a stationary, ergodic point process observed in this window. Inspired by recent advances in gradient descent methods for maximum entropy models, we propose a method to generate similar point patterns by jointly moving particles of an initial Poisson configuration towards a target counting measure. The target measure is generated via a deterministic gradient descent algorithm, so as to match a set of statistics of the given, observed realization. Our statistics are estimators of the multi-scale wavelet phase harmonic covariance, recently proposed in image modeling. They allow one to capture geometric structures through multi-scale interactions between wavelet coefficients. Both our statistics and the gradient descent algorithm scale better with the number of observed points than the classical k-nearest neighbour distances previously used in generative models for point processes, based on the rejection sampling or simulated-annealing. The overall quality of our model is evaluated on point processes with various geometric structures through spectral and topological data analysis.

Abstract:We propose a new class of algorithms for randomly scheduling network transmissions. The idea is to use (discrete) determinantal point processes (subsets) to randomly assign medium access to various {\em repulsive} subsets of potential transmitters. This approach can be seen as a natural extension of (spatial) Aloha, which schedules transmissions independently. Under a general path loss model and Rayleigh fading, we show that, similarly to Aloha, they are also subject to elegant analysis of the coverage probabilities and transmission attempts (also known as local delay). This is mainly due to the explicit, determinantal form of the conditional (Palm) distribution and closed-form expressions for the Laplace functional of determinantal processes. Interestingly, the derived performance characteristics of the network are amenable to various optimizations of the scheduling parameters, which are determinantal kernels, allowing the use of techniques developed for statistical learning with determinantal processes. Well-established sampling algorithms for determinantal processes can be used to cope with implementation issues, which is is beyond the scope of this paper, but it creates paths for further research.




Abstract:Motivated by the prediction of cell loads in cellular networks, we formulate the following new, fundamental problem of statistical learning of geometric marks of point processes: An unknown marking function, depending on the geometry of point patterns, produces characteristics (marks) of the points. One aims at learning this function from the examples of marked point patterns in order to predict the marks of new point patterns. To approximate (interpolate) the marking function, in our baseline approach, we build a statistical regression model of the marks with respect some local point distance representation. In a more advanced approach, we use a global data representation via the scattering moments of random measures, which build informative and stable to deformations data representation, already proven useful in image analysis and related application domains. In this case, the regression of the scattering moments of the marked point patterns with respect to the non-marked ones is combined with the numerical solution of the inverse problem, where the marks are recovered from the estimated scattering moments. Considering some simple, generic marks, often appearing in the modeling of wireless networks, such as the shot-noise values, nearest neighbour distance, and some characteristics of the Voronoi cells, we show that the scattering moments can capture similar geometry information as the baseline approach, and can reach even better performance, especially for non-local marking functions. Our results motivate further development of statistical learning tools for stochastic geometry and analysis of wireless networks, in particular to predict cell loads in cellular networks from the locations of base stations and traffic demand.