



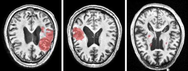
There are considerable interests in automatic stroke lesion segmentation on magnetic resonance (MR) images in the medical imaging field, as strokes are the main cause of various cerebrovascular diseases. Although deep learning-based models have been proposed for this task, generalizing these models to unseen sites is difficult due to not only the large intersite discrepancy among different scanners, imaging protocols, and populations but also the variations in stroke lesion shape, size, and location. Thus, we propose a U-net--based segmentation network termed SG-Net to improve unseen site generalization for stroke lesion segmentation on MR images. Specifically, we first propose masked adaptive instance normalization (MAIN) to minimize intersite discrepancies, standardizing input MR images from different sites into a site-unrelated style by dynamically learning affine parameters from the input. Then, we leverage a gradient reversal layer to force the U-net encoder to learn site-invariant representation, which further improves the model generalization in conjunction with MAIN. Finally, inspired by the "pseudosymmetry" of the human brain, we introduce a simple, yet effective data augmentation technique that can be embedded within SG-Net to double the sample size while halving memory consumption. As a result, stroke lesions from the whole brain can be easily identified within a hemisphere, improving the simplicity of training. Experimental results on the benchmark Anatomical Tracings of Lesions After Stroke (ATLAS) dataset, which includes MR images from 9 different sites, demonstrate that under the "leave-one-site-out" setting, the proposed SG-Net substantially outperforms recently published methods in terms of quantitative metrics and qualitative comparisons.