



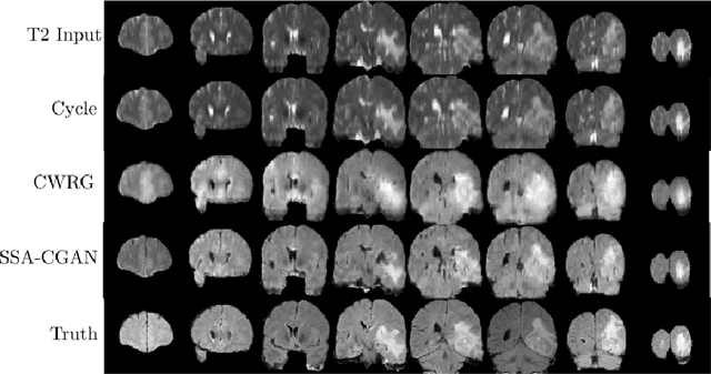
Magnetic Resonance Imaging (MRI) of the brain can come in the form of different modalities such as T1-weighted and Fluid Attenuated Inversion Recovery (FLAIR) which has been used to investigate a wide range of neurological disorders. Current state-of-the-art models for brain tissue segmentation and disease classification require multiple modalities for training and inference. However, the acquisition of all of these modalities are expensive, time-consuming, inconvenient and the required modalities are often not available. As a result, these datasets contain large amounts of \emph{unpaired} data, where examples in the dataset do not contain all modalities. On the other hand, there is smaller fraction of examples that contain all modalities (\emph{paired} data) and furthermore each modality is high dimensional when compared to number of datapoints. In this work, we develop a method to address these issues with semi-supervised learning in translating between two neuroimaging modalities. Our proposed model, Semi-Supervised Adversarial CycleGAN (SSA-CGAN), uses an adversarial loss to learn from \emph{unpaired} data points, cycle loss to enforce consistent reconstructions of the mappings and another adversarial loss to take advantage of \emph{paired} data points. Our experiments demonstrate that our proposed framework produces an improvement in reconstruction error and reduced variance for the pairwise translation of multiple modalities and is more robust to thermal noise when compared to existing methods.