

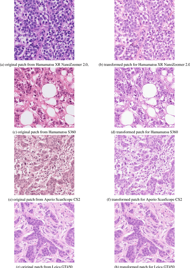
Domain variability is a common bottle neck in developing generalisable algorithms for various medical applications. Motivated by the observation that the domain variability of the medical images is to some extent compact, we propose to learn a target representative feature space through unpaired image to image translation (CycleGAN). We comprehensively evaluate the performanceand usefulness by utilising the transformation to mitosis detection with candidate proposal and classification. This work presents a simple yet effective multi-step mitotic figure detection algorithm developed as a baseline for the MIDOG challenge. On the preliminary test set, the algorithm scoresan F1 score of 0.52.