



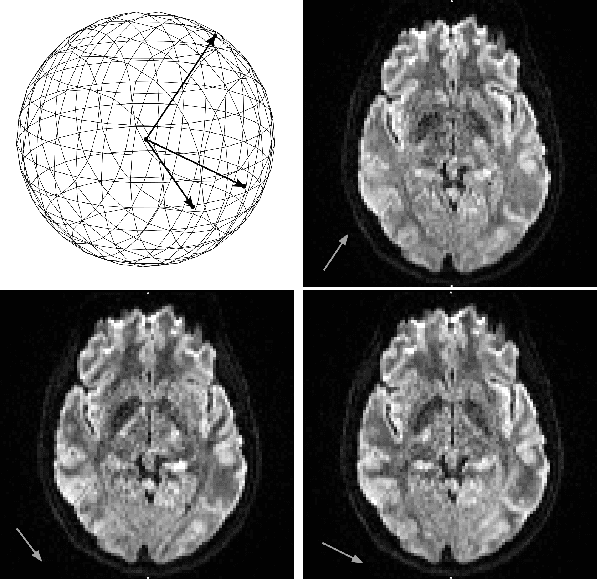
Diffusion MRI is a modern neuroimaging modality with a unique ability to acquire microstructural information by measuring water self-diffusion at the voxel level. However, it generates huge amounts of data, resulting from a large number of repeated 3D scans. Each volume samples a location in q-space, indicating the direction and strength of a diffusion sensitizing gradient during the measurement. This captures detailed information about the self-diffusion, and the tissue microstructure that restricts it. Lossless compression with GZIP is widely used to reduce the memory requirements. We introduce a novel lossless codec for diffusion MRI data. It reduces file sizes by more than 30% compared to GZIP, and also beats lossless codecs from the JPEG family. Our codec builds on recent work on lossless PDE-based compression of 3D medical images, but additionally exploits smoothness in q-space. We demonstrate that, compared to using only image space PDEs, q-space PDEs further improve compression rates. Moreover, implementing them with Finite Element Methods and a custom acceleration significantly reduces computational expense. Finally, we show that our codec clearly benefits from integrating subject motion correction, and slightly from optimizing the order in which the 3D volumes are coded.