



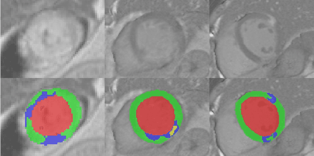
Automatic evaluation of myocardium and pathology plays an important role in the quantitative analysis of patients suffering from myocardial infarction. In this paper, we present a cascaded convolutional neural network framework for myocardial infarction segmentation and classification in delayed-enhancement cardiac MRI. Specifically, we first use a 2D U-Net to segment the whole heart, including the left ventricle and the myocardium. Then, we crop the whole heart as a region of interest (ROI). Finally, a new 2D U-Net is used to segment the infraction and no-reflow areas in the whole heart ROI. The segmentation method can be applied to the classification task where the segmentation results with the infraction or no-reflow areas are classified as pathological cases. Our method took second place in the MICCAI 2020 EMIDEC segmentation task with Dice scores of 86.28%, 62.24%, and 77.76% for myocardium, infraction, and no-reflow areas, respectively, and first place in the classification task with an accuracy of 92%.