



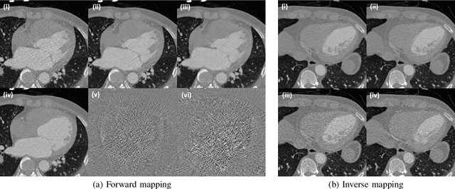
Recently, CycleGAN was shown to provide high-performance, ultra-fast denoising for low-dose X-ray computed tomography (CT) without the need for a paired training dataset. Although this was possible thanks to cycle consistency, CycleGAN requires two generators and two discriminators to enforce cycle consistency, demanding significant GPU resources and technical skills for training. A recent proposal of tunable CycleGAN with Adaptive Instance Normalization (AdaIN) alleviates the problem in part by using a single generator. However, two discriminators and an additional AdaIN code generator are still required for training. To solve this problem, here we present a novel cycle-free Cycle-GAN architecture, which consists of a single generator and a discriminator but still guarantees cycle consistency. The main innovation comes from the observation that the use of an invertible generator automatically fulfills the cycle consistency condition and eliminates the additional discriminator in the CycleGAN formulation. To make the invertible generator more effective, our network is implemented in the wavelet residual domain. Extensive experiments using various levels of low-dose CT images confirm that our method can significantly improve denoising performance using only 10% of learnable parameters and faster training time compared to the conventional CycleGAN.