



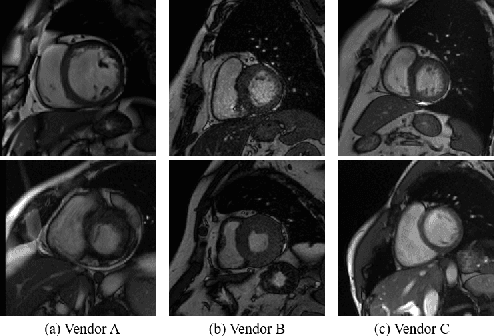
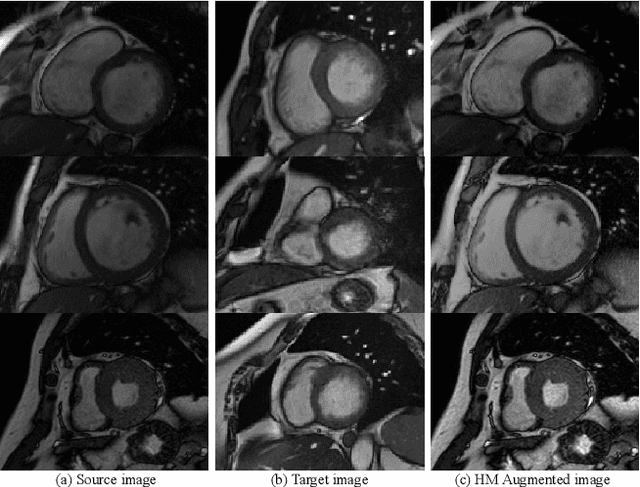
Convolutional Neural Networks (CNNs) have achieved high accuracy for cardiac structure segmentation if training cases and testing cases are from the same distribution. However, the performance would be degraded if the testing cases are from a distinct domain (e.g., new MRI scanners, clinical centers). In this paper, we propose a histogram matching (HM) data augmentation method to eliminate the domain gap. Specifically, our method generates new training cases by using HM to transfer the intensity distribution of testing cases to existing training cases. The proposed method is quite simple and can be used in a plug-and-play way in many segmentation tasks. The method is evaluated on MICCAI 2020 M\&Ms challenge, and achieves average Dice scores of 0.9051, 0.8405, and 0.8749, and Hausdorff Distances of 9.996, 12.49, and 12.68 for the left ventricular, myocardium, and right ventricular, respectively. Our results rank the third place in MICCAI 2020 M\&Ms challenge. The code and trained models are publicly available at \url{https://github.com/JunMa11/HM_DataAug}.