



Abstract:According to the World Health Organization, breast cancer is the main cause of cancer death among adult women in the world. Although breast cancer occurs indiscriminately in countries with several degrees of social and economic development, among developing and underdevelopment countries mortality rates are still high, due to low availability of early detection technologies. From the clinical point of view, mammography is still the most effective diagnostic technology, given the wide diffusion of the use and interpretation of these images. Herein this work we propose a method to detect and classify mammographic lesions using the regions of interest of images. Our proposal consists in decomposing each image using multi-resolution wavelets. Zernike moments are extracted from each wavelet component. Using this approach we can combine both texture and shape features, which can be applied both to the detection and classification of mammary lesions. We used 355 images of fatty breast tissue of IRMA database, with 233 normal instances (no lesion), 72 benign, and 83 malignant cases. Classification was performed by using SVM and ELM networks with modified kernels, in order to optimize accuracy rates, reaching 94.11%. Considering both accuracy rates and training times, we defined the ration between average percentage accuracy and average training time in a reverse order. Our proposal was 50 times higher than the ratio obtained using the best method of the state-of-the-art. As our proposed model can combine high accuracy rate with low learning time, whenever a new data is received, our work will be able to save a lot of time, hours, in learning process in relation to the best method of the state-of-the-art.




Abstract:Breast cancer is already one of the most common form of cancer worldwide. Mammography image analysis is still the most effective diagnostic method to promote the early detection of breast cancer. Accurately segmenting tumors in digital mammography images is important to improve diagnosis capabilities of health specialists and avoid misdiagnosis. In this work, we evaluate the feasibility of applying GrowCut to segment regions of tumor and we propose two GrowCut semi-supervised versions. All the analysis was performed by evaluating the application of segmentation techniques to a set of images obtained from the Mini-MIAS mammography image database. GrowCut segmentation was compared to Region Growing, Active Contours, Random Walks and Graph Cut techniques. Experiments showed that GrowCut, when compared to the other techniques, was able to acquire better results for the metrics analyzed. Moreover, the proposed semi-supervised versions of GrowCut was proved to have a clinically satisfactory quality of segmentation.
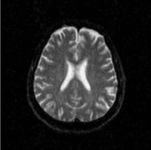
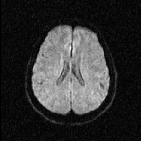
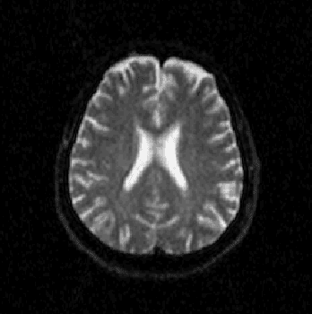
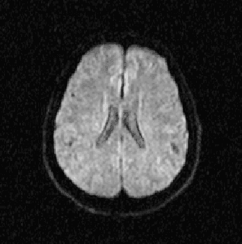
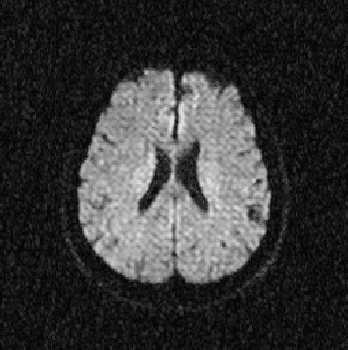
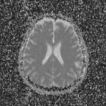
Abstract:Alzheimer's disease is the most common cause of dementia, yet difficult to accurately diagnose without the use of invasive techniques, particularly at the beginning of the disease. This work addresses the classification and analysis of multispectral synthetic images composed by diffusion-weighted magnetic resonance brain volumes for evaluation of the area of cerebrospinal fluid and its correlation with the progression of Alzheimer's disease. A 1.5 T MR imaging system was used to acquire all the images presented. The classification methods are based on multilayer perceptrons and classifiers of radial basis function networks. It is assumed that the classes of interest can be separated by hyperquadrics. A polynomial network of degree 2 is used to classify the original volumes, generating a ground-truth volume. The classification results are used to improve the usual analysis by the map of apparent diffusion coefficients.




Abstract:Multispectral image analysis is a relatively promising field of research with applications in several areas, such as medical imaging and satellite monitoring. A considerable number of current methods of analysis are based on parametric statistics. Alternatively, some methods in Computational Intelligence are inspired by biology and other sciences. Here we claim that Philosophy can be also considered as a source of inspiration. This work proposes the Objective Dialectical Method (ODM): a method for classification based on the Philosophy of Praxis. ODM is instrumental in assembling evolvable mathematical tools to analyze multispectral images. In the case study described in this paper, multispectral images are composed of diffusion-weighted (DW) magnetic resonance (MR) images. The results are compared to ground-truth images produced by polynomial networks using a morphological similarity index. The classification results are used to improve the usual analysis of the apparent diffusion coefficient map. Such results proved that gray and white matter can be distinguished in DW-MR multispectral analysis and, consequently, DW-MR images can also be used to furnish anatomical information.
Abstract:The unsupervised classification has a very important role in the analysis of multispectral images, given its ability to assist the extraction of a priori knowledge of images. Algorithms like k-means and fuzzy c-means has long been used in this task. Computational Intelligence has proven to be an important field to assist in building classifiers optimized according to the quality of the grouping of classes and the evaluation of the quality of vector quantization. Several studies have shown that Philosophy, especially the Dialectical Method, has served as an important inspiration for the construction of new computational methods. This paper presents an evaluation of four methods based on the Dialectics: the Objective Dialectical Classifier and the Dialectical Optimization Method adapted to build a version of k-means with optimal quality indices; each of them is presented in two versions: a canonical version and another version obtained by applying the Principle of Maximum Entropy. These methods were compared to k-means, fuzzy c-means and Kohonen's self-organizing maps. The results showed that the methods based on Dialectics are robust to noise, and quantization can achieve results as good as those obtained with the Kohonen map, considered an optimal quantizer.
Abstract:The importance of organizing medical images according to their nature, application and relevance is increasing. Furhermore, a previous selection of medical images can be useful to accelerate the task of analysis by pathologists. Herein this work we propose an image classifier to integrate a CBIR (Content-Based Image Retrieval) selection system. This classifier is based on pattern spectra and neural networks. Feature selection is performed using pattern spectra and principal component analysis, whilst image classification is based on multilayer perceptrons and a composition of self-organizing maps and learning vector quantization. These methods were applied for content selection of immunohistochemical images of placenta and newdeads lungs. Results demonstrated that this approach can reach reasonable classification performance.




Abstract:The materialist dialectical method is a philosophical investigative method to analyze aspects of reality. These aspects are viewed as complex processes composed by basic units named poles, which interact with each other. Dialectics has experienced considerable progress in the 19th century, with Hegel's dialectics and, in the 20th century, with the works of Marx, Engels, and Gramsci, in Philosophy and Economics. The movement of poles through their contradictions is viewed as a dynamic process with intertwined phases of evolution and revolutionary crisis. In order to build a computational process based on dialectics, the interaction between poles can be modeled using fuzzy membership functions. Based on this assumption, we introduce the Objective Dialectical Classifier (ODC), a non-supervised map for classification based on materialist dialectics and designed as an extension of fuzzy c-means classifier. As a case study, we used ODC to classify 181 magnetic resonance synthetic multispectral images composed by proton density, $T_1$- and $T_2$-weighted synthetic brain images. Comparing ODC to k-means, fuzzy c-means, and Kohonen's self-organized maps, concerning with image fidelity indexes as estimatives of quantization distortion, we proved that ODC can reach almost the same quantization performance as optimal non-supervised classifiers like Kohonen's self-organized maps.




Abstract:According to the World Health Organization, breast cancer is the most common form of cancer in women. It is the second leading cause of death among women round the world, becoming the most fatal form of cancer. Mammographic image segmentation is a fundamental task to support image analysis and diagnosis, taking into account shape analysis of mammary lesions and their borders. However, mammogram segmentation is a very hard process, once it is highly dependent on the types of mammary tissues. In this work we present a new semi-supervised segmentation algorithm based on the modification of the GrowCut algorithm to perform automatic mammographic image segmentation once a region of interest is selected by a specialist. In our proposal, we used fuzzy Gaussian membership functions to modify the evolution rule of the original GrowCut algorithm, in order to estimate the uncertainty of a pixel being object or background. The main impact of the proposed method is the significant reduction of expert effort in the initialization of seed points of GrowCut to perform accurate segmentation, once it removes the need of selection of background seeds. We also constructed an automatic point selection process based on the simulated annealing optimization method, avoiding the need of human intervention. The proposed approach was qualitatively compared with other state-of-the-art segmentation techniques, considering the shape of segmented regions. In order to validate our proposal, we built an image classifier using a classical multilayer perceptron. We used Zernike moments to extract segmented image features. This analysis employed 685 mammograms from IRMA breast cancer database, using fat and fibroid tissues. Results show that the proposed technique could achieve a classification rate of 91.28\% for fat tissues, evidencing the feasibility of our approach.




Abstract:Electrical Impedance Tomography (EIT) is a noninvasive imaging technique that does not use ionizing radiation, with application both in environmental sciences and in health. Image reconstruction is performed by solving an inverse problem and ill-posed. Evolutionary Computation and Swarm Intelligence have become a source of methods for solving inverse problems. Fish School Search (FSS) is a promising search and optimization method, based on the dynamics of schools of fish. In this article the authors present a method for reconstruction of EIT images based on FSS and Non-Blind Search (NBS). The method was evaluated using numerical phantoms consisting of electrical conductivity images with subjects in the center, between the center and the edge and on the edge of a circular section, with meshes of 415 finite elements. The authors performed 20 simulations for each configuration. Results showed that both FSS and FSS-NBS were able to converge faster than genetic algorithms.




Abstract:Alzheimer's disease is the most common cause of dementia, yet hard to diagnose precisely without invasive techniques, particularly at the onset of the disease. This work approaches image analysis and classification of synthetic multispectral images composed by diffusion-weighted magnetic resonance (MR) cerebral images for the evaluation of cerebrospinal fluid area and measuring the advance of Alzheimer's disease. A clinical 1.5 T MR imaging system was used to acquire all images presented. The classification methods are based on multilayer perceptrons and Kohonen Self-Organized Map classifiers. We assume the classes of interest can be separated by hyperquadrics. Therefore, a 2-degree polynomial network is used to classify the original image, generating the ground truth image. The classification results are used to improve the usual analysis of the apparent diffusion coefficient map.