



Abstract:Catastrophic forgetting has remained a critical challenge for deep neural networks in Continual Learning (CL) as it undermines consolidated knowledge when learning new tasks. Parameter efficient fine tuning CL techniques are gaining traction for their effectiveness in addressing catastrophic forgetting with a lightweight training schedule while avoiding degradation of consolidated knowledge in pre-trained models. However, low rank adapters (LoRA) in these approaches are highly sensitive to rank selection which can lead to sub-optimal resource allocation and performance. To this end, we introduce PEARL, a rehearsal-free CL framework that entails dynamic rank allocation for LoRA components during CL training. Specifically, PEARL leverages reference task weights and adaptively determines the rank of task-specific LoRA components based on the current tasks' proximity to reference task weights in parameter space. To demonstrate the versatility of PEARL, we evaluate it across three vision architectures (ResNet, Separable Convolutional Network and Vision Transformer) and a multitude of CL scenarios, and show that PEARL outperforms all considered baselines by a large margin.




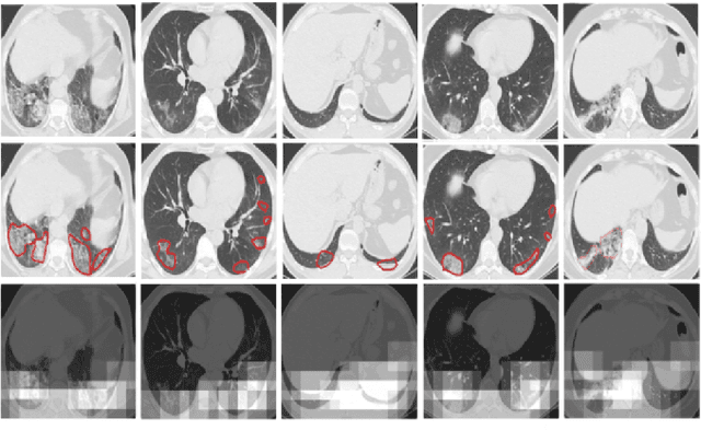
Abstract:The novel corona-virus disease (COVID-19) pandemic has caused a major outbreak in more than 200 countries around the world, leading to a severe impact on the health and life of many people globally. As of Aug 25th of 2020, more than 20 million people are infected, and more than 800,000 death are reported. Computed Tomography (CT) images can be used as a as an alternative to the time-consuming "reverse transcription polymerase chain reaction (RT-PCR)" test, to detect COVID-19. In this work we developed a deep learning framework to predict COVID-19 from CT images. We propose to use an attentional convolution network, which can focus on the infected areas of chest, enabling it to perform a more accurate prediction. We trained our model on a dataset of more than 2000 CT images, and report its performance in terms of various popular metrics, such as sensitivity, specificity, area under the curve, and also precision-recall curve, and achieve very promising results. We also provide a visualization of the attention maps of the model for several test images, and show that our model is attending to the infected regions as intended. In addition to developing a machine learning modeling framework, we also provide the manual annotation of the potentionally infected regions of chest, with the help of a board-certified radiologist, and make that publicly available for other researchers.




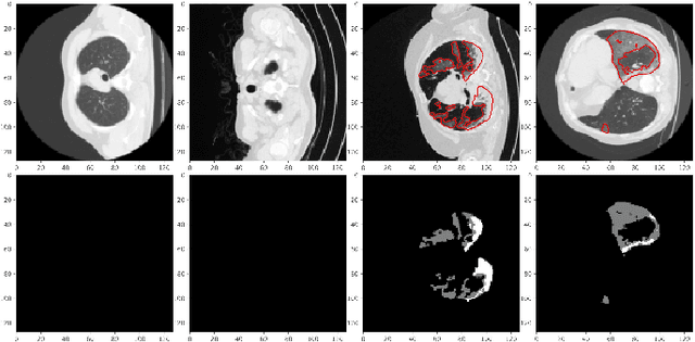
Abstract:The novel corona-virus disease (COVID-19) pandemic has caused a major outbreak in more than 200 countries around the world, leading to a severe impact on the health and life of many people globally. As of mid-July 2020, more than 12 million people were infected, and more than 570,000 death were reported. Computed Tomography (CT) images can be used as an alternative to the time-consuming RT-PCR test, to detect COVID-19. In this work we propose a segmentation framework to detect chest regions in CT images, which are infected by COVID-19. We use an architecture similar to U-Net model, and train it to detect ground glass regions, on pixel level. As the infected regions tend to form a connected component (rather than randomly distributed pixels), we add a suitable regularization term to the loss function, to promote connectivity of the segmentation map for COVID-19 pixels. 2D-anisotropic total-variation is used for this purpose, and therefore the proposed model is called "TV-UNet". Through experimental results on a relatively large-scale CT segmentation dataset of around 900 images, we show that adding this new regularization term leads to 2\% gain on overall segmentation performance compared to the U-Net model. Our experimental analysis, ranging from visual evaluation of the predicted segmentation results to quantitative assessment of segmentation performance (precision, recall, Dice score, and mIoU) demonstrated great ability to identify COVID-19 associated regions of the lungs, achieving a mIoU rate of over 99\%, and a Dice score of around 86\%.




Abstract:The COVID-19 pandemic is causing a major outbreak in more than 150 countries around the world, having a severe impact on the health and life of many people globally. One of the crucial step in fighting COVID-19 is the ability to detect the infected patients early enough, and put them under special care. Detecting this disease from radiography and radiology images is perhaps one of the fastest way to diagnose the patients. Some of the early studies showed specific abnormalities in the chest radiograms of patients infected with COVID-19. Inspired by earlier works, we study the application of deep learning models to detect COVID-19 patients from their chest radiography images. We first prepare a dataset of 5,000 Chest X-rays from the publicly available datasets. Images exhibiting COVID-19 disease presence were identified by board-certified radiologist. Transfer learning on a subset of 2,000 radiograms was used to train four popular convolutional neural networks, including ResNet18, ResNet50, SqueezeNet, and DenseNet-121, to identify COVID-19 disease in the analyzed chest X-ray images. We evaluated these models on the remaining 3,000 images, and most of these networks achieved a sensitivity rate of 97\%($\pm$ 5\%), while having a specificity rate of around 90\%. While the achieved performance is very encouraging, further analysis is required on a larger set of COVID-19 images, to have a more reliable estimation of accuracy rates. Besides sensitivity and specificity rates, we also present the receiver operating characteristic (ROC), area under the curve (AUC), and confusion matrix of each model. The dataset, model implementations (in PyTorch), and evaluations, are all made publicly available for research community, here: https://github.com/shervinmin/DeepCovid.git