



Abstract:This study presents a comparative analysis of methods for detecting COVID-19 infection in radiographic images. The images, sourced from publicly available datasets, were categorized into three classes: 'normal,' 'pneumonia,' and 'COVID.' For the experiments, transfer learning was employed using eight pre-trained networks: SqueezeNet, DenseNet, ResNet, AlexNet, VGG, GoogleNet, ShuffleNet, and MobileNet. DenseNet achieved the highest accuracy of 97.64% using the ADAM optimization function in the multiclass approach. In the binary classification approach, the highest precision was 99.98%, obtained by the VGG, ResNet, and MobileNet networks. A comparative evaluation was also conducted using heat maps.




Abstract:Objective: To propose a novel deep neural network (DNN) architecture -- the filter bank convolutional neural network (FBCNN) -- to improve SSVEP classification in single-channel BCIs with small data lengths. Methods: We propose two models: the FBCNN-2D and the FBCNN-3D. The FBCNN-2D utilizes a filter bank to create sub-band components of the electroencephalography (EEG) signal, which it transforms using the fast Fourier transform (FFT) and analyzes with a 2D CNN. The FBCNN-3D utilizes the same filter bank, but it transforms the sub-band components into spectrograms via short-time Fourier transform (STFT), and analyzes them with a 3D CNN. We made use of transfer learning. To train the FBCNN-3D, we proposed a new technique, called inter-dimensional transfer learning, to transfer knowledge from a 2D DNN to a 3D DNN. Our BCI was conceived so as not to require calibration from the final user: therefore, the test subject data was separated from training and validation. Results: The mean test accuracy was 85.7% for the FBCCA-2D and 85% for the FBCCA-3D. Mean F1-Scores were 0.858 and 0.853. Alternative classification methods, SVM, FBCCA and a CNN, had mean accuracy of 79.2%, 80.1% and 81.4%, respectively. Conclusion: The FBCNNs surpassed traditional SSVEP classification methods in our simulated BCI, by a considerable margin (about 5% higher accuracy). Transfer learning and inter-dimensional transfer learning made training much faster and more predictable. Significance: We proposed a new and flexible type of DNN, which had a better performance than standard methods in SSVEP classification for portable and fast BCIs.




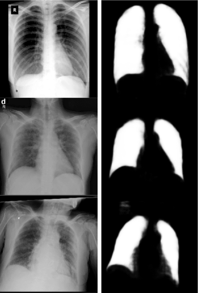
Abstract:We evaluated the generalization capability of deep neural networks (DNNs), trained to classify chest X-rays as COVID-19, normal or pneumonia, using a relatively small and mixed dataset. We proposed a DNN architecture to perform lung segmentation and classification. It stacks a segmentation module (U-Net), an original intermediate module and a classification module (DenseNet201). We compared it to a DenseNet201. To evaluate generalization, we tested the DNNs with an external dataset (from distinct localities) and used Bayesian inference to estimate the probability distributions of performance metrics, like F1-Score. Our proposed DNN achieved 0.917 AUC on the external test dataset, and the DenseNet, 0.906. Bayesian inference indicated mean accuracy of 76.1% and [0.695, 0.826] 95% HDI with segmentation and, without segmentation, 71.7% and [0.646, 0.786]. We proposed a novel DNN evaluation technique, using Layer-wise Relevance Propagation (LRP) and the Brixia score. LRP heatmaps indicated that areas where radiologists found strong COVID-19 symptoms and attributed high Brixia scores are the most important for the stacked DNN classification. External validation showed smaller accuracies than internal validation, indicating dataset bias, which segmentation reduces. Performance in the external dataset and LRP analysis suggest that DNNs can be trained in small and mixed datasets and detect COVID-19.




Abstract:In this work, we used a deep convolutional neural network (DCNN) to classify electroencephalography (EEG) signals in a steady-state visually evoked potentials (SSVEP) based brain-computer interface (BCI). The raw EEG signals were converted to spectrograms and served as input to train a DCNN using the transfer learning technique. We applied a second technique, data augmentation, mostly SpecAugment, generally employed to speech recognition. The results, when excluding the evaluated user's data from the fine-tuning process, reached 99.3% mean test accuracy and 0.992 mean F1 score on 35 subjects from an open dataset.




Abstract:Machine learning applied to computer vision and signal processing is achieving results comparable to the human brain on specific tasks due to the great improvements brought by the deep neural networks (DNN). The majority of state-of-the-art architectures nowadays are DNN related, but only a few explore the frequency domain to extract useful information and improve the results, like in the image processing field. In this context, this paper presents a new approach for exploring the Fourier transform of the input images, which is composed of trainable frequency filters that boost discriminative components in the spectrum. Additionally, we propose a slicing procedure to allow the network to learn both global and local features from the frequency-domain representations of the image blocks. The proposed method proved to be competitive with respect to well-known DNN architectures in the selected experiments, with the advantage of being a simpler and lightweight model. This work also raises the discussion on how the state-of-the-art DNNs architectures can exploit not only spatial features, but also the frequency, in order to improve its performance when solving real world problems.




Abstract:In dimension reduction problems, the adopted technique may produce disparities between the representation errors of two or more different groups. For instance, in the projected space, a specific class can be better represented in comparison with the other ones. Depending on the situation, this unfair result may introduce ethical concerns. In this context, this paper investigates how a fairness measure can be considered when performing dimension reduction through principal component analysis. Since both reconstruction error and fairness measure must be taken into account, we propose a multi-objective-based approach to tackle the Fair Principal Component Analysis problem. The experiments attest that a fairer result can be achieved with a very small loss in the reconstruction error.




Abstract:We present an image classifier based on the CheXNet and a transfer learning stage to classify chest X-Ray images according to three labels: COVID-19, viral pneumonia and normal. CheXNet is a DenseNet121 that has been trained twice, firstly on ImageNet and then, for classification of pneumonia and other 13 chest diseases, over a large chest X-Ray database (ChestX- ray14). The proposed network reached a test accuracy of 97.8% and, for the COVID-19 class, of 98.3%. In order to clarify the modus operandi of the network, we used Layer Wise Relevance Propagation (LRP) to generate heat maps, indicating an analytical path for future research on diagnosis.