



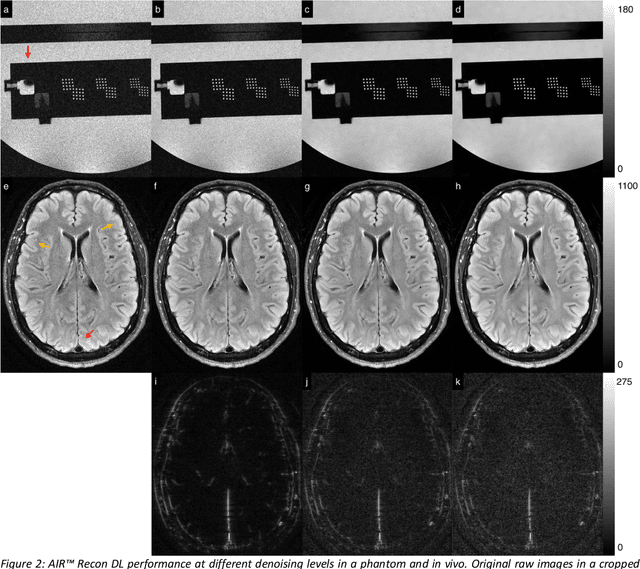
Abstract:A novel deep learning-based magnetic resonance imaging reconstruction pipeline was designed to address fundamental image quality limitations of conventional reconstruction to provide high-resolution, low-noise MR images. This pipeline's unique aims were to convert truncation artifact into improved image sharpness while jointly denoising images to improve image quality. This new approach, now commercially available at AIR Recon DL (GE Healthcare, Waukesha, WI), includes a deep convolutional neural network (CNN) to aid in the reconstruction of raw data, ultimately producing clean, sharp images. Here we describe key features of this pipeline and its CNN, characterize its performance in digital reference objects, phantoms, and in-vivo, and present sample images and protocol optimization strategies that leverage image quality improvement for reduced scan time. This new deep learning-based reconstruction pipeline represents a powerful new tool to increase the diagnostic and operational performance of an MRI scanner.




Abstract:The U-net is a deep-learning network model that has been used to solve a number of inverse problems. In this work, the concatenation of two-element U-nets, termed the W-net, operating in k-space (K) and image (I) domains, were evaluated for multi-channel magnetic resonance (MR) image reconstruction. The two element network combinations were evaluated for the four possible image-k-space domain configurations: a) W-net II, b) W-net KK, c) W-net IK, and d) W-net KI were evaluated. Selected promising four element networks (WW-nets) were also examined. Two configurations of each network were compared: 1) Each coil channel processed independently, and 2) all channels processed simultaneously. One hundred and eleven volumetric, T1-weighted, 12-channel coil k-space datasets were used in the experiments. Normalized root mean squared error, peak signal to noise ratio, visual information fidelity and visual inspection were used to assess the reconstructed images against the fully sampled reference images. Our results indicated that networks that operate solely in the image domain are better suited when processing individual channels of multi-channel data independently. Dual domain methods are more advantageous when simultaneously reconstructing all channels of multi-channel data. Also, the appropriate cascade of U-nets compared favorably (p < 0.01) to the previously published, state-of-the-art Deep Cascade model in in three out of four experiments.