Abstract:The development of fair and ethical AI systems requires careful consideration of bias mitigation, an area often overlooked or ignored. In this study, we introduce a novel and efficient approach for addressing biases called Targeted Data Augmentation (TDA), which leverages classical data augmentation techniques to tackle the pressing issue of bias in data and models. Unlike the laborious task of removing biases, our method proposes to insert biases instead, resulting in improved performance. To identify biases, we annotated two diverse datasets: a dataset of clinical skin lesions and a dataset of male and female faces. These bias annotations are published for the first time in this study, providing a valuable resource for future research. Through Counterfactual Bias Insertion, we discovered that biases associated with the frame, ruler, and glasses had a significant impact on models. By randomly introducing biases during training, we mitigated these biases and achieved a substantial decrease in bias measures, ranging from two-fold to more than 50-fold, while maintaining a negligible increase in the error rate.




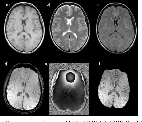
Abstract:Cerebral microbleeds detection is an important and challenging task. With the gaining popularity of the MRI, the ability to detect cerebral microbleeds also raises. Unfortunately, for radiologists, it is a time-consuming and laborious procedure. For this reason, various solutions to automate this process have been proposed for several years, but none of them is currently used in medical practice. In this context, the need to systematize the existing knowledge and best practices has been recognized as a factor facilitating the imminent synthesis of a real CMBs detection system practically applicable in medicine. To the best of our knowledge, all available publications regarding automatic cerebral microbleeds detection have been gathered, described, and assessed in this paper in order to distinguish the current research state and provide a starting point for future studies.




Abstract:Waste pollution is one of the most significant environmental issues in the modern world. The importance of recycling is well known, either for economic or ecological reasons, and the industry demands high efficiency. Our team conducted comprehensive research on Artificial Intelligence usage in waste detection and classification to fight the world's waste pollution problem. As a result an open-source framework that enables the detection and classification of litter was developed. The final pipeline consists of two neural networks: one that detects litter and a second responsible for litter classification. Waste is classified into seven categories: bio, glass, metal and plastic, non-recyclable, other, paper and unknown. Our approach achieves up to 70% of average precision in waste detection and around 75% of classification accuracy on the test dataset. The code used in the studies is publicly available online.