Abstract:This document provides responses to the FDA's request for public comments (Docket No FDA 2023 N 4853) on the role of digital health technologies (DHTs) in detecting prediabetes and undiagnosed type 2 diabetes. It explores current DHT applications in prevention, detection, treatment and reversal of prediabetes, highlighting AI chatbots, online forums, wearables and mobile apps. The methods employed by DHTs to capture health signals like glucose, diet, symptoms and community insights are outlined. Key subpopulations that could benefit most from remote screening tools include rural residents, minority groups, high-risk individuals and those with limited healthcare access. Capturable high-impact risk factors encompass glycemic variability, cardiovascular parameters, respiratory health, blood biomarkers and patient reported symptoms. An array of non-invasive monitoring tools are discussed, although further research into their accuracy for diverse groups is warranted. Extensive health datasets providing immense opportunities for AI and ML based risk modeling are presented. Promising techniques leveraging EHRs, imaging, wearables and surveys to enhance screening through AI and ML algorithms are showcased. Analysis of social media and streaming data further allows disease prediction across populations. Ongoing innovation focused on inclusivity and accessibility is highlighted as pivotal in unlocking DHTs potential for transforming prediabetes and diabetes prevention and care.
Abstract:In the realm of medical imaging, the training of machine learning models necessitates a large and varied training dataset to ensure robustness and interoperability. However, acquiring such diverse and heterogeneous data can be difficult due to the need for expert labeling of each image and privacy concerns associated with medical data. To circumvent these challenges, data augmentation has emerged as a promising and cost-effective technique for increasing the size and diversity of the training dataset. In this study, we provide a comprehensive review of the specific data augmentation techniques employed in medical imaging and explore their benefits. We conducted an in-depth study of all data augmentation techniques used in medical imaging, identifying 11 different purposes and collecting 65 distinct techniques. The techniques were operationalized into spatial transformation-based, color and contrast adjustment-based, noise-based, deformation-based, data mixing-based, filters and mask-based, division-based, multi-scale and multi-view-based, and meta-learning-based categories. We observed that some techniques require manual specification of all parameters, while others rely on automation to adjust the type and magnitude of augmentation based on task requirements. The utilization of these techniques enables the development of more robust models that can be applied in domains with limited or challenging data availability. It is expected that the list of available techniques will expand in the future, providing researchers with additional options to consider.
Abstract:A digital health twin can be defined as a virtual model of a physical person, in this specific case, a patient. This virtual model is constituted by multidimensional data that can host from clinical, molecular and therapeutic parameters to sensor data and living conditions. Given that in computational pathology, it is very important to have the information from image donors to create computational models, the integration of digital twins in this field could be crucial. However, since these virtual entities collect sensitive data from physical people, privacy safeguards must also be considered and implemented. With these data safeguards in place, health digital twins could integrate digital clinical trials and be necessary participants in the generation of real-world evidence, which could positively change both fields.




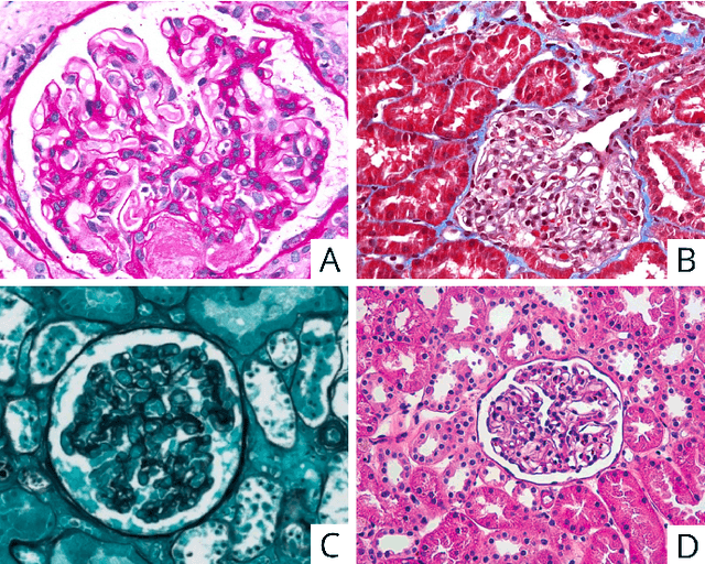
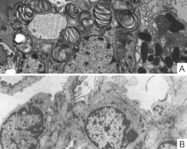
Abstract:Computational pathology is a field that has complemented various subspecialties of diagnostic pathology over the last few years. In this article a brief analyzis the different applications in nephrology is developed. To begin, an overview of the different forms of image production is provided. To continue, the most frequent applications of computer vision models, the salient features of the different clinical applications, and the data protection considerations encountered are described. To finish the development, I delve into the interpretability of these applications, expanding in depth on the three dimensions of this area.




Abstract:With the rapid development of COVID-19 into a global pandemic, there is an ever more urgent need for cheap, fast and reliable tools that can assist physicians in diagnosing COVID-19. Medical imaging such as CT can take a key role in complementing conventional diagnostic tools from molecular biology, and, using deep learning techniques, several automatic systems were demonstrated promising performances using CT or X-ray data. Here, we advocate a more prominent role of point-of-care ultrasound imaging to guide COVID-19 detection. Ultrasound is non-invasive and ubiquitous in medical facilities around the globe. Our contribution is threefold. First, we gather a lung ultrasound (POCUS) dataset consisting of (currently) 1103 images (654 COVID-19, 277 bacterial pneumonia and 172 healthy controls), sampled from 64 videos. While this dataset was assembled from various online sources and is by no means exhaustive, it was processed specifically to feed deep learning models and is intended to serve as a starting point for an open-access initiative. Second, we train a deep convolutional neural network (POCOVID-Net) on this 3-class dataset and achieve an accuracy of 89% and, by a majority vote, a video accuracy of 92% . For detecting COVID-19 in particular, the model performs with a sensitivity of 0.96, a specificity of 0.79 and F1-score of 0.92 in a 5-fold cross validation. Third, we provide an open-access web service (POCOVIDScreen) that is available at: https://pocovidscreen.org. The website deploys the predictive model, allowing to perform predictions on ultrasound lung images. In addition, it grants medical staff the option to (bulk) upload their own screenings in order to contribute to the growing public database of pathological lung ultrasound images. Dataset and code are available from: https://github.com/jannisborn/covid19_pocus_ultrasound