GE Healthcare, LIGM



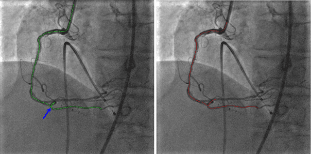
Abstract:In this article, we present the work towards improving the overall workflow of the Percutaneous Coronary Interventions (PCI) procedures by capacitating the imaging instruments to precisely monitor the steps of the procedure. In the long term, such capabilities can be used to optimize the image acquisition to reduce the amount of dose or contrast media employed during the procedure. We present the automatic VOIDD algorithm to detect the vessel of intervention which is going to be treated during the procedure by combining information from the vessel image with contrast agent injection and images acquired during guidewire tip navigation. Due to the robust guidewire tip segmentation method, this algorithm is also able to automatically detect the sequence corresponding to guidewire navigation. We present an evaluation methodology which characterizes the correctness of the guide wire tip detection and correct identification of the vessel navigated during the procedure. On a dataset of 2213 images from 8 sequences of 4 patients, VOIDD identifies vessel-of-intervention with accuracy in the range of 88% or above and absence of tip with accuracy in range of 98% or above depending on the test case.