



Abstract:This article aims at developing a model based optimization for reduction of temporal unwrapping and field estimation errors in multi-echo acquisition of Gradient Echo sequence. Using the assumption that the phase is linear along the temporal dimension, the field estimation is performed by application of unity rank approximation to the Hankel matrix formed using the complex exponential of the channel combined phase at each echo time. For the purpose of maintaining consistency with the observed complex data, the linear phase evolution model is formulated as an optimization problem with a cost function that involves a fidelity term and a unity rank prior, implemented using alternating minimization. Itoh s algorithm applied to the multi-echo phase estimated from this linear phase evolution model is able to reduce the unwrapping errors as compared to the unwrapping when directly applied to the measured phase. Secondly, the improved accuracy of the frequency fit in comparison to estimation using weighted least-square regression and penalized maximum likelihood is demonstrated using numerical simulation of field perturbation due to magnetic susceptibility effect. It is shown that the field can be estimated with 80 percent reduction in mean absolute error in comparison to wLSR and 66 percent reduction with respect to penalized maximum likelihood. The improvement in performance becomes more pronounced with increasing strengths of field gradient magnitudes and echo spacing.




Abstract:Compressed sensing (CS) methods in magnetic resonance imaging (MRI) offer rapid acquisition and improved image quality but require iterative reconstruction schemes with regularization to enforce sparsity. Regardless of the difficulty in obtaining a fast numerical solution, the total variation (TV) regularization is a preferred choice due to its edge-preserving and structure recovery capabilities. While many approaches have been proposed to overcome the non-differentiability of the TV cost term, an iterative shrinkage based formulation allows recovering an image through recursive application of linear filtering and soft thresholding. However, providing an optimal setting for the regularization parameter is critical due to its direct impact on the rate of convergence as well as steady state error. In this paper, a regularizer adaptively varying in the derivative space is proposed, that follows the generalized discrepancy principle (GDP). The implementation proceeds by adaptively reducing the discrepancy level expressed as the absolute difference between TV norms of the consistency error and the sparse approximation error. A criterion based on the absolute difference between TV norms of consistency and sparse approximation errors is used to update the threshold. Application of the adaptive shrinkage TV regularizer to CS recovery of parallel MRI (pMRI) and temporal gradient adaptation in dynamic MRI are shown to result in improved image quality with accelerated convergence. In addition, the adaptive TV-based iterative shrinkage (ATVIS) provides a significant speed advantage over the fast iterative shrinkage-thresholding algorithm (FISTA).




Abstract:A statistical approach for combination of channel phases is developed for optimizing the Contrast-to-Noise Ratio (CNR) in Susceptibility Weighted Images (SWI) acquired using autocalibrating partially parallel techniques. The unwrapped phase images of each coil are filtered using local random field based probabilistic weights, derived using energy functions representative of noisy sensitivity and tissue information pertaining to venous structure in the individual channel phase images. The channel energy functions are obtained as functions of local image intensities, first or second order clique phase difference and a threshold scaling parameter dependent on the input noise level. Whereas the expectation of the individual energy functions with respect to the noise distribution in clique phase differences is to be maximized for optimal filtering, the expectation of tissue energy function decreases and noise energy function increases with increase in threshold scale parameter. The optimum scaling parameter is shown to occur at the point where expectations of both energy functions contribute to the largest possible extent. It is shown that implementation of the filter in the same lines as that of Iterated Conditional Modes (ICM) algorithm provides structural enhancement in the coil combined phase, with reduced noise amplification. Application to simulated and in vivo multi-channel SWI shows that CNR of combined phase obtained using MAP-MRF filter is higher as compared to that of coil combination using weighted average.




Abstract:The aim of this paper is to introduce procedural steps for extension of the 1D homodyne phase correction for k-space truncation in all gradient encoding directions. Compared to the existing method applied to 2D partial k-space, signal losses introduced by the phase correction filter is observed to be minimal for the extended approach. In addition, the modified form of phase correction mitigates Incidental Phase Artifacts (IPA) due to truncation. For parallel imaging with undersampling along phase encode direction, the extended homodyne filtering is shown to be effective for minimizing these artifacts when each of the channel k-spaces are truncated along both phase and frequency encode directions. This is illustrated with 2D partial k-space for flow compensated multichannel Susceptibility Weighted Imaging (SWI). Extension of our method to 3D partial k-space shows improved reconstruction of flow information in phase contrast angiography.




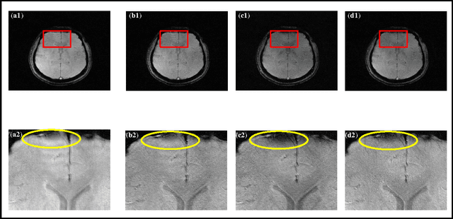
Abstract:We present an edge preserving and denoising filter for enhancing the features in images, which contain an ROI having a narrow spatial extent. Typical examples include angiograms, or ROI spatially distributed in multiple locations and contained within an outlying region, such as in multiple-sclerosis. The filtering involves determination of multiplicative weights in the spatial domain using an extended set of neighborhood directions. Equivalently, the filtering operation may be interpreted as a combination of directional filters in the frequency domain, with selective weighting for spatial frequencies contained within each direction. The advantages of the proposed filter in comparison to specialized non-linear filters, which operate on diffusion principle, are illustrated using numerical phantom data. The performance evaluation is carried out on simulated images from BrainWeb database for multiple-sclerosis, acute ischemic stroke using clinically acquired FLAIR images and MR angiograms.




Abstract:Signal space models in both phase-encode, and frequency-encode directions are presented for extrapolation of 2D partial kspace. Using the boxcar representation of low-resolution spatial data, and a geometrical representation of signal space vectors in both positive and negative phase-encode directions, a robust predictor is constructed using a series of signal space projections. Compared to some of the existing phase-correction methods that require acquisition of a pre-determined set of fractional kspace lines, the proposed predictor is found to be more efficient, due to its capability of exhibiting an equivalent degree of performance using only half the number of fractional lines. Robust filtering of noisy data is achieved using a second signal space model in the frequency-encode direction, bypassing the requirement of a prior highpass filtering operation. The signal space is constructed from Fourier Transformed samples of each row in the low-resolution image. A set of FIR filters are estimated by fitting a least squares model to this signal space. Partial kspace extrapolation using the FIR filters is shown to result in artifact-free reconstruction, particularly in respect of Gibbs ringing and streaking type artifacts.