



Abstract:We propose a novel approach to denoising diffusion magnetic resonance images (dMRI) using convolutional neural networks, that exploits the benefits of data acquired at multiple b-values to offset the need for many redundant observations. Denoising is especially relevant in dMRI since noise can have a deleterious impact on both quantification accuracy and image preprocessing. The most successful methods proposed to date, like Marchenko-Pastur Principal Component Analysis (MPPCA) denoising, are tailored to diffusion-weighting repeated for many encoding directions. They exploit high redundancy of the dataset that oversamples the diffusion-encoding direction space, since many directions have collinear components. However, there are many dMRI techniques that do not entail a large number of encoding directions or repetitions, and are therefore less suited to this approach. For example, clinical dMRI exams may include as few as three encoding directions, with low or negligible data redundancy across directions. Moreover, promising new dMRI approaches, like spherical b-tensor encoding (STE), benefit from high b-values while sensitizing the signal to diffusion along all directions in just a single shot. We introduce a convolutional neural network approach that we call multi-b-value-based denoising (MBD). MBD exploits the similarity in diffusion-weighted images (DWI) across different b-values but along the same diffusion encoding direction. It allows denoising of diffusion images with high noise variance while avoiding blurring, and using just a small number input images.




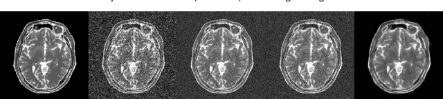
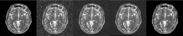
Abstract:In this paper, we propose a method for denoising diffusion-weighted images (DWI) of the brain using a convolutional neural network trained on realistic, synthetic MR data. We compare our results to averaging of repeated scans, a widespread method used in clinics to improve signal-to-noise ratio of MR images. To obtain training data for transfer learning, we model, in a data-driven fashion, the effects of echo-planar imaging (EPI): Nyquist ghosting and ramp sampling. We introduce these effects to the digital phantom of brain anatomy (BrainWeb). Instead of simulating pseudo-random noise with a defined probability distribution, we perform noise scans with a brain-DWI-designed protocol to obtain realistic noise maps. We combine them with the simulated, noise-free EPI images. We also measure the Point Spread Function in a DW image of an AJR-approved geometrical phantom and inter-scan movement in a brain scan of a healthy volunteer. Their influence on image denoising and averaging of repeated images is investigated at different signal-to-noise ratio levels. Denoising performance is evaluated quantitatively using the simulated EPI images and qualitatively in real EPI DWI of the brain. We show that the application of our method allows for a significant reduction in scan time by lowering the number of repeated scans. Visual comparisons made in the acquired brain images indicate that the denoised single-repetition images are less noisy than multi-repetition averaged images. We also analyse the convolutional neural network denoiser and point out the challenges accompanying this denoising method.