



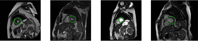
Abstract:Segmentation of the left ventricle in cardiac magnetic resonance imaging MRI scans enables cardiologists to calculate the volume of the left ventricle and subsequently its ejection fraction. The ejection fraction is a measurement that expresses the percentage of blood leaving the heart with each contraction. Cardiologists often use ejection fraction to determine one's cardiac function. We propose multiscale template matching technique for detection and an elliptical active disc for automated segmentation of the left ventricle in MR images. The elliptical active disc optimizes the local energy function with respect to its five free parameters which define the disc. Gradient descent is used to minimize the energy function along with Green's theorem to optimize the computation expenses. We report validations on 320 scans containing 5,273 annotated slices which are publicly available through the Multi-Centre, Multi-Vendor, and Multi-Disease Cardiac Segmentation (M&Ms) Challenge. We achieved successful localization of the left ventricle in 89.63% of the cases and a Dice coefficient of 0.873 on diastole slices and 0.770 on systole slices. The proposed technique is based on traditional image processing techniques with a performance on par with the deep learning techniques.